Magna Concursos

Foram encontradas 35 questões.

2231170 Ano: 2021
Disciplina: Medicina
Banca: FEPESE
Orgão: Pref. Balneário Camboriú-SC
Provas:

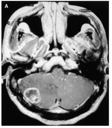
Considere um paciente masculino 55 anos com historia de hemiparesia direita há 2 semanas, sem nenhum fato significante de antecedente.

Enunciado 2231170-1

De acordo com a imagem acima, dentre os diagnósticos abaixo descritos, qual o mais provável?

 

Provas

Questão presente nas seguintes provas
2231168 Ano: 2021
Disciplina: Medicina
Banca: FEPESE
Orgão: Pref. Balneário Camboriú-SC
Provas:

Use o caso clínico abaixo para responder às questões 21 a 24.


Considere uma paciente feminina, 28 anos, diabética insulina dependente desde a infância, apresentando queixa de dor em região lombar com irradiação para membro inferior esquerdo há três dias, que nas últimas 12 horas associou-se a parestesia, paresia de membros inferiores e perda do controle esfincteriano vesical. Ao exame apresentou a inspeção lesão de pele em face lateral da coxa esquerda sugestiva de furúnculo, dor à palpação da coluna em nível L5-S1, dimimuição do reflexo aquileu à esquerda e incapacidade de dorso-flexão do pé esquerdo.

Assinale a alternativa que indica corretamente o exame laboratorial mais importante para o acompanhamento e a conduta terapêutica do caso clínico 1.

 

Provas

Questão presente nas seguintes provas
2231166 Ano: 2021
Disciplina: Medicina
Banca: FEPESE
Orgão: Pref. Balneário Camboriú-SC
Provas:

Use o caso clínico abaixo para responder às questões 21 a 24.


Considere uma paciente feminina, 28 anos, diabética insulina dependente desde a infância, apresentando queixa de dor em região lombar com irradiação para membro inferior esquerdo há três dias, que nas últimas 12 horas associou-se a parestesia, paresia de membros inferiores e perda do controle esfincteriano vesical. Ao exame apresentou a inspeção lesão de pele em face lateral da coxa esquerda sugestiva de furúnculo, dor à palpação da coluna em nível L5-S1, dimimuição do reflexo aquileu à esquerda e incapacidade de dorso-flexão do pé esquerdo.

O germe mais comumente encontrado nas culturas deste tipo de patologia do caso clínico 1 é:

 

Provas

Questão presente nas seguintes provas
2231165 Ano: 2021
Disciplina: Medicina
Banca: FEPESE
Orgão: Pref. Balneário Camboriú-SC
Provas:

Use o caso clínico abaixo para responder às questões 21 a 24.


Considere uma paciente feminina, 28 anos, diabética insulina dependente desde a infância, apresentando queixa de dor em região lombar com irradiação para membro inferior esquerdo há três dias, que nas últimas 12 horas associou-se a parestesia, paresia de membros inferiores e perda do controle esfincteriano vesical. Ao exame apresentou a inspeção lesão de pele em face lateral da coxa esquerda sugestiva de furúnculo, dor à palpação da coluna em nível L5-S1, dimimuição do reflexo aquileu à esquerda e incapacidade de dorso-flexão do pé esquerdo.

A via de disseminação mais provável no caso clínico 1 é:

 

Provas

Questão presente nas seguintes provas
2231164 Ano: 2021
Disciplina: Medicina
Banca: FEPESE
Orgão: Pref. Balneário Camboriú-SC
Provas:

Use o caso clínico abaixo para responder às questões 21 a 24.


Considere uma paciente feminina, 28 anos, diabética insulina dependente desde a infância, apresentando queixa de dor em região lombar com irradiação para membro inferior esquerdo há três dias, que nas últimas 12 horas associou-se a parestesia, paresia de membros inferiores e perda do controle esfincteriano vesical. Ao exame apresentou a inspeção lesão de pele em face lateral da coxa esquerda sugestiva de furúnculo, dor à palpação da coluna em nível L5-S1, dimimuição do reflexo aquileu à esquerda e incapacidade de dorso-flexão do pé esquerdo.

O caso clínico 1 descrito sugere uma patologia de coluna vertebral de origem:

 

Provas

Questão presente nas seguintes provas
2231077 Ano: 2021
Disciplina: Atualidades e Conhecimentos Gerais
Banca: FEPESE
Orgão: Pref. Balneário Camboriú-SC
Provas:

Migrante é forma genérica de se referir a uma pessoa que se desloca do seu país, estado ou região em que nasceu. As pessoas migram por diversos motivos todos os anos. O refugiado é uma categoria específica de emigrante.

Analise as afirmativas abaixo sobre os problemas do mundo contemporâneo que levam as pessoas a migrarem:

1. Pessoas podem mudar de região ou país para fugir de guerras, conflitos internos, perseguição (política, étnica, religiosa, de gênero etc,), violação de direitos humanos, fome ou catástrofes naturais.

2. O solicitante de asilo, para a Organização das Nações Unidas (ONU), é a pessoa que pediu proteção internacional e aguarda a concessão do status de refugiado.

3. Asilado, para a Organização das Nações Unidas (ONU), é o refugiado aceito oficialmente pelo país ao qual pediu refúgio.

4. O refugiado é um migrante forçado, que teve que fugir do seu país, pois a sua sobrevivência física estava ameaçada, o que é um reflexo de um grande padrão de violação dos direitos humanos.

Assinale a alternativa que indica todas as afirmativas corretas.

 

Provas

Questão presente nas seguintes provas
2231075 Ano: 2021
Disciplina: Medicina
Banca: FEPESE
Orgão: Pref. Balneário Camboriú-SC
Provas:

Indicadores de Saúde são instrumentos utilizados para medir uma realidade, como parâmetro norteador, instrumento de gerenciamento, avaliação e planejamento das ações na saúde, de modo a permitir mudanças nos processos e resultados.

Assinale a alternativa correta em relação ao assunto.

 

Provas

Questão presente nas seguintes provas
2231074 Ano: 2021
Disciplina: Enfermagem
Banca: FEPESE
Orgão: Pref. Balneário Camboriú-SC
Provas:

Em função da pandemia pelo COVID-19, o uso de máscaras tornou-se algo evidente entre a população e os profissionais de saúde, sendo considerado componente essencial quando se fala em Biossegurança.

Assinale a alternativa correta acerca dos tipos de máscaras e equipamentos de proteção respiratória.

 

Provas

Questão presente nas seguintes provas
2231066 Ano: 2021
Disciplina: Saúde Pública
Banca: FEPESE
Orgão: Pref. Balneário Camboriú-SC
Provas:

Sobre o SUS, é correto afirmar:

 

Provas

Questão presente nas seguintes provas
2231065 Ano: 2021
Disciplina: Enfermagem
Banca: FEPESE
Orgão: Pref. Balneário Camboriú-SC
Provas:

Biossegurança é a condição de segurança alcançada por um conjunto de ações destinadas a prevenir, controlar, reduzir ou eliminar os fatores de risco inerentes às atividades que possam comprometer a saúde humana, animal e vegetal, o meio ambiente e a qualidade do trabalho realizado.

Assinale a alternativa correta acerca dos tipos de precauções a serem adotadas pelos profissionais da saúde.

 

Provas

Questão presente nas seguintes provas