Foram encontradas 2.663 questões.
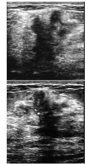
Uma paciente de 32 anos de idade procurou um médico ginecologista por ter palpado nódulo na mama direita. Ao exame das mamas, foi percebido nódulo endurecido, fixo aos planos adjacentes, com cerca de 3 cm de diâmetro. Foi realizada, então, mamografia, que revelou presença de lesão espiculada, com limites imprecisos, retração do parênquima adjacente e microcalcificações pleomórficas agrupadas. O exame ultrassonográfico evidenciou a lesão representada na forma gráfica na figura abaixo.

A respeito dessa situação hipotética, julgue os itens de 75 a 80.
O estudo histopatológico está sempre indicado para a categoria IV, segundo proposta do BI-RADS ultrassonográfico.
Provas
Uma paciente de 32 anos de idade procurou um médico ginecologista por ter palpado nódulo na mama direita. Ao exame das mamas, foi percebido nódulo endurecido, fixo aos planos adjacentes, com cerca de 3 cm de diâmetro. Foi realizada, então, mamografia, que revelou presença de lesão espiculada, com limites imprecisos, retração do parênquima adjacente e microcalcificações pleomórficas agrupadas. O exame ultrassonográfico evidenciou a lesão representada na forma gráfica na figura abaixo.

A respeito dessa situação hipotética, julgue os itens de 75 a 80.
Segundo a classificação do BI-RADS ultrassonográfico, essa imagem poderia ser enquadrada na categoria IV-b.
Provas
No que se refere às patologias uterinas, julgue os itens seguintes.
A identificação pela ultrassonografia de nódulos miometriais hiperecogênicos de contornos regulares e limites precisos, que não apresentam vascularização ao mapeamento com Doppler colorido, em mulheres na quinta e sexta décadas de vida, tem como principal hipótese diagnóstica os miomas uterinos.
Provas
No que se refere às patologias uterinas, julgue os itens seguintes.
Nódulos miometriais hipoecogênicos que apresentam crescimento rápido em ultrassonografia de controle devem ser investigados, pois o risco de miomas apresentarem degeneração maligna é de 2% a 4%.
Provas
No que se refere às patologias uterinas, julgue os itens seguintes.
A ultrassonografia transvaginal tem alta sensibilidade e especificidade no diagnóstico da adenomiose, especialmente em sua forma clássica. Todavia, o melhor método de imagem para seu diagnóstico é a ressonância nuclear magnética.
Provas
No que se refere às patologias uterinas, julgue os itens seguintes.
Mulheres na quinta década de vida, com história de infertilidade secundária e que apresentam, em exame ecográfico, miométrio com textura heterogênea, com áreas císticas de permeio e aumento do volume uterino, correm maior risco de serem acometidas pela adenomiose.
Provas
Considere que tenha sido evidenciada, em exame ecográfico de rotina de uma mulher de 60 anos de idade, lesão hiperecogênica, de contornos regulares e limites precisos, localizada acima da fáscia mamária anterior e abaixo da pele, medindo 35 mm × 17 mm. Considere, ainda, que a lesão não apresentava sombra ou reforço acústico posterior. Com relação a essas informações, julgue os itens que se seguem.
A zona mamária é o principal local de surgimento das patologias mamárias malignas.
Provas
Considere que tenha sido evidenciada, em exame ecográfico de rotina de uma mulher de 60 anos de idade, lesão hiperecogênica, de contornos regulares e limites precisos, localizada acima da fáscia mamária anterior e abaixo da pele, medindo 35 mm × 17 mm. Considere, ainda, que a lesão não apresentava sombra ou reforço acústico posterior. Com relação a essas informações, julgue os itens que se seguem.
A hipótese diagnóstica, nesse caso, é de lipoma, pois a zona pré-mamária está localizada abaixo da pele e anterior à zona mamária, e é composta por tecido adiposo, vasos e ligamentos de Cooper, não contendo elementos do parênquima mamário.
Provas
Uma mulher de 51anos de idade, na menopausa há 5 anos, sem uso de reposição hormonal, apresentou nódulo de crescimento rápido na mama. Foi realizado exame ultrassonográfico da mama que identificou lesão sólida, de contornos regulares e limites precisos, com textura discretamente hipoecogênica e áreas císticas em seu interior, circundada por fina cápsula ecogênica, com reforço acústico posterior medindo 105 mm × 45 mm.
Com base nesse caso clínico, julgue os itens subsequentes.
Segundo a classificação BI-RADS ultrassonográfico, a paciente se enquadra na categoria 3 e tem de ser reavaliada em um período curto, de 3 a 6 meses.
Provas
Uma mulher de 51anos de idade, na menopausa há 5 anos, sem uso de reposição hormonal, apresentou nódulo de crescimento rápido na mama. Foi realizado exame ultrassonográfico da mama que identificou lesão sólida, de contornos regulares e limites precisos, com textura discretamente hipoecogênica e áreas císticas em seu interior, circundada por fina cápsula ecogênica, com reforço acústico posterior medindo 105 mm × 45 mm.
Com base nesse caso clínico, julgue os itens subsequentes.
A principal hipótese diagnóstica, nesse caso, é fibroadenoma mamário, que é a patologia sólida mamária mais comum.
Provas
Caderno Container