Foram encontradas 2.663 questões.
Com relação aos problemas que afetam o recém-nascido de alto risco, julgue os itens de 64 a 76.
Considere que após a estabilização de um prematuro pesando 1.000 g, no terceiro dia de vida, o intensivista neonatal decida iniciar dieta enteral. Nesse caso, deverá fazê-lo por sonda orogástrica, com leite cru da própria mãe, no volume de 60 mL/kg/dia, fracionando o volume total a cada 3 horas.
Provas
Acerca da fisiopatologia, da epidemiologia, do diagnóstico e da terapêutica dos problemas que afetam o recém-nascido de alto risco, julgue os itens de 51 a 63.
Diminuição da quimiotaxia e fagocitose dos neutrófilos, diminuição do complemento sérico, redução da capacidade de opsonização e hipogamaglobulinemia são características imunológicas que podem favorecer o desenvolvimento de infecções bacterianas em um neonato prematuro extremo.
Provas
Acerca da fisiopatologia, da epidemiologia, do diagnóstico e da terapêutica dos problemas que afetam o recém-nascido de alto risco, julgue os itens de 51 a 63.
Considere um recém-nascido prematuro com 12 horas de vida, apresentando dificuldade respiratória, cuja radiografia do tórax mostra infiltrado reticulogranular difuso, com broncograma aéreo ultrapassando limites cardíacos. Nesse caso, doença da membrana hialina, pneumonia por estreptococos betahemolítico do grupo B e hemorragia pulmonar são algumas patologias que devem ser consideradas no diagnóstico diferencial.
Provas
Acerca da fisiopatologia, da epidemiologia, do diagnóstico e da terapêutica dos problemas que afetam o recém-nascido de alto risco, julgue os itens de 51 a 63.
Uma gestante com 23 semanas gestacionais, em trabalho de parto prematuro inevitável, que recebe 24 mg de betametasona, por via intramuscular, 24 horas antes do parto, apresenta menor risco de desenvolver doença da membrana hialina grave.
Provas
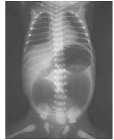
Acerca da fisiopatologia, da epidemiologia, do diagnóstico e da terapêutica dos problemas que afetam o recém-nascido de alto risco, julgue os itens de 51 a 63.
Considere que um neonato de 24 horas de vida apresenta vômitos biliosos. Considere ainda que a radiografia simples do tórax e abdome desse paciente tem o aspecto mostrado abaixo. Nesse caso, o diagnóstico mais provável é atresia duodenal.

Provas
Acerca da fisiopatologia, da epidemiologia, do diagnóstico e da terapêutica dos problemas que afetam o recém-nascido de alto risco, julgue os itens de 51 a 63.
A conduta preconizada para a assistência emergencial a um neonato com diagnóstico de gastrosquise consiste em: reanimação do recém-nascido com intubação orotraqueal; descompressão do estômago e das alças intestinais com sonda orogástrica de grosso calibre; envolvimento das alças intestinais com compressa úmida aquecida e filme plástico; e estabelecimento de acesso venoso para repor perdas.
Provas
Acerca da fisiopatologia, da epidemiologia, do diagnóstico e da terapêutica dos problemas que afetam o recém-nascido de alto risco, julgue os itens de 51 a 63.
Considere um prematuro, com 34 semanas de idade gestacional corrigida, que no 10.º dia de vida pesa 1.400 g, encontra-se estável e alimenta-se por via oral no copo e no seio materno. Nessa situação, como o peso é inferior a 1.500 g, está contraindicada sua ida para o alojamento conjunto, para a segunda etapa do método canguru, face ao risco de aspiração e morte súbita.
Provas
Acerca da fisiopatologia, da epidemiologia, do diagnóstico e da terapêutica dos problemas que afetam o recém-nascido de alto risco, julgue os itens de 51 a 63.
Considere um neonato de 40 semanas gestacionais, nascido de parto vaginal, pesando 2.500 g e com exame físico normal. Sua mãe é multípara, amamentou todos os filhos anteriores durante seis meses e apresenta mamas secretoras. Nessa situação, no manejo clínico do primeiro dia de vida, o recém-nascido deverá receber alimentação complementar com leite do banco ou ordenhado da própria mãe e ter a glicemia capilar monitorada.
Provas
Acerca da fisiopatologia, da epidemiologia, do diagnóstico e da terapêutica dos problemas que afetam o recém-nascido de alto risco, julgue os itens de 51 a 63.
Considere que, imediatamente após nascer envolto em líquido amniótico claro, um neonato de termo respire regularmente, tenha sua frequência cardíaca em 140 bpm e na sequência do atendimento ele apresente cianose de extremidades. Nessa situação, conforme a norma de reanimação da sociedade brasileira de pediatria, o médico deve administrar ao recémnascido 5 litros por minuto de oxigênio a 40%, por via inalatória.
Provas
Acerca da fisiopatologia, da epidemiologia, do diagnóstico e da terapêutica dos problemas que afetam o recém-nascido de alto risco, julgue os itens de 51 a 63.
Um recém-nascido de termo pequeno para a idade gestacional tem morbidade e mortalidade maior do que um prematuro adequado para a idade gestacional.
Provas
Caderno Container