Foram encontradas 2.033 questões.
Durante uma cirurgia para estadiamento de câncer de mama, optou-se por linfadenectomia de cadeias linfonodais I de Berg.

Nessa imagem, qual o número corresponde aos linfonodos classificados como I de Berg? Qual a sua definição?
Provas
Paciente, 38 anos, com diagnóstico de carcinoma ductal in situ, medindo 0,6 mm; RH neg; HER 2 neg; e, linfonodos positivos (confirmados por PAAF). Refere histórico familiar positivo para câncer de mama; a mãe da paciente apresentou a neoplasia aos 35 anos e a tia aos 40 anos. Sobre o caso hipotético, assinale a afirmativa INCORRETA.
Provas
Considerando a técnica da colonoscopia, bem como a anatomia endoscópica, assinale a afirmativa correta.
Provas
“Mulher, 54 anos, durante realização de teste ergométrico referiu a presença de dor torácica em aperto após atingir 3 METS, sendo interrompido o exame.”
Qual o tempo de contraindicação para a realização de teste ergométrico para pacientes agudamente acometidos com IAM Killip I, pericardite e miocardite, respectivamente?
Provas
“Homem, 66 anos, 54 Kg, com diagnóstico de hipertensão e AVC isquêmico prévio, em uso crônico de AAS e Enalapril 10 mg 2xd; refere início há duas horas de dor torácica em aperto, precordial, com irradiação para membro superior esquerdo, quando estava caminhando. Refere, ainda, episódio semelhante há doze horas, da mesma intensidade, que melhorou após o repouso. Realizou o eletrocardiograma apresentado a seguir. Após realização de isordil sublingual, o paciente apresentou melhora da dor e marcadores de necrose miocárdica vieram negativos, mesmo após nova dosagem.”

Em relação ao tratamento, assinale a afirmativa INCORRETA.
Provas
Sobre os fármacos utilizados em anestesiologia nos pacientes obesos, assinale o peso corporal total do paciente em detrimento da correção pelo peso corporal magro.
Provas
Sobre a farmacologia comparativa dos corticoides, assinale a afirmativa correta.
Provas
Sobre os Sintomas Neurológicos Transitórios (SNTs) após anestesia raquidiana, assinale a afirmativa INCORRETA.
Provas
“Mulher, 43 anos, refere início de dor, edema e rubor em articulação do punho e metacarpofalangeanas, bilateral e simétrico. Ao exame físico, foi detectada a seguinte alteração:”

São considerados critérios de mau prognóstico da doença, EXCETO:
Provas
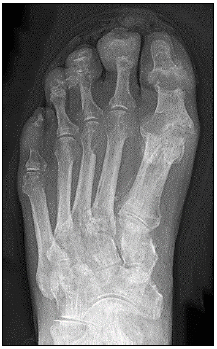
“Homem, 43 anos, refere dor, edema e calor em região das articulações dos dedos e mãos à direita, associadas à dor em região do hálux esquerdo, desencadeada após ingestão alcoólica. Realizou a radiografia, conforme a imagem a seguir.”

Qual o tratamento mais recomendado nesse caso?
Provas
Caderno Container