Foram encontradas 760 questões.
Análise as três afirmativas apresentadas sobre as craniossinostoses.
I. A escafocefalia é o tipo mais comum e 80% dos afetados são do sexo masculino.
II. As síndromes de Crouzon e Apert se caracterizam pela presença de braquicefalia associada a outras malformações da face como hipoplasia maxilar, órbitas rasas e proptose.
III. O tratamento cirúrgico da escafocefalia por meio de suturectomia deve ser feito preferencialmente dos 6 aos 18 meses de vida.
Após sua análise, estão CORRETAS as afirmativas
Provas
Assinale a alternativa INCORRETA sobre os tumores ósseos.
Provas
Abaixo são apresentadas três afirmativas sobre as lesões do plexo braquial.
I. A paralisia de Klumpke se caracteriza por fraqueza principalmente da musculatura intrínseca da mão.
II. A paralisia de Duchene-Erb é decorrente da lesão da porção superior do plexo braquial e se manifesta via rotação interna do braço, extensão do antebraço e flexão do punho.
III. Lesões por tração raramente apresentam recuperação espontânea devendo ser abordadas cirurgicamente em até 3 meses.
Sobre a veracidade dessas afirmativas, estão CORRETAS
Provas
Sobre o diagnóstico evidenciado na ressonância abaixo são feitas três afirmativas.

I. L4-L5 é o nível mais frequentemente acometido por essa patologia.
II. O subtipo ístmico ocorre devido a defeitos nas pars interarticulares, sejam eles fraturas agudas ou crônicas, resultantes de traumas repetitivos.
III. Cirurgia está indicada para os casos em que há mielopatia, radiculopatia ou claudicação neurogênica. Contudo, tratamento conservador pode ser adequado para os casos em que não há bordas escleróticas, mas há sinais de atividade inflamatória nos exames de imagem.
Sobre a veracidade dessas afirmativas, estão CORRETAS
Provas
No que se refere à histologia e ao tratamento dos tumores do sistema nervoso central, assinale a alternativa INCORRETA.
Provas
Abaixo são apresentadas três afirmativas sobre malformações do sistema nervoso central.
I. A esquizencefalia está frequentemente associada à ausência de septo pelúcido e pode se manifestar como crises epilépticas e/ou hemiparesia.
II. A lisencefalia é a forma mais severa de defeito da migração neuronal; ocorre na fase fetal, determinando crianças com atraso grave no desenvolvimento e que normalmente não sobrevivem além dos dois anos de idade.
III. O EEG é um dos melhores meios de diferenciar hidranencefalia de hidrocefalia extrema.
Sobre a veracidade estão CORRETAS as afirmativas
Provas
Analise as três afirmativas abaixo sobre distúrbios hidroeletrolíticos em pacientes neurocirúrgicos.
I. No pós-operatório de hipofisectomia transesfenoidal, a forma de apresentação mais comum do diabetes insípidus é a alteração trifásica nos níveis de sódio.
II. Hiponatremia nos pacientes com hemorragia subaracnóidea é habitualmente provocada pela secreção inapropriada de ADH (SIADH), estando indicada, nesses casos, redução hídrica moderada.
III. Infecções do sistema nervoso central, traumatismos cranioencefálicos, hidrocefalia, hipertensão intracraniana e drogas (carbamazepina, antidepressivos e antipsicóticos) são causas importantes de SIADH.
Sobre a veracidade dessas afirmativas, estão CORRETAS
Provas
No que se refere aos traumatismos raquimedulares e síndromes medulares associadas, todas as afirmativas abaixo são verdadeiras, EXCETO:
Provas
Sobre as malformações arteriovenosas, é correto afirmar, EXCETO:
Provas
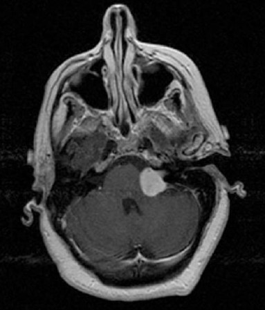
As seguintes afirmações são verdadeiras sobre o diagnóstico mais provável representado na figura abaixo, EXCETO:

Provas
Caderno Container