Foram encontradas 1.182 questões.
Sobre as fases da reabilitação cardiovascular (RCV),
analise as assertivas que seguem:
I.A fase 1 da RCV ocorre ainda durante a internação hospitalar e tem como objetivo preparar o paciente para a alta com melhores condições físicas e psicológicas, incluindo orientações necessárias.
II.A equipe mínima recomendada para atuar na fase 1 é multidisciplinar, podendo incluir médico, fisioterapeuta e enfermeiro capacitados para a reabilitação cardiovascular.
III.A fase 2 da RCV tem duração média de 3 meses e começa imediatamente após a alta hospitalar.
IV. A fase 4 da RCV costuma durar entre 3 a 6 meses, sendo a fase mais curta do programa.
É correto o que se afirma em:
I.A fase 1 da RCV ocorre ainda durante a internação hospitalar e tem como objetivo preparar o paciente para a alta com melhores condições físicas e psicológicas, incluindo orientações necessárias.
II.A equipe mínima recomendada para atuar na fase 1 é multidisciplinar, podendo incluir médico, fisioterapeuta e enfermeiro capacitados para a reabilitação cardiovascular.
III.A fase 2 da RCV tem duração média de 3 meses e começa imediatamente após a alta hospitalar.
IV. A fase 4 da RCV costuma durar entre 3 a 6 meses, sendo a fase mais curta do programa.
É correto o que se afirma em:
Provas
Questão presente nas seguintes provas
O TENS (Estimulação Elétrica Nervosa Transcutânea) é
uma técnica não invasiva usada para aliviar dores
agudas e crônicas, com poucos efeitos colaterais. Sua
ação envolve a ativação de estruturas do sistema
nervoso central. Para aplicá-la, é essencial que o
fisioterapeuta conheça seus parâmetros, aplicação e
cuidados. Assinale a alternativa correta.
Provas
Questão presente nas seguintes provas
A Doença de Alzheimer afeta principalmente idosos e
apresenta degeneração progressiva do tecido cerebral e
comprometimento cognitivo. Sobre o papel da fisioterapia
no manejo do Alzheimer, assinale a alternativa correta:
Provas
Questão presente nas seguintes provas
Os testes ortopédicos são ferramentas fundamentais na avaliação funcional e no exame físico do paciente, auxiliando na identificação de disfunções musculoesqueléticas. Com base na imagem apresentada, assinale a alternativa que corresponde corretamente ao teste demonstrado:

Fonte: CIPRIANO, Joseph J. Manual fotográfico de testes ortopédicos e neurológicos. 5. ed. Porto Alegre: Artmed, 2015.
Provas
Questão presente nas seguintes provas
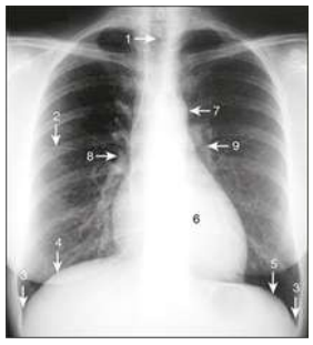
Observe a radiografia de tórax e associe os números
indicados na imagem às estruturas anatômicas listadas:
OLIVEIRA, Rafael Carvalho Rezende. Fisioterapia respiratória. 3. ed.
Rio de Janeiro: Guanabara Koogan, 2022. il.
(__)Hemidiafragma direito
(__)Hilo esquerdo
(__)Arco aórtico
(__)Traqueia
(__)Ângulo costofrênico
Assinale a alternativa que apresenta a sequência correta:
OLIVEIRA, Rafael Carvalho Rezende. Fisioterapia respiratória. 3. ed.
Rio de Janeiro: Guanabara Koogan, 2022. il. (__)Hemidiafragma direito
(__)Hilo esquerdo
(__)Arco aórtico
(__)Traqueia
(__)Ângulo costofrênico
Assinale a alternativa que apresenta a sequência correta:
Provas
Questão presente nas seguintes provas
Considerando o contexto atual do sistema de saúde
brasileiro, assinale a alternativa que melhor reflete a
evolução do papel da fisioterapia:
Provas
Questão presente nas seguintes provas
No Brasil, a Estratégia de Saúde da Família (ESF)
desempenha um papel fundamental no modelo
assistencial da Atenção Primária à Saúde (APS), sendo
a principal estratégia do SUS. Sobre a inserção da
fisioterapia na ESF e a ampliação do acesso à
assistência fisioterapêutica, assinale a alternativa
correta:
Provas
Questão presente nas seguintes provas
A Escala de Braden é uma ferramenta amplamente
utilizada na prática de enfermagem. Assinale a
alternativa que apresenta sua principal finalidade:
Provas
Questão presente nas seguintes provas
Programa Nacional de Imunizações (PNI) estabelece
diretrizes para a vacinação da população brasileira,
incluindo a imunização contra a febre amarela.
Considerando as recomendações vigentes do PNI,
assinale a alternativa correta sobre a vacinação contra a
febre amarela:
Provas
Questão presente nas seguintes provas
A gasometria de um paciente mostra um pH de 7,50,
PaCO 2: 30 mmHg e HCO 3: 25 mEq/L. Tendo essas
informações, assinale a alternativa que apresenta a
condição ácido-base do paciente:
Provas
Questão presente nas seguintes provas
Cadernos
Caderno Container