Foram encontradas 590 questões.
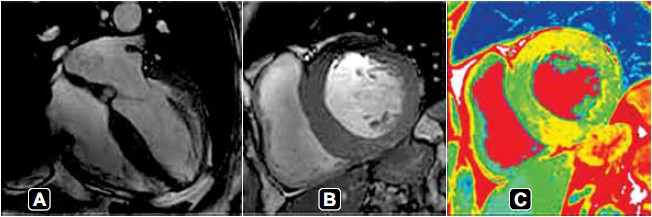
Paciente idoso, sexo masculino, 71 anos, portador de hipertensão arterial sistêmica e sem relato de outras comorbidades, com queixa de macroglossia, episódios de diarreia alternada com constipação, em uso de tipoia (tratamento conservador) após rotura espontânea do tendão do bíceps, procura o ambulatório com queixa de parestesia de membros inferiores.
Durante investigação etiológica, realizou uma ressonância cardíaca, apresentada a seguir.

A principal hipótese diagnóstica é:
Provas
A meta terapêutica de controle de pressão arterial (PA) de consultório no paciente idoso hígido é:
Provas
Os estudos clínicos atuais demonstram benefícios dos hipoglicemiantes orais para redução de mortalidade cardiovascular e hospitalização por insuficiência cardíaca. Qual droga está associada a esse desfecho clínico?
Provas
Os casos de infarto agudo do miocárdio sem a presença de doença arterial coronariana obstrutiva são classificados como MINOCA (do inglês, myocardial infarction with nonobstructive coronary arteries). A maior parte dos casos se apresenta clinicamente como:
Provas
Paciente, 67 anos, sexo feminino, com história de dispneia aos moderados esforços, edema de membros inferiores e palpitações de início há 6 meses. Ao exame físico cardiológico: ritmo cardíaco regular, sopro diastólico aspirativo decrescente com B2 hipofonética, Sopro mesossistólico de hiperfluxo ruflar.
Realizou os exames complementares a seguir:


Diante das evidências clínicas apresentadas, o tratamento preconizado para essa paciente é:
Provas
Na suspeita clínica de eventos tromboembólicos (TEP), com base no modelo de Wells de predição clínica, qual TEP provável?
Provas
Na avaliação perioperatória de um paciente portador de insuficiência cardíaca em classe funcional II (NYHA), constitui a orientação associada ao procedimento cirúrgico:
Provas
Paciente de 56 anos, sexo masculino, portador de hipertensão arterial sistêmica há 17 anos, durante retorno de rotina, apresenta exames complementares com presença de microabuminúria de 780 mg/g, uréia 44 mg/dL e creatinina 1,2 mg/dL [Clearance de Creatinina (MRRD GFR) 66.57 ml/min/1.73 m2].
Segundo o Kidney Diseases Improving Global Outcomes (KDIGO) e as Diretrizes brasileiras de hipertensão arterial, a estratificação de risco e conduta são:
Provas
Dentre as causas reversíveis de bradicardia, assinale a alternativa que associa corretamente a causa e o tratamento adequado.
Provas
O principal mecanismo fisiopatológico associado a hipertrigliceridemia primária é:
Provas
Caderno Container