Foram encontradas 395 questões.
Em relação a displasia congênita do quadril, assinale
a alternativa correta.
Provas
Questão presente nas seguintes provas
Em relação às lesões císticas do pescoço em pediatria, assinale a alternativa correta.

Provas
Questão presente nas seguintes provas
Você realiza o exame ultrassonográfico de glândulas
salivares de uma paciente do sexo feminino de 30 anos e
encontra a seguinte imagem. Assinale a alternativa
correta.


Provas
Questão presente nas seguintes provas
Ao realizar o exame ecográfico obstétrico de uma
gestante 37 semanas, você se depara com a seguinte
imagem. Assinale a alternativa correta.


Provas
Questão presente nas seguintes provas
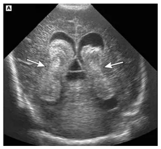
Ao realizar o exame ecográfico transfontanela de um
RN prematuro de 34 semanas, com anóxia perinatal,
você se depara com a seguinte imagem no plano coronal.
assinale a alternativa correta.


Provas
Questão presente nas seguintes provas
Pré-escolar de 3 anos com quadro de diarreia crônica,
perda de peso, fadiga e irritabilidade há 6 meses. Ao
exame físico, observa-se desnutrição leve, distensão
abdominal, perda da musculatura glútea, atraso motor e
hipotonia. A mãe refere que a criança tem apetite normal,
mas apresenta fezes pastosas e volumosas em grande
quantidade. Qual o exame laboratorial tem melhor
sensibilidade e especificidade para a principal hipótese
diagnóstica?
Provas
Questão presente nas seguintes provas
Lactente de 3 meses trazido pelos familiares por
episódio de hipotonia e cianose. Pais relataram que foi
realizado manobra de desengasgo ainda no domicílio
sem recuperação do episódio. Paciente evoluiu com
rebaixamento do nível de consciência e instabilidade
hemodinâmica com necessidade de intubação
orotraqueal. Realizada tomografia de crânio com
presença de hematomas subdurais crônicos com sinais de
agudização; Hemorragia subaracnoidea e diminutos
focos de hematomas intraparenquimatosas. Em exame
de fundo de olho foi visualizada hemorragia intraocular.
Os exames corroboram com a hipótese de:
Provas
Questão presente nas seguintes provas
Menina de 5 anos, tem trissomia do cromossomo 21,
apresentando quadro de irritabilidade, palpitações,
sudorese, hipertensão, rubor, opsomioclonia e massa
abdominal palpável. O quadro clínico pode ser associado
ao:
Provas
Questão presente nas seguintes provas
Sobre a trombocitopenia imune primária, assinale a
alternativa que requer tratamento e internação imediatos:
Provas
Questão presente nas seguintes provas
Menino de 4 anos com quadro de coriza, espirros e
febre há 8 dias, sem tratamento específico. Evoluindo
com edema e hiperemia palpebral, com motricidade
ocular preservada sem proptose. O exame complementar
indicado para elucidação diagnóstica e o tratamento a ser
realizado é:
Provas
Questão presente nas seguintes provas
Cadernos
Caderno Container