Foram encontradas 1.703 questões.
Mulher de 58 anos, submetida a tratamento cirúrgico (Wherteim Meigs) para carcinoma escamoso cervical invasor estágio IB1 há 13 anos. A citologia evidenciou HSIL (NIC de alto grau) e ela foi encaminhada à colposcopia, a qual demonstrou pequena área acetobranca densa e teste de Schiller negativo em fundo de saco. A biópsia dirigida diagnosticou NIVA 3 (neoplasia intraepitelial vaginal grau 3). Assinale o tratamento mais indicado para a paciente.
Provas
A.N.V., 41 anos, peso 60 kg, GV PIII 3N AI, com diagnóstico de câncer de mama na atual gestação. Já submetida a tratamento cirúrgico, em tratamento com quimioterapia, sendo o último ciclo há 4 meses. Sem sinais de metástase hepática ou cerebral, dá entrada no hospital com 38 semanas de gestação, em trabalho de parto franco. Evoluiu para parto vaginal, com nascimento de RN peso 3 000 kg, Apgar 9/10. Assinale a melhor conduta para o pós-parto dessa paciente.
Provas
O entendimento da estrutura e do funcionamento do tecido do assoalho pélvico em mulheres com e sem prolapso pode proporcionar uma maior compreensão da interação dos múltiplos sistemas que estão envolvidos nessa condição. A principal estrutura musculoesquelética relacionada à sustentação do assoalho pélvico, cuja falência está relacionada ao desenvolvimento do POP (prolapso de órgãos pélvicos), é o músculo
Provas
M.B.V., 63 anos, casada, sem queixas relacionadas à menopausa, encaminhada pelo clínico para a interrupção da terapia hormonal que usa há cerca de 11 anos. Histerectomizada. Menopausa aos 52 anos, apresentou, por 1 ano, fogachos, distúrbio do sono e do humor, ressecamento vaginal e diminuição de libido. Recebeu estrogênio conjugado via oral com alívio total dos sintomas. Após 1 ano: terapia suspensa pelo ginecologista. Fogachos e piora do sono retornaram. No quinto mês após a suspensão, a terapia hormonal foi reintroduzida, com alívio completo do quadro. Dois anos após, a terapia oral foi substituída pela terapia transdérmica. Paciente é hipertensa, controlada com medicação. IMC: 30 kg/m2. Exames laboratoriais sem alterações.
Em relação a esse caso, assinale a alternativa correta.
Provas
R.C.A., 26 anos, GII PI 1N A0, IG 36 semanas e 2 dias, com diagnóstico na gestação de carcinoma de células escamosas, invasivo, limitado ao colo uterino, com invasão profunda de 8 mm e com 4,5 cm na maior dimensão. O estadiamento clínico da doença, de acordo com a Federação Internacional de Ginecologia e Obstetrícia (FIGO) e o melhor tratamento, dentre os citados, são:
Provas
Mulher 31 anos, nuligesta, casada, veio ao consultório ginecológico, pois pretende engravidar, porém, refere estar em amenorreia há cerca de 6 meses. Antes, ciclos menstruais irregulares. Suspendeu método anticoncepcional oral há 1 ano. Desde a interrupção da menstruação, apresenta fogachos, queda de cabelo, sensação de cansaço, associados a ressecamento vaginal. Menarca: 12 anos; primeira relação sexual aos 18 anos. Nega cirurgias ginecológicas prévias. Nega tabagismo. Exames laboratoriais: FSH 80; LH 50; estradiol 10, cariótipo normal; densitometria óssea com T-score: L1 – L4: –2,1, colo do fêmur: –1,5.
Conforme o resultado da densitometria óssea da paciente do caso clínico, é possível afirmar que ela apresenta
Provas
M.F.A.F, 25 anos, IG usg: 10 semanas, teve como medida de glicemia de jejum solicitada em primeira consulta de pré-natal de 93 mg/dL. Segundo a orientação do consenso da International Association of the Diabetes and Pregnancy Study Groups (IADPSG), adotado pela OMS, assinale a conduta mais adequada para o momento em que a gestação se encontra.
Provas
M.N.B., 16 anos, GII PI1C AI, puérpera no terceiro dia pós-parto, sem comorbidades, deseja um método anticoncepcional. Segundo os critérios de elegibilidade médica da OMS, para o uso de métodos anticoncepcionais, assinale a alternativa correta no intuito de propor um método adequado para essa paciente.
Provas
O diagnóstico de puberdade precoce é essencialmente clínico. O desenvolvimento mamário é o principal sinal inicial nas meninas. A idade que é o ponto de corte para a puberdade precoce, nessas pacientes, é
Provas
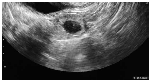
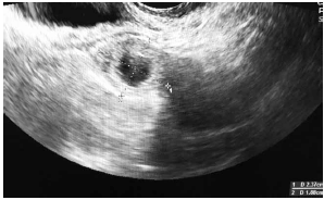
C.V.R.S., 36 anos, G VII P VI (6N) A0, IG cr: 6 semanas,deu entrada no PSGO com sangramento vaginal há cerca de 1 semana. Sem ultrassom prévio. Ao exame físico: especular: colo uterino sem lesões, mínima quantidade de sangue vermelho escuro em fórnice posterior. TV (toque vaginal) bimanual: colo impérvio, grosso, posterior. Ausência de dor à mobilização do colo uterino. Abdome: DB negativo, dor leve à palpação profunda de hipogástrio. Submetida à ultrassonografia transvaginal (imagens a seguir: figuras 1, 2, 3, 4) e beta HCG quantitativo: 9 000 UI/mL. Resultado de beta HCG 24h antes: 7 000 UI/mL.

Figura 1 (útero; EE 5 mm)

Figura 2 (região anexial E; ovário E sem alterações)

Figura 3 (zoom de região anexial E; sem visualização de embrião)

Figura 4 (zoom de região anexial E; sem visualização de embrião)
O diagnóstico e a conduta adequada são:
Provas
Caderno Container