Foram encontradas 2.033 questões.
Os tumores de glândulas salivares incluem uma variedade de tipos histológicos benignos ou malignos. Sobre as neoplasias das glândulas salivares, assinale a afirmativa INCORRETA.
Provas
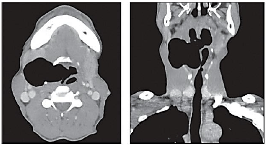
Homem, 60 anos, com história de massa cervical indolor de crescimento progressivo há nove meses, acompanhada de rouquidão. Nega dispneia; disfagia; perda ponderal; febre; ou, outros sintomas. Exame ultrassonográfico teve como laudo massa com superfície de reflexão intensa, de difícil caracterização, sugestiva de presença de gás em seu interior. Realizada aspiração por agulha fina da lesão, cujo laudo descrevia apenas material insatisfatório. Posteriormente, foi submetido à tomografia computadorizada, cujas imagens, em cortes axial e coronal, respectivamente, estão representadas a seguir:

Considerando a situação hipotética, o diagnóstico mais provável é:
Provas
Paciente, sexo masculino, 42 anos, morador da zona rural, consulta por quadro progressivo de disfonia e tosse seca há quatro meses. Ao exame videolaringoscópico é identificada uma úlcera superficial com aparência granular e pontos hemorrágicos em pregas vocais com fixação. Foi coletada a amostra da lesão, cujo exame histopatológico revelou células arredondadas com dupla parede e algumas com gemulações múltiplas aparentando “roda de leme”. Considerando a situação hipotética, o diagnóstico mais provável é:
Provas
As faringotonsilites são doenças inflamatórias e infecciosas que constituem um dos distúrbios mais frequentes em consultórios dos otorrinolaringologistas. Assinale a associação correta referente à doença e seu agente etiológico.
Provas
Considerando que a laringomalácia é a principal causa de estridor crônico em crianças menores de dois anos, assinale a afirmativa correta.
Provas
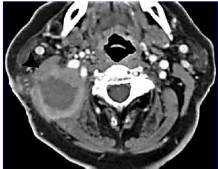
Paciente, sexo masculino, 22 anos, em tratamento para otite média aguda, há 7 dias retornou ao pronto-socorro por manutenção de febre e otalgia, além de inchaço retroautricular e cervicalgia à direita. Ao exame físico: regular estado geral; febril (39° C); e, abaulamento e hiperemia retroauricular dolorosa à direita com extensão inferior para região cervical com deslocamento anterior de pavilhão auricular ipsilateral. Presença de rigidez à movimentação cervical; ausência de sinais de Kernig e Brudzinski. Otoscopia: membrana timpânica íntegra à esquerda e conduto auditivo externo abaulado e hiperemiado. Realizada tomografia:

O diagnóstico da complicação evidenciada na imagem e a melhor conduta são, respectivamente:
Provas
Homem, 32 anos, procura atendimento com queixa de otalgia à esquerda. Refere que iniciou há uma semana com zumbido e dificuldade em escutar do lado esquerdo e que há quatro dias apresenta dificuldade de fechar os olhos e a boca do mesmo lado. Nega patologias e uso de medicações ou drogas. Ao exame: presença de múltiplas vesículas em base eritamatosa em canal auditivo externo e concha. Paralisia facial em toda a hemiface esquerda. Considerando a situação hipotética, o diagnóstico mais provável é:
Provas
Paciente, sexo feminino, 50 anos, vem à consulta queixando de zumbido e diminuição da audição em ouvido direito. Relata que os sintomas foram percebidos no mesmo dia, logo ao acordar. Nega uso de medicações contínuas; nega traumas; nega exposição a ruído intenso; e, otoscopia sem alterações. Teste de Weber com lateralização para o lado esquerdo e teste de Rinne evidenciando condução aérea maior que óssea bilateralmente. Sobre Surdez Súbita (SS), assinale a afirmativa INCORRETA.
Provas
A tuberculose é uma doença infecciosa causada pelo Mycobacterium tuberculosis. O principal órgão afetado é o pulmão; no entanto, vários outros órgãos podem ser acometidos. Sobre a tuberculose laríngea, assinale a afirmativa correta.
Provas
A supraglotite ou epiglotite é uma inflamação aguda das estruturas supraglóticas que pode levar a óbito por obstrução respiratória, se o tratamento não for feito adequadamente. Sobre a epiglotite, assinale a afirmativa correta.
Provas
Caderno Container