Foram encontradas 29 questões.
Antônio Carlos, 60 anos, tabagista 40 anos-maço, realiza TC de tórax como prevenção secundária para câncer de pulmão. No exame, foi observado nódulo de 6 mm, em vidro fosco, sem componente sólido, em lobo superior direito. Qual a recomendação CORRETA para esse paciente?
Provas
JJ, 12 anos, morador de zona rural, ao retornar da escola, percebeu ter sido picado por animal não visualizado por ele, no membro inferior esquerdo. Em 4 horas, o quadro evoluiu para turvação visual e alteração da ectoscopia, conforme imagem abaixo:


Qual o achado laboratorial comumente encontrado pela ação do veneno desse animal?
Provas
Sr.ª AM, 28 anos, motorista de aplicativo, procurou assistência da clínica médica com quadro de febre persistente, dor em abdômen superior, perda ponderal de 2 kg em 3 semanas, além de queda do estado geral. Ao exame clínico, a paciente apresentava palidez cutânea e esplenomegalia.
Baseando na história clínica de Sr.ª AM, assinale a alternativa INCORRETA.
Provas
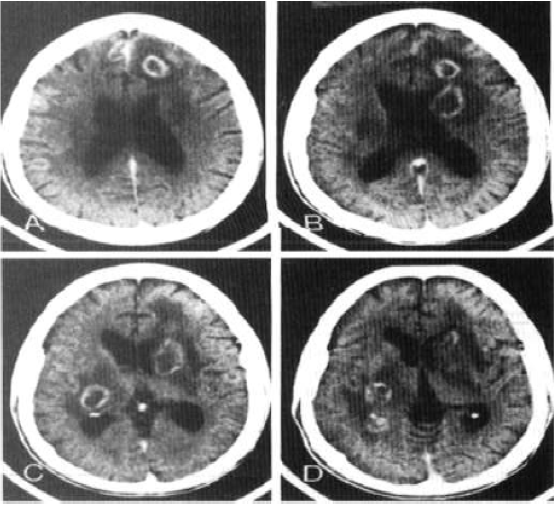
Sr. FS, 39 anos, convive com HIV há 10 anos, faz uso irregular de terapia antirretroviral e não sabe referir seu último CD4 dosado. Ele procura atendimento no pronto-socorro por quadro de rebaixamento do nível de consciência há três dias, associado à intensa cefaleia. Apresentou três episódios de convulsões tônico-clônicas generalizadas. O exame neurológico simplificado demonstrou hemiparesia à esquerda, Glasgow 13, sem sinais de irritação meníngea e com fundo de olho normal. Foi realizada tomografia, de acordo com a imagem a seguir:

Considere que a principal hipótese diagnóstica foi confirmada. Qual deve ser a conduta CORRETA?
Provas
Edileuza, 64 anos, tabagista e diabética, procura serviço de pronto atendimento com dor precordial há 2 horas e PA = 149x96 mmHg. A paciente realiza eletrocardiograma, conforme imagem a seguir:
Após a realização do eletrocardiograma, o plantonista institui algumas condutas terapêuticas. Porém, após a utilização de uma das medicações, o quadro de Edileuza evolui para hipotensão acentuada, mal-estar generalizado e sintomas de baixo débito, sem rash cutâneo ou angioedema. Qual medicação poderia justificar o quadro dessa paciente?
Provas
Sr. JG, 60 anos, procura o serviço hospitalar com falta de ar e dor torácica iniciada há 40 minutos. Referiu que, na véspera, começou a se sentir mal e esteve no mesmo hospital, quando foi examinado e realizou radiografia de tórax e eletrocardiograma. Na ocasião, os médicos lhe disseram que não encontraram anormalidades relevantes e deram alta a ele, que foi para casa. O paciente possui histórico de tabagismo crônico. Exame físico: FC = 134 bpm, FR+ 36irpm, PA = 89x58 mmHg, Oximetria = 85%, sudorético. AR = murmúrio vesicular fisiológico, sem ruídos adventícios; ACV: bulhas rítmicas e fonéticas. Seguem abaixo as imagens do ECG e TC de tórax.

Qual a conduta CORRETA para esse paciente?
Provas
A reposição de levotiroxina (LT4) constitui tratamento consagrado do hipotireoidismo, independentemente da sua etiologia. Muitas drogas e várias situações clínicas afetam a farmacocinética e o metabolismo do hormônio tireoidiano; por exemplo, absorção, síntese, secreção, catabolismo, ligação proteica e resposta do tecido-alvo, reduzindo a resposta terapêutica a LT4. Em qual das alternativas a seguir encontramos situações em que NÃO há necessidade de aumento da dose de levotiroxina?
Provas
O Sr. FB, 72 anos, portador de cardiopatia chagásica dilatada com fração de ejeção de 42% e aumento de ventrículo esquerdo, comparece à unidade de saúde. O paciente informa uso de captopril, carvedilol, furosemida e digoxina, há 6 meses, e relata que vem notando, nas últimas semanas, visão amarelada, anorexia e náuseas. Qual propedêutica laboratorial pode contribuir para justificar o quadro clínico apresentado pelo Sr. FB?
Provas
A Sr.ª MK, 57 anos, comparece à consulta médica para tratamento de diabetes mellitus. Histórico de dislipidemia, hipertensão arterial e tabagismo crônico. Faz uso de 1000mg de metformina, 20 mg de enalapril e 20 mg de sinvastatina por dia, há 6 meses. Exame físico: PA = 134x84 mmHg, FC = 90 bpm, IMC = 29 kg/m2. Exames laboratoriais: glicemia de jejum = 147 mg/dl, hemoglobina glicada = 8,1%, LDL-colesterol = 135 mg/dl; triglicérides = 176mg/dl; creatinina = 1,2 mg/dl; relação albumina/creatinina urinária = 360 mg/24h e TFG (CKD-EPI) 56 ml/min. Qual a conduta CORRETA para esse caso?
Provas
De acordo com a Lei Orgânica da Saúde, Lei n.º 8.080/1990, o Sistema Único de Saúde (SUS) pode se organizar em distritos de forma a integrar e articular recursos, técnicas e práticas voltadas para a cobertura total das ações de saúde, no nível
Provas
Caderno Container