Foram encontradas 520 questões.
Assinale a alternativa CORRETA com relação à classificação TI-RADS proposta pelo American College of Radiology
(ACR) para avaliação de nódulos tireoidianos.
Provas
Questão presente nas seguintes provas
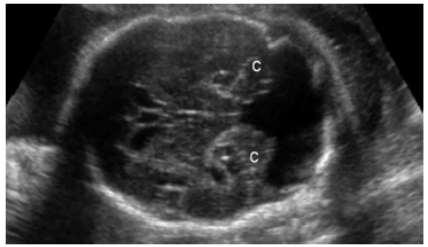
O médico ultrassonografista realizou exame ecográfico obstétrico em uma gestante de 36 semanas e 5 dias, e deparou-se com a seguinte imagem:
Hipoplasia ou agenesia do vérmis cerebelar e dilatação do quarto ventrículo, com formação cística na fossa posterior.
Fonte: CHARLES, H. Rodeck; WHITTLE, Martin J. Medicina fetal fundamentos e prática clínica. 1. ed. Rio de Janeiro: Revinter, 2005. p. 619-621.
Essa imagem permite afirmar que o feto apresenta
Hipoplasia ou agenesia do vérmis cerebelar e dilatação do quarto ventrículo, com formação cística na fossa posterior. Fonte: CHARLES, H. Rodeck; WHITTLE, Martin J. Medicina fetal fundamentos e prática clínica. 1. ed. Rio de Janeiro: Revinter, 2005. p. 619-621.
Essa imagem permite afirmar que o feto apresenta
Provas
Questão presente nas seguintes provas
Sobre o diagnóstico de endometriose por meio da ultrassonografia, assinale a alternativa CORRETA.
Provas
Questão presente nas seguintes provas
Paciente LMT, sexo feminino, 42 anos, realizou sua primeira mamografia de rotina em 12/11/2024, mas não apresenta
queixas e nega história familiar positiva para neoplasia de mamas. O laudo apresenta nódulo oval e circunscrito no
quadrante superolateral da mama direita, medindo 1,5 cm.
Esse achado deve ser classificado como:
Esse achado deve ser classificado como:
Provas
Questão presente nas seguintes provas
O mesmo recém-nascido pré-termo, 30 semanas e 3 dias, submetido à ultrassom transfontanela, tem na conclusão do
laudo a seguinte classificação: Papile grau II. Qual achado pode ter sido descrito no relatório do exame?
Provas
Questão presente nas seguintes provas
Recém-nascido prematuro (30 semanas e 3 dias) apresenta quadro de hipotonia e rebaixamento do nível de consciência.
Realizou-se estudo ultrassonográfico transfontanela com evidência de hemorragia da matriz germinal, com componente
hemorrágico intraventricular e dilatação ventricular, sem alterações no parênquima cerebral.
Segundo a classificação de Papile, a hemorragia desse recém-nascido é de
Segundo a classificação de Papile, a hemorragia desse recém-nascido é de
Provas
Questão presente nas seguintes provas
Analise as alternativas a seguir e marque a que melhor descreve a holoprosencefalia.
Provas
Questão presente nas seguintes provas
Sobre os protocolos de avaliação focada com Sonografia para Trauma (FAST) e FAST estendido (E-FAST) realizados à
beira do leito, no departamento de emergência para pacientes com trauma, analise as afirmativas a seguir.
I- O exame FAST é normalmente realizado na parte "C” da avaliação primária, durante a avaliação da circulação e hemorragia, de acordo com as diretrizes do Advanced Trauma Life Support (ATLS).
II- O ultrassom fornece um importante exame de triagem inicial no paciente adulto com trauma. No entanto, o ultrassom não substitui os estudos de imagem mais sensíveis, muitas vezes necessários para identificar lesões específicas em pacientes com sintomas ou sinais abdominais ou torácicos preocupantes.
III- O objetivo principal do exame FAST é determinar a presença de líquido livre pericárdico, intratorácico ou intraperitoneal patológico, que aparece como uma coleção hiperecoica, ou a presença de pneumotórax.
Está(ão) CORRETA(S) a(s) afirmativa(s)
I- O exame FAST é normalmente realizado na parte "C” da avaliação primária, durante a avaliação da circulação e hemorragia, de acordo com as diretrizes do Advanced Trauma Life Support (ATLS).
II- O ultrassom fornece um importante exame de triagem inicial no paciente adulto com trauma. No entanto, o ultrassom não substitui os estudos de imagem mais sensíveis, muitas vezes necessários para identificar lesões específicas em pacientes com sintomas ou sinais abdominais ou torácicos preocupantes.
III- O objetivo principal do exame FAST é determinar a presença de líquido livre pericárdico, intratorácico ou intraperitoneal patológico, que aparece como uma coleção hiperecoica, ou a presença de pneumotórax.
Está(ão) CORRETA(S) a(s) afirmativa(s)
Provas
Questão presente nas seguintes provas
J. F. L., 40 anos, relata a seu médico que, ao realizar atividade física, apresenta cansaço excessivo e falta de ar, além de
já acordar com suas pernas e pés inchados.
Diante desse relato, avalie as afirmativas a seguir quanto aos sinais de insuficiência cardíaca direita.
I- Dilatação da veia esplênica.
II- Veia cava inferior com diâmetro maior que 20 mm.
III- Veias hepáticas dilatadas.
IV- Derrame pleural.
V- Veia cava inferior sem colapso durante a inspiração.
Estão CORRETAS as afirmativas
Diante desse relato, avalie as afirmativas a seguir quanto aos sinais de insuficiência cardíaca direita.
I- Dilatação da veia esplênica.
II- Veia cava inferior com diâmetro maior que 20 mm.
III- Veias hepáticas dilatadas.
IV- Derrame pleural.
V- Veia cava inferior sem colapso durante a inspiração.
Estão CORRETAS as afirmativas
Provas
Questão presente nas seguintes provas
Qual alternativa descreve corretamente o fenômeno de aliasing?
Provas
Questão presente nas seguintes provas
Cadernos
Caderno Container