Magna Concursos

Foram encontradas 440 questões.

3774277 Ano: 2024
Disciplina: Veterinária
Banca: IF-MG
Orgão: IF-MG
A ocitocina desempenha um papel importante na lactogênese e na reprodução. É liberada no momento da ordenha, pelo barulho da mesma, pelo contato do bezerro com a mãe, ou ainda por outros estímulos. Sobre a ocitocina, assinale a alternativa INCORRETA.
 

Provas

Questão presente nas seguintes provas
3774276 Ano: 2024
Disciplina: Veterinária
Banca: IF-MG
Orgão: IF-MG
Sobre a glândula mamária, todas as alternativas abaixo estão corretas, EXCETO:
 

Provas

Questão presente nas seguintes provas
3774275 Ano: 2024
Disciplina: Veterinária
Banca: IF-MG
Orgão: IF-MG
As marrãs e/ou porcas são poliéstricas anuais e atingem a puberdade entre os 4 e 7 meses de vida, com queda do desempenho reprodutivo aos 4 anos e meio. Para a produção de maior número de leitões durante a vida reprodutiva é fundamental a detecção do estro das fêmeas, para a otimização do ciclo estral. Sobre o estro da espécie suína, assinale a alternativa correta.
 

Provas

Questão presente nas seguintes provas
3774274 Ano: 2024
Disciplina: Veterinária
Banca: IF-MG
Orgão: IF-MG
As glândulas sexuais acessórias produzem secreções que compõem o sêmen, fornecendo veículo líquido aos espermatozoides. Há variações da quantidade e tamanho de glândulas sexuais acessórias entre as espécies domésticas. Assinale a alternativa correta.
 

Provas

Questão presente nas seguintes provas

Considerando as projeções radiográficas mais indicadas para a avaliação da Síndrome Podotroclear em equinos, qual das alternativas abaixo descreve CORRETAMENTE as projeções que devem ser utilizadas?

 

Provas

Questão presente nas seguintes provas

O exame endoscópico auxilia no diagnóstico e classificação das afecções das vias aéreas dos equinos. Considerando esse contexto, observe a imagem abaixo e assinale o enunciado CORRETO que indica a doença apresentada no exame endoscópico.

Enunciado 4583265-1

FONTE: https://vethospital.tamu.edu/large-animal/ … Data de acesso: 13/12/2023 (Adaptada).

 

Provas

Questão presente nas seguintes provas

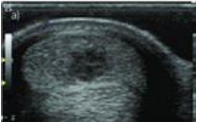
O exame ultrassonográfico dos tendões e ligamentos dos equinos é importante na identificação de lesões e na avaliação da efetividade do tratamento. Observe a imagem abaixo e assinale o enunciado CORRETO que se refere à estrutura anatômica acometida e o diagnóstico.

Enunciado 4583264-1

Fonte: Alzola, R. et al. Ultrasonographic-based predictive factors…. Equine Veterinary Journal. 50. 10.1111/evj.12810.

 

Provas

Questão presente nas seguintes provas
Os grandes animais são acometidos frequentemente por doenças que acometem a pele, são causadoras de desconforto e podem desencadear alterações sistêmicas importantes. Assinale o enunciado INCORRETO:
 

Provas

Questão presente nas seguintes provas
A Pitiose Equina é uma importante doença do sistema tegumentar que acomete os equinos com acesso a regiões alagadas. Várias opções de tratamento estão disponíveis e o sucesso é dependente de vários fatores. Quanto às formas de tratamento é CORRETO afirmar:
 

Provas

Questão presente nas seguintes provas
A Mieloencefalite Protozoária Equina é considerada uma das mais importantes doenças do sistema nervoso dos equinos, necessitando a atenção do médico veterinário quanto aos sinais clínicos e aos meios para concluir o diagnóstico. Sobre esta doença é CORRETO afirmar:
 

Provas

Questão presente nas seguintes provas