Magna Concursos

Foram encontradas 200 questões.

3926905 Ano: 2025
Disciplina: Radiologia
Banca: CESPE / CEBRASPE
Orgão: Pref. Boa Vista-RR
Provas:
Um sistema de radiografia computadorizada é composto por um cassete com cintilador de fósforo fotoestimulável e um digitalizador para leitura do sinal captado e transformação desse sinal em imagem digital. Nesse sistema de aquisição de imagem,
 

Provas

Questão presente nas seguintes provas
3926904 Ano: 2025
Disciplina: Radiologia
Banca: CESPE / CEBRASPE
Orgão: Pref. Boa Vista-RR
Provas:
Suponha que as radiografias da mão de um adolescente com queixa de dor após ter sofrido uma queda tenham revelado uma linha radiotransparente em todo o escafoide.
A partir das informações fornecidas nessa situação hipotética, é possível afirmar que
 

Provas

Questão presente nas seguintes provas
3926903 Ano: 2025
Disciplina: Radiologia
Banca: CESPE / CEBRASPE
Orgão: Pref. Boa Vista-RR
Provas:
Acerca das características de uma imagem radiológica digital, assinale a opção correta.
 

Provas

Questão presente nas seguintes provas
3926902 Ano: 2025
Disciplina: Radiologia
Banca: CESPE / CEBRASPE
Orgão: Pref. Boa Vista-RR
Provas:
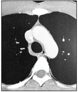
Enunciado 4881841-1



William Herring. Learning radiology: recognizing the basics, 2nd ed., Elsevier, 2012, pg. 101 (com adaptações).



Considerando a imagem digital precedente, formada a partir da aquisição de um exame de tomografia computadorizada (TC), é correto afirmar que essa imagem corresponde a um
 

Provas

Questão presente nas seguintes provas
3926901 Ano: 2025
Disciplina: Radiologia
Banca: CESPE / CEBRASPE
Orgão: Pref. Boa Vista-RR
Provas:
A adrenalina, um hormônio que é liberado em situações de alerta e estresse, é produzido na(s)
 

Provas

Questão presente nas seguintes provas
3926900 Ano: 2025
Disciplina: Radiologia
Banca: CESPE / CEBRASPE
Orgão: Pref. Boa Vista-RR
Provas:
O cérebro pode ser dividido em duas partes principais: telencéfalo e diencéfalo. No diencéfalo, existe uma estrutura localizada abaixo do tálamo, à frente do mesencéfalo e acima da glândula hipófise, denominada
 

Provas

Questão presente nas seguintes provas
3926899 Ano: 2025
Disciplina: Radiologia
Banca: CESPE / CEBRASPE
Orgão: Pref. Boa Vista-RR
Provas:
São exemplos de ossos longos
 

Provas

Questão presente nas seguintes provas
3926898 Ano: 2025
Disciplina: Radiologia
Banca: CESPE / CEBRASPE
Orgão: Pref. Boa Vista-RR
Provas:
Pacientes portadores de dispositivo cardíaco eletrônico implantável (DCEI) podem sofrer efeitos indesejáveis como consequência das interferências eletromagnéticas entre os dispositivos e os equipamentos de imagem ou radioterapia. Uma situação que pode representar risco para o paciente portador de DCEI é o(a)
 

Provas

Questão presente nas seguintes provas
3926897 Ano: 2025
Disciplina: Radiologia
Banca: CESPE / CEBRASPE
Orgão: Pref. Boa Vista-RR
Provas:
Na rotina de serviços de radiologia médica, para a operação segura de equipamentos tipo CR, DR e convencionais, é necessário observar o cumprimento de requisitos normativos para a garantia da qualidade e da segurança do uso. A esse respeito, assinale a opção correta.
 

Provas

Questão presente nas seguintes provas
3926896 Ano: 2025
Disciplina: Radiologia
Banca: CESPE / CEBRASPE
Orgão: Pref. Boa Vista-RR
Provas:
Em serviços de medicina nuclear, os equipamentos de diagnóstico e os instrumentos de medição da radiação utilizados devem possuir registros dos testes de aceitação e controle de qualidade periódico. Assinale a opção correta acerca dos requisitos técnicos que devem ser monitorados na rotina.
 

Provas

Questão presente nas seguintes provas