Foram encontradas 210 questões.
De acordo com o Manual de Cirurgia Segura do Colégio Brasileiro de Cirurgiões, qual é a melhor
prática para garantir a segurança do paciente durante a indução da anestesia geral?
Provas
Questão presente nas seguintes provas
Um paciente de 50 anos, com diabetes mellitus tipo 2, é submetido a uma cirurgia de correção de
hérnia inguinal. No quinto dia pós-operatório, o paciente apresenta febre alta, dor intensa e edema na
região operada, acompanhados de secreção purulenta e sinais de eritema. Com base no Tratado de
Infectologia de Veronesi e nas diretrizes de cirurgia geral, qual é o agente etiológico mais provável?
Provas
Questão presente nas seguintes provas
Sobre o uso da ultrassonografia (USG) em ambiente de urgência traumática e não traumática,
assinale a alternativa CORRETA:
Provas
Questão presente nas seguintes provas
Segundo o Advanced Trauma Life Suport (ATLS), durante a ressuscitação volêmica no paciente
politraumatizado, o líquido de reposição deve estar a uma temperatura ideal de:
Provas
Questão presente nas seguintes provas
Um paciente de 55 anos com múltiplas comorbidades, incluindo diabetes mellitus e hipertensão,
está programado para uma cirurgia eletiva de grande porte. Qual das seguintes medidas de segurança
pré-operatórias é essencial para minimizar o risco de complicações perioperatórias, conforme as
diretrizes do Manual de Cirurgia Segura do Colégio Brasileiro de Cirurgiões?
Provas
Questão presente nas seguintes provas
Um paciente de 68 anos chega à emergência com quadro de dor torácica intensa, início súbito,
irradiada para as costas, associado a dispneia e sudorese profusa. No exame físico, a pressão arterial é
de 180/110 mmHg em ambos os braços, frequência cardíaca de 110 bpm, e há um sopro diastólico
audível no foco aórtico. A tomografia computadorizada mostra dissecção da aorta ascendente. Qual é a
conduta inicial mais apropriada para esse paciente?
Provas
Questão presente nas seguintes provas
Durante o procedimento de timeout em uma cirurgia, qual é a ação mais crítica que deve ser
realizada para garantir a segurança do paciente, de acordo com as diretrizes do Colégio Brasileiro de
Cirurgiões?
Provas
Questão presente nas seguintes provas
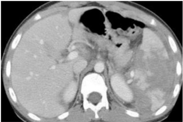
Homem de 25 anos foi vítima de colisão de carro contra muro, sendo atendido inicialmente pela equipe pré-hospitalar com médico (Suporte Avançado). Chega intubado, em ventilação mecânica; pressão arterial: 80 × 60 mmHg; frequência cardíaca: 140 bpm, Glasgow: 6T. Após expansão com 2.000 mL de solução cristaloide: pressão arterial 100 × 70 mmHg, frequência cardíaca: 120 bpm. Indicada então tomografia de abdome, ilustrada a seguir. Após a tomografia, apresentou novamente hipotensão com aumento da taquicardia.

Qual é a opção CORRETA para o tratamento da lesão abdominal deste paciente?
Provas
Questão presente nas seguintes provas
Um paciente de 52 anos apresenta um quadro de dor abdominal intensa e contínua, localizada no
quadrante inferior direito, febre de 38,5ºC, náuseas e vômitos. Durante o exame físico, observa-se
defesa abdominal localizada e sinal de Blumberg positivo. A tomografia computadorizada do abdome
revela presença de um apêndice inflamatório com diâmetro maior que 6 mm, espessamento da parede e
uma coleção de líquido peri-apendicular. Qual é a conduta cirúrgica mais indicada para este paciente?
Provas
Questão presente nas seguintes provas
No manejo das vias aéreas, as manobras de Jaw-Thrust e Chin-Lift correspondem,
respectivamente, a:
Provas
Questão presente nas seguintes provas
Cadernos
Caderno Container