Foram encontradas 453 questões.
Um paciente com 15 anos de idade compareceu a uma consulta com queixa de protrusão do globo ocular direito. Ao exame locorregional, observa-se exoftalmia com movimentação ocular extrínseca preservada. No exame físico geral, notam-se nódulos subcutâneos disseminados pelo corpo e manchas de coloração amarronzada, semelhante à cor de café com leite. Considerando esse caso clínico, assinale a alternativa que apresenta a hipótese diagnóstica.
Provas
Uma paciente de 40 anos de idade, com dois filhos (um de 21 anos de idade e outro de 15 anos de idade), sem patologias de base, tabagista (14 cigarros-dia), procurou um médico de família por estar preocupada em evitar gravidez, pois iniciou relacionamento conjugal há poucos meses.
Nesse caso clínico, quanto ao método anticoncepcional mais adequado para essa paciente, indica-se
Provas
O livro Detecção Precoce do Câncer, elaborado pelo Instituto Nacional de Câncer (INCA), estabelece que o rastreio de câncer de pulmão deve ser feito com tomografia torácica de baixa dosagem em
Provas
Um paciente de 57 anos de idade procurou um médico de família para realizar exames de rotina. Está assintomático. Tem história familiar de infarto agudo do miocárdio e acidente vascular cerebral. É tabagista (20 maços-ano), atualmente com 10 cigarros-dia. Os últimos exames de rotina foram realizados há 3 anos, sem alterações. Não faz uso regular de medicações. Ao exame físico, o paciente apresenta pressão arterial (PA) de 145 mmHg × 90 mmHg e IMC de 32 kg/m2, sem outras alterações. Nesse caso clínico hipotético, a conduta mais adequada em relação à pressão arterial é, além de pedir os exames indicados,
Provas
Um homem de 21 anos de idade, garçom, procurou um posto de saúde solicitando vitamina, pois anda muito fraco, segundo seu relato. No momento do acolhimento com a enfermagem, apresenta hálito etílico e refere que consome bebida alcoólica quase diariamente, desde separação conjugal há 2 meses. Não apresenta sinais de alteração da marcha ou da fala. Considerando-se as diretrizes gerais do Sistema Único de Saúde (SUS), as atribuições da atenção básica e a rede de atenção psicossocial (RAPS), é correto afirmar que, nesse momento, o paciente referido nesse caso hipotético deve ser submetido à avaliação no(a)
Provas
As seguintes características são mundialmente aceitas para descrever a atenção primária à saúde (APS), exceto
Provas
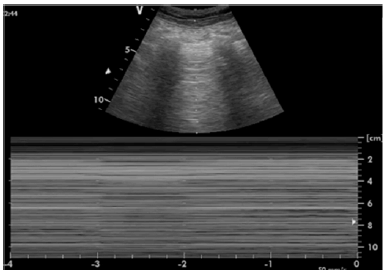
Diante da proposta cirúrgica de grande porte em um paciente cirúrgico de alto risco, o anestesiologista opta pela monitorização hemodinâmica conforme indica a imagem abaixo.

Assinale a alternativa que apresenta, respectivamente, a monitorização utilizada e a zona de West na qual o dispositivo deverá ficar localizado.
Provas
Assinale a alternativa que apresenta corretamente quais drogas devem ser evitadas no intraoperatório em um paciente sabidamente portador de síndrome de Wolff Parkinson White.
Provas
Um paciente em pós-operatório imediato de nefrectomia total esquerda evolui com franca taquidispneia, taquicardia e hipotensão. Ao realizar exame point of care exibido abaixo, prontamente o médico anestesiologista levanta sua hipótese diagnóstica.

Assinale a alternativa que apresenta o diagnóstico e o provável fator desencadeante desse quadro.
Provas
Um paciente de 34 anos de idade, ASA 1, envolvido em um acidente automobilístico, evoluiu com rebaixamento de nível de consciência e houve a necessidade de intubação orotraqueal em sequência rápida com videolaringoscopia. Após acoplamento ao sistema ventilatório e estabilização hemodinâmica, o paciente evoluiu com SpO2 a 88% e com curva da capnografia apresentada abaixo.

Assinale a alternativa que apresenta o provável diagnóstico do paciente desse caso hipotético.
Provas
Caderno Container