Foram encontradas 2.033 questões.
O câncer de mama é uma doença rara em mulheres jovens e sua incidência começa a ser mais expressiva a partir dos 40 anos. A maior parte dos casos ocorre a partir dos 50 anos. Homens também desenvolvem câncer de mama, mas se estima que a incidência nesse grupo representa apenas 1% de todos os casos da doença. (INCA, 2019.) Sobre a epidemiologia do câncer de mama, marque V para as afirmativas verdadeiras e F para as falsas.
( ) No Brasil, excluindo os tumores de pele não melanoma, o câncer de mama é o mais incidente em mulheres de todas as regiões.
( ) O câncer de mama é a primeira causa de morte por câncer na população feminina em todas as regiões do Brasil, exceto na região Nordeste.
( ) São considerados fatores de risco para desenvolver câncer de mama: história de menarca antes de 12 anos, menopausa após os 55 anos e primeira gravidez após os 30 anos.
( ) O risco de câncer de mama devido à radiação ionizante é proporcional à dose e à frequência nas quais a pessoa foi exposta.
A sequência está correta em
Provas
Em estudos de revisão, a média de carcinomas perdidos pode ocorrer em 4,2% das vezes, 76,9% tendo sido identificados logo após a biópsia (imagem incompatível com resultado anatomopatológico) e 23,1% identificados no controle. Subdiagnósticos, ou diagnósticos subestimados, são aqueles cuja presença pode estar associada à existência de outra lesão de maior gravidade. São eles, EXCETO:
Provas
Paciente, 56 anos, comparece à consulta para mostrar resultado do anatomopatológico de uma core biopsy realizada há vinte dias. Na mamografia inicial, o nódulo sólido foi classificado com BIRADS 4c não palpável ao exame físico; foi indicado estudo histológico por biópsia de agulha grossa, que evidenciou achados tipicamente benignos. Qual deverá ser a conduta nesse momento?
Provas
Em uma UBS, os agentes comunitários de saúde programaram uma reunião com a comunidade a fim de divulgar meios de prevenção primária do câncer de mama. São consideradas ações com esse objetivo, EXCETO:
Provas
Paciente, 65 anos, com diagnóstico de carcinoma ductal in situ; RE+; RP+; e, Her 2+. Realizou-se cirurgia; QT e RT adjuvantes. Após o tratamento completo, foi indicado o uso de hormonioterapia. Sobre a estratégia adotada para a paciente, assinale a afirmativa INCORRETA.
Provas
Considerando que a utilização de drenos em cirurgias na mama é restrita a algumas cirurgias, não sendo amplamente empregado em ressecções pequenas, por exemplo, assinale a afirmativa correta.
Provas
A cirurgia mais realizada para o tratamento do câncer de mama no início dos estudos sobre o tema era a mastectomia. Atualmente, é reservada para casos em que não é possível fazer uma cirurgia conservadora. Assinale, a seguir, um caso no qual a mastectomia é indicada.
Provas
Em dezembro de 2012, foi publicado um artigo com as recomendações do Colégio Brasileiro de Radiologia e Diagnóstico por Imagem (CBR), da Sociedade Brasileira de Mastologia (SBM) e da Federação Brasileira das Associações de Ginecologia e Obstetrícia (Febrasgo) para o rastreamento do câncer de mama por métodos de imagem. Segundo tal documento, o rastreamento do câncer de mama em mulheres acima de 70 anos:
Provas
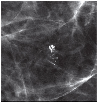
Paciente, 61 anos, assintomática, mamografia de dois anos anteriores sem alterações. Último exame evidenciou lesão mamográfica a seguir:

De acordo com o exposto, assinale a conduta correta para o caso.
Provas
São consideradas condições favoráveis para a realização de QT neoadjuvante, EXCETO:
Provas
Caderno Container