Foram encontradas 1.703 questões.
Assinale a alternativa que contempla corretamente o tratamento quimioterápico indicado para tumores gliais grau IV (Classificação de acordo com a OMS).
Provas
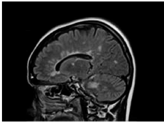
Mulher, 23 anos, comparece ao seu consultório com história de parestesias em pés e mãos de início há 6 semanas. O quadro progrediu para sensação parestésica até abdome; durou cerca de uma semana com resolução completa. Há duas semanas, voltou a apresentar parestesias em hemiface direita, com resolução completa em dois dias. Traz a seguinte ressonância de crânio.

(https://i.pinimg.com/originals/27/0c/2b/ 270c2be6d85237c47335a21bb05def0e.jpg)
Assinale a alternativa correta quanto à conduta inicial para essa paciente.
Provas
Paciente de 68 anos, em acompanhamento por doença de Parkinson há 10 anos, em uso atualmente de levodopa, na dose de 250 mg, três vezes ao dia; pramipexol, na dose de 1 mg, três vezes ao dia; e amantadina, na dose de 100 mg, duas vezes ao dia. Nesta consulta, passou a queixar-se de rigidez e piora dos sintomas antes da próxima dose do medicamento. Qual a melhor conduta na presença deste fenômeno de wearing-off?
Provas
Mulher, 22 anos, iniciou quadro de dor no lado direito da face, de forte intensidade em pontadas e de início súbito, há cerca de dois dias. A dor tem ocorrido em paroxismos nesse período com melhora espontânea e sem resposta ao uso de analgésicos comuns. No caso dessa paciente, o diagnóstico de neuralgia do trigêmeo deve ser investigado em associação com uma lesão causal. Assinale a alternativa que apresenta a patologia mais provável.
Provas
A presença de contrações musculares involuntárias bruscas, semelhantes à reação muscular em um choque elétrico, refere-se a um dos transtornos do movimento a seguir. Assinale a alternativa correta.
Provas
O padrão eletroencefalográfico descrito como “descargas bilaterais e síncronas de complexos de polispícula-onda com frequência de 3 a 6 Hz” são característicos de qual síndrome?
Provas
Paciente de 64 anos, comparece ao consultório acompanhado da família que refere início de alteração de comportamento caracterizado por episódios de agressividade para com os familiares e ideias delirantes há aproximadamente 3 meses. Além disso, o mesmo passou a apresentar quedas frequentes da própria altura. Possui antecedente de hipertensão arterial e diabetes e esteve internado há 4 meses atrás por um “pequeno” acidente vascular cerebral, de acordo com a família. Exame físico geral sem alterações. Exame neurológico apresentando marcha atáxica com restante normal. Mini-Mental 22. Escore de Hachinski 12.
Assinale a alternativa correta quanto ao diagnóstico desse paciente e à conduta.
Provas
Paciente masculino, 29 anos, é trazido pelo SAMU, com história de acidente automobilístico com colisão entre carro e moto. Na admissão apresentava abertura ocular aos estímulos verbais, resposta verbal com palavras inadequadas e resposta motora em retirada nos 4 membros. Assinale a alternativa correta referente à escala de coma de Glasgow (ECG) e a melhor sequência de conduta inicial para esse quadro.
Provas
Assinale a alternativa que contempla corretamente o tipo de sensibilidade afetada pelo comprometimento de fibras finas (A-delta e C).
Provas
A definição – “Capacidade de adaptação cerebral aos aumentos da PIC” – refere-se a qual dos termos a seguir?
Provas
Caderno Container