Foram encontradas 2.058 questões.
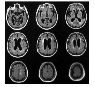
Observe a sequência de imagens abaixo e assinale a alternativa que apresenta sua correta leitura.

Provas
Em relação à Toxoplasmose, assinale a alternativa correta.
Provas
"Vaso venoso calibroso que drena veias profundas cuja distribuição é radiada (em cabeça de medusa), podendo ser vista à TC pós-contraste ou à RM sem-contraste (pelo flow void dos vasos envolvidos) ou pós-contraste (pelo hipersinal intravascular do mesmo)".
A descrição acima corresponde a
Provas
A manifestação clínica mais comum na síndrome do anticorpo antifosfolípide (SAF) é
Provas
Caracteriza-se por lesões ovais ou redondas, isoladas ou múltiplas, endurecidas e bem delimitadas, com atrofia cutânea, perda dos anexos cutâneos e alterações pigmentares. Muitas vezes é precedida por uma fase edematosa ou limitada por um anel violáceo inflamatório (lilac ring) quando em progressão. Envolve uma ou duas áreas anatómicas (geralmente tronco e/ou região proximal dos membros). Do ponto de vista histopatológico, o atingimento é superficial, afetando apenas derme e hipoderme. Trata-se da
Provas
Acerca das doenças que causam distúrbio do movimento, mais especificamente a Doença de Parkinson, assinale a alternativa correta.
Provas
Assinale a alternativa em que todos os sintomas de cefaleia apresentados indicam causa orgânica.
Provas
A doença de Chron é uma doença inflamatória crônica do trato gastrointestinal, de etiologia ainda não esclarecida. A respeito dos achados ultrassonográficos e radiológicos, assinale a alternativa correta.
Provas
Artrite associada a febre por, no mínimo, 2 semanas de duração, sendo diária por, pelo menos, 3 dias consecutivos e acompanhada por um ou mais dos seguintes sinais: exantema evanescente, hepatomegalia ou esplenomegalia e serosite. Trata-se da artrite
Provas
Observe a imagem abaixo. Mulher de 44 anos de idade se apresenta com dor.

A respeito do diagnótico mais provável, assinale a alternativa correta.
Provas
Caderno Container