Magna Concursos

Foram encontradas 40 questões.

2103810 Ano: 2021
Disciplina: Medicina
Banca: Pref. Bauru-SP
Orgão: Pref. Bauru-SP
Provas:
Quanto às bronquiectasias, podemos afirmar:
 

Provas

Questão presente nas seguintes provas
2103809 Ano: 2021
Disciplina: Medicina
Banca: Pref. Bauru-SP
Orgão: Pref. Bauru-SP
Provas:
Um homem com 62 anos de idade, portador de DPOC, chega à UPA com história de há 2 dias estar apresentando tosse produtiva com secreção clara, piora da dispneia habitual e sibilos. Devemos considerar como a causa mais provável deste quadro:
 

Provas

Questão presente nas seguintes provas
2103806 Ano: 2021
Disciplina: Medicina
Banca: Pref. Bauru-SP
Orgão: Pref. Bauru-SP
Provas:
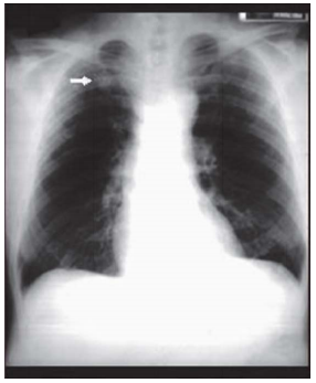
Homem com 35 anos de idade procura a Unidade Básica de Saúde devido a uma alteração identificada nos exames admissionais, reproduzida na radiografia de tórax seguinte. Refere tosse seca há 40 dias, constante, diária, nunca tratada. Nega febre, dispneia, hemoptise e perda de peso. É fumante, com uma carga tabágica de 20 anos.maço. O exame físico é normal. A conduta mais apropriada para este paciente, neste momento, é:
enunciado 1093890-1
 

Provas

Questão presente nas seguintes provas
2103805 Ano: 2021
Disciplina: Medicina
Banca: Pref. Bauru-SP
Orgão: Pref. Bauru-SP
Provas:
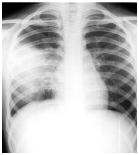
Paciente de 37 anos de idade, procura UPA referindo apresentar há dois dias mal estar geral, dor torácica ventilatório dependente à D e tosse produtiva, com expectoração amarelada e febre aferida 38ºC. É hipertenso, em uso de losartan. Ao exame físico apresenta-se lúcido, orientado, pouco dispneico, com mucosas normocoradas, hidratadas, escleróticas anictéricas; ao exame pulmonar apresenta aumento do frêmito toracovocal em terço médio de hemitórax D, onde ausculta-se um sopro tubário; ritmo cardíaco regular em dois tempos com bulhas normofonéticas, sem sopros. Abdome flácido, ausência de visceromegalias. Membros inferiores sem alterações. Sinais vitais: PA = 140/80 mmHg, FR = 24 irpm, FC = 92 bpm e temperatura axilar = 37,8ºC. Foi realizado RX de tórax no atendimento, o qual é mostrado abaixo. Assinale a alternativa que corresponde CORRETAMENTE ao ambiente para o tratamento inicial e o antibiótico de escolha.
enunciado 1093889-1
 

Provas

Questão presente nas seguintes provas
2103801 Ano: 2021
Disciplina: Medicina
Banca: Pref. Bauru-SP
Orgão: Pref. Bauru-SP
Provas:
Assinale a alternativa que é contra indicação de Ventilação Não Invasiva:
 

Provas

Questão presente nas seguintes provas
2073212 Ano: 2021
Disciplina: Enfermagem
Banca: Pref. Bauru-SP
Orgão: Pref. Bauru-SP
Provas:
São princípios norteadores da Política de Humanização do SUS:
 

Provas

Questão presente nas seguintes provas
2073191 Ano: 2021
Disciplina: Saúde Pública
Banca: Pref. Bauru-SP
Orgão: Pref. Bauru-SP
Provas:
O Sistema Único de Saúde (SUS) é composto por princípios e diretrizes. São considerados princípios doutrinários do SUS:
 

Provas

Questão presente nas seguintes provas
2073189 Ano: 2021
Disciplina: Saúde Pública
Banca: Pref. Bauru-SP
Orgão: Pref. Bauru-SP
Provas:
De acordo com a Lei nº 8.142/1990 o Sistema Único de Saúde (SUS), contará, em cada esfera de governo, com as seguintes instâncias colegiadas:
 

Provas

Questão presente nas seguintes provas
2073187 Ano: 2021
Disciplina: Saúde Pública
Banca: Pref. Bauru-SP
Orgão: Pref. Bauru-SP
Provas:
As Redes de Atenção à Saúde (RAS) são consideradas estratégias para um cuidado integral e direcionado as necessidades de saúde da população, conforme a Portaria nº 2.488/2011. De acordo com esta portaria a atenção básica deve cumprir algumas funções para contribuir com o funcionamento das Redes de Atenção à Saúde, que são:
I - Ser base: ser a modalidade de atenção e de serviço de saúde com o mais elevado grau de descentralização e capilaridade, cuja participação no cuidado se faz sempre necessária; II - Ser resolutiva: identificar riscos, necessidades e demandas de saúde, utilizando e articulando diferentes tecnologias de cuidado individual e coletivo, por meio de uma clínica ampliada capaz de construir vínculos positivos e intervenções clínica e sanitariamente efetivas, na perspectiva de ampliação dos graus de autonomia dos indivíduos e grupos sociais; III - Coordenar o cuidado: elaborar, acompanhar e gerir projetos terapêuticos singulares, bem como acompanhar e organizar o fluxo dos usuários entre os pontos de atenção das RAS. IV - Ordenar as redes: reconhecer as necessidades de saúde da população sob sua responsabilidade, organizando as necessidades desta população em relação aos outros pontos de atenção à saúde, contribuindo para que a programação dos serviços de saúde parta das necessidades de saúde dos usuários.
De acordo com o exposto acima assinale a alternativa CORRETA:
 

Provas

Questão presente nas seguintes provas
2073183 Ano: 2021
Disciplina: Saúde Pública
Banca: Pref. Bauru-SP
Orgão: Pref. Bauru-SP
Provas:
Para instituir uma Região de Saúde, conforme o Decreto nº 7.508/2011, deve conter, no mínimo, as seguintes ações e serviços:
 

Provas

Questão presente nas seguintes provas