Foram encontradas 590 questões.
O lobo cerebral em que está localizado o córtex motor primário é o:
Provas
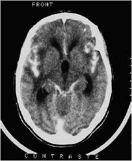
Paciente feminina, 26 anos, admitida no pronto atendimento com relato de cefaleia com piora progressiva na intensidade há 4 semanas, febre aferida de 39 ºC neste mesmo período e, na última semana, sonolência excessiva. Na admissão, você observa a paciente torporosa, localizando estímulos dolorosos nos 4 membros e com rigidez de nuca. Familiares relatam antecedente de uso de drogas. Observe a imagem a seguir.

(http://anatpat.unicamp.br/Dsc31988+.jpg)
Com base na história clínica e no exame de imagem, assinale a alternativa que apresenta corretamente, o resultado esperado do exame de líquor desta paciente.
Provas
Referente ao acometimento neurológico em portadores de hanseníase, é correto afirmar que o
Provas
Assinale a alternativa que apresenta corretamente um tumor do sistema nervoso central com origem embrionária.
Provas
Paciente masculino, 23 anos, admitido na emergência vítima de acidente automobilístico, com o seguinte exame neurológico: abertura ocular aos estímulos dolorosos, resposta verbal com palavras inapropriadas e resposta motora em retirada nos 4 membros.
A pontuação deste paciente, na Escala de coma de Glasgow, é:
Provas
Paciente masculino, 19 anos, foi encaminhado para avaliação neurológica por apresentar as lesões em “café com leite”, com o aspecto de acordo com a imagem a seguir.

(https://www.google.com.br/imgres)
Assinale a alternativa que apresenta o diagnóstico mais provável.
Provas
Assinale a alternativa correta referente ao tratamento de primeira linha de um paciente com diagnóstico de neuralgia do trigêmeo.
Provas
Assinale a alternativa correta referente ao tratamento das doenças que cursam com distúrbios do movimento.
Provas
Paciente de 60 anos, hipertenso e ex-tabagista, é encaminhado para acompanhamento ambulatorial após sofrer um acidente vascular cerebral isquêmico (AVC I) há 40 dias. Ele traz os exames realizados durante a internação: Ressonância de crânio mostrando lesão lacunar em cápsula interna esquerda; ultrassom de carótidas com placa aterosclerótica em artéria carótida interna esquerda < 70% de espessura; e ecocardiograma transtorácico com discreta hipertrofia de ventrículo esquerdo.
Assinale a alternativa correta referente ao melhor medicamento para prevenção secundária de novo AVC I neste paciente.
Provas
Avaliação ambulatorial de uma paciente de 34 anos, do sexo feminino e sem comorbidades, com queixa de cefaleia holocraniana, pulsátil, sem horário específico, piora com esforço físico e de início há 2 semanas. A mesma refere estar fazendo uso de analgésicos diariamente, mas o quadro vem piorando progressivamente.
Assinale a alternativa correta referente à conduta para este caso.
Provas
Caderno Container