Magna Concursos

Foram encontradas 1.120 questões.

925374 Ano: 2012
Disciplina: Medicina
Banca: VUNESP
Orgão: PM-SP

A presença de anticorpos reagentes para o vírus da hepatite C indica

 

Provas

Questão presente nas seguintes provas
925373 Ano: 2012
Disciplina: Medicina
Banca: VUNESP
Orgão: PM-SP

Em atenção à dosagem do antígeno carcino-embrionário (CEA), é incompatível a afirmação de que

 

Provas

Questão presente nas seguintes provas
925372 Ano: 2012
Disciplina: Medicina
Banca: VUNESP
Orgão: PM-SP

Na suspeita de diverticulite, a maior sensibilidade para o diagnóstico é obtida por meio de

 

Provas

Questão presente nas seguintes provas
925371 Ano: 2012
Disciplina: Medicina
Banca: VUNESP
Orgão: PM-SP

A complicação mais prevalente em portador de moléstia diverticular, forma hipotônica, é

 

Provas

Questão presente nas seguintes provas
925370 Ano: 2012
Disciplina: Medicina
Banca: VUNESP
Orgão: PM-SP

Portador de ileite de Crohn apresenta litíase vesicular em exame ultrassonográfico abdominal de rotina. A maior incidência dessa patologia, nesses pacientes, é devida a

 

Provas

Questão presente nas seguintes provas
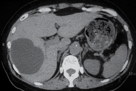
925369 Ano: 2012
Disciplina: Medicina
Banca: VUNESP
Orgão: PM-SP

Observe a imagem a seguir.

enunciado 925369-1

O corte tomográfico computadorizado abdominal sugere

 

Provas

Questão presente nas seguintes provas
925368 Ano: 2012
Disciplina: Medicina
Banca: VUNESP
Orgão: PM-SP

Paciente de 43 anos permaneceu com sonda nasogástrica por 12 dias após trauma abdominal e, três semanas após a retirada da sonda, passou a apresentar disfagia a alimentos sólidos. A investigação diagnóstica inicial implica em

 

Provas

Questão presente nas seguintes provas
925367 Ano: 2012
Disciplina: Medicina
Banca: VUNESP
Orgão: PM-SP

A principal causa de pancreatite aguda nas mulheres é

 

Provas

Questão presente nas seguintes provas
925366 Ano: 2012
Disciplina: Medicina
Banca: VUNESP
Orgão: PM-SP

Paciente procura pronto-socorro, com dor no rebordo costal direito, acompanhado de febre, vômitos e sinal de irritação peritoneal local. O ultrassom imediato revela litíase vesicular, paredes espessadas e líquido perivesicular com reação dolorosa ao transdutor. Assinale a alternativa que apresenta a conduta correta.

 

Provas

Questão presente nas seguintes provas
925365 Ano: 2012
Disciplina: Medicina
Banca: VUNESP
Orgão: PM-SP

Na investigação das patologias digestivas que cursam com sintomas compatíveis com patologias gastroduodenais, o exame parasitológico das fezes se justifica pela possibilidade de

 

Provas

Questão presente nas seguintes provas