Foram encontradas 800 questões.
Mulher de 32 anos apresenta história de fadiga há três meses e tontura desde há duas semanas. O exame físico apresenta palidez cutânea e mucosa, sem outros achados relevantes.
O hemograma completo apresentou: hemoglobina = 7,9g/dL; leucócitos = 8.600/mm3; plaquetas = 450.000/mm3; volume corpuscular médio (VCM) = 69fl.
Dos itens a seguir, o que apresenta melhor conduta para correção desse quadro é
Provas
Com relação ao ecocardiograma transesofágico, analise as afirmações a seguir:
I. O Ecocardiograma transesofágico está contra-indicado na hemorragia digestiva alta em atividade.
II. A acurácia para visualização de trombos apicais é melhor pelo transesofágico que pelo transtorácico.
III. O Ecocardiograma transesofágico consegue visualizar toda a extensão da aorta ascendente inclusive junto a croça.
Está correto o que se afirma em
Provas
Considerando uma paciente de 87 anos, portadora de hipertensão arterial sistêmica, admitida com dor torácica e dispneia aos pequenos esforços. Ao exame: PA = 110 x 80 mmHg e FC = 72 bpm, nota-se sopro sistólico em foco aórtico 3+/6+, mesosistólico e A2 reduzido. ECG com ritmo de FA e sobrecarga ventricular esquerda. Ecocardiograma com cúspides espessadas e restrição na abertura.
Analise as imagens e dados abaixo:
- Superfície corporal = 1,9 m2;
- FE 2D = 56%;
- Septo = 14 mm;
- Parede posterior = 13 mm;
- PSAP = 40 mmHg;
- Volume AE = 54 ml/m2;
- VSVE = 2,2 cm;
- IM moderada e IAo leve;
- Gradiente VE/Ao máximo = 39 mmHg e médio = 25 mmHg;
- VTI VSVE = 13 cm, VTI AO = 75 cm.

Com base nesses dados e imagens, é correto afirmar que trata-se de estenose
Provas
Paciente de 68 anos, masculino, em tratamento irregular para hipertensão arterial, foi levado ao serviço de emergência com história de dispneia de início súbito acompanhada de palpitações e tosse com expectoração rósea. No exame físico foi observada cianose de extremidades, agitação e desorientação. A pressão arterial era de 190/125 mmHg, frequência cardíaca de 136 bpm, frequência respiratória de 40 irpm e ausculta com crepitações por todo o tórax.
A melhor conduta inicial para esse paciente inclui
Provas
Homem de 56 anos em tratamento para hipertensão arterial desenvolve quadro clínico agudo de aumento do volume da língua e edema labial. A pressão arterial se encontra em 130/85 mmHg e a ausculta respiratória é normal.
Identifique o grupo de agentes anti-hipertensivos, dentre os citados a seguir, que apresenta associação mais frequente com esse efeito adverso.
Provas
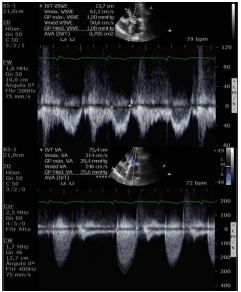
Considere um paciente de 45 anos, portador de prótese mitral biológica há 3 anos, sob anticoagulação com dispneia aos pequenos esforços. Durante o exame permaneceu com PA = 110 x 80 mmHg, em ritmo sinusal e FC = 75 bpm. Volume AE = 53 ml/m2. Área efetiva protética = 0,63 cm2/m2. Pressão sistólica da artéria pulmonar = 35 mmHg. Vmáx mitral = 2,48 m/s. VTI mitral = 78 cm, VTI VSVE = 21 cm. Gradiente AE/VE médio = 12 mmHg. PHT = 178 mseg.
AS imagens a seguir também são do paciente em tela.

Com base nos dados e traçados demonstrados nessas imagens, assinale a alternativa que apresenta a hipótese diagnóstica mais provável.
Provas
Homem de 32 anos apresenta episódio súbito de cefaleia intensa e evolui com redução do nível de consciência em poucas horas. No exame físico apresenta sinais de irritação meníngea e paralisia do terceiro par craniano à esquerda com midríase e perda do reflexo fotomotor ipsolateral.
O médico que o atende solicita tomografia computadorizada do crânio na suspeita clínica de se tratar de hemorragia subaracnóidea a partir da artéria
Provas
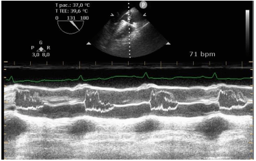
Marque a alternativa que apresenta o artefato representado na imagem abaixo (seta).

Provas
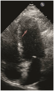
Identifique a condição patológica evidenciada na figura a seguir.

Provas
É um fator que causa aumento da proteína ligadora de hormônios sexuais (SHBG):
Provas
Caderno Container