Foram encontradas 1.730 questões.

A figura apresentada ilustra, em um plano horizontal, a seguinte situação hipotética: uma plataforma de extração de petróleo localizada no ponto A, no mar, é ligada por um oleoduto a uma refinaria, localizada no ponto C, em terra; a parte marítima do oleoduto (segmento AB) tem custo de R$ 500.000 por quilômetro e a parte terrestre (segmento BC), R$ 300.000 por quilômetro. Na figura, todos os pontos estão localizados no nível do mar e x indica um ponto qualquer no segmento PC.
Com referência às informações apresentadas, julgue o seguinte item.
Se a distância entre P e B for especificada como y, então o preço total, P(y), em centenas de milhares de reais, do oleoduto será dado, em função de y, por !$ P(y) = 5 \sqrt{16 + y^2)} + 3 ( 6 - y) !$.
Provas
Acerca dos métodos de perfilagem de poço e dos métodos potenciais e sísmicos de exploração de petróleo, julgue o item que se segue.
Os gravímetros devem ter uma precisão de medida da ordem de 10-6 gal.
Provas
Acerca dos métodos de perfilagem de poço e dos métodos potenciais e sísmicos de exploração de petróleo, julgue o item que se segue.
Considerando-se uma velocidade de propagação de ondas sísmicas nas rochas de 3.000 m/s e um levantamento magnetométrico com alcance de 9.000 m de profundidade, o tempo de registro do geofone deve ser de 3 s.
Provas
No que se refere aos sistemas petrolíferos que envolvem geração, armazenamento, selo e trapeamento, julgue o item abaixo.
Sinclinais associados a falhas reversas ou normais constituem o tipo de trapa estrutural mais comum.
Provas
Acerca das bacias sedimentares da margem continental brasileira e de suas principais feições tectônicas, julgue o item a seguir.
As bacias sedimentares da margem equatorial brasileira caracterizam-se pela presença de falhas do tipo en echelon.
Provas
Acerca das bacias sedimentares da margem continental brasileira e de suas principais feições tectônicas, julgue o item a seguir.
No início do Terciário, a crosta continental da plataforma sul-americana voltou a sofrer processos distensionais.
Provas
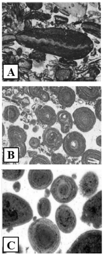
A análise do tipo de grãos é essencial no estudo de sistemas deposicionais. Nas figuras seguintes, são mostrados três tipos de grãos comumente encontrados em rochas carbonáticas.

Internet: <www.maxwell.vrac.puc-rio.br>.
Com relação a essas figuras, julgue o item seguinte.
A figura C corresponde a intraclastos.
Provas
A análise do tipo de grãos é essencial no estudo de sistemas deposicionais. Nas figuras seguintes, são mostrados três tipos de grãos comumente encontrados em rochas carbonáticas.

Internet: <www.maxwell.vrac.puc-rio.br>.
Com relação a essas figuras, julgue o item seguinte.
A figura A corresponde a oólitos.
Provas
Com relação aos depósitos e rochas evaporíticas, siliciclásticas e carbonáticas, julgue o item abaixo.
Os conglomerados e os arenitos pertencem ao grupo de rochas detríticas terrígenas denominadas pelitos e ruditos, respectivamente.
Provas
Com relação aos depósitos e rochas evaporíticas, siliciclásticas e carbonáticas, julgue o item abaixo.
Rochas siliciclásticas como arenito, folhelho e chert são formadas a partir de cimentação de fragmentos de rochas e minerais transportados.
Provas
Caderno Container