Foram encontradas 485 questões.
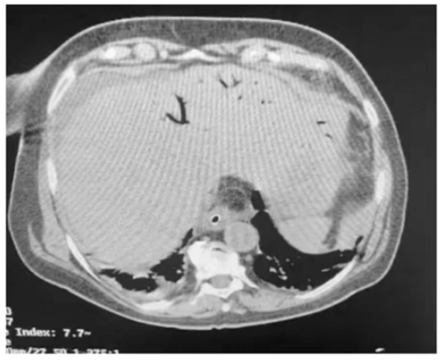
Um paciente de oitenta anos de idade, já com grau de perda de funcionalidade, com períodos de esquecimento, chegou ao pronto-socorro com queda importante do estado geral, com poucas informações objetivas, porém com dor ao exame físico de abdômen. Difícil interpretação dos sinais de irritação peritoneal. Realizou a tomografia abaixo.



A principal causa desse achado é o(a)
Provas
A elevação das imunoglobulinas IgA, IgM, IgE e IgG em crianças portadoras de HIV
Provas
O pioderma gangrenoso está associado
Provas
Uma criança com fraqueza, prurido cutâneo, dor abdominal, náuseas e diarreia, ao exame, apresenta pápulas que lembram urticária. Refere história de convívio com vários cachorros. Apresenta eosinofilia (> 20%) e IgE sérica total elevada.
Nesse caso hipotético, deve-se descartar
Provas
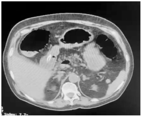
Um paciente de 72 anos de idade, com dor abdominal há 48 horas, difusa, com início intenso e súbito, é diabético, fumante e hipertenso. Exame físico com regular estado geral, frequência cardíaca de 90, arrítmica, sem febre, e abdômen doloroso em flanco esquerdo, sem sinais de irritação peritoneal. Realizou angiotomografia, que demonstrou alteração em seguimento de delgado, compatível com sofrimento de alça e provável obstrução da artéria mesentérica.
Com base nesse caso hipotético, assinale a alternativa que apresenta a conduta mais adequada.
Provas
Um paciente de 78 anos de idade, com hemorragia digestiva, hipotensão revertida com 1.000 mL de ringer, lúcido, porém mantendo sinais de exteriorização de sangue pelo ânus, realizou endoscopia, que teve achado de gastrite, sem nenhum sinal de sangramento. Nunca teve esse evento anteriormente, porém fez colonoscopia há três anos, com achado único de doença diverticular do sigmoide. Usa AAS por indicação cardiológica (sic). Após três horas na reavaliação após o exame, houve queda de HB/HT, sangramento ativo e nova hipotensão, que melhorou após 500 mL de ringer.
A conduta correta nesse caso hipotético seria
Provas
Caso hipotético para as questões de 31 a 33.
Um menino de um ano e quatro meses de idade foi levado por seus pais ao consultório médico. Desde os sete meses de vida, ele apresenta várias infecções (duas pneumonias, quatro otites e uma infecção intestinal com necessidade de internação para receber hidratação endovenosa). Ao exame, são detectadas amígdalas palatinas hipoplásicas.
Assinale a alternativa que apresenta o tratamento que deverá ser proposto caso a hipótese diagnóstica se confirme.
Provas
Caso hipotético para as questões de 31 a 33.
Um menino de um ano e quatro meses de idade foi levado por seus pais ao consultório médico. Desde os sete meses de vida, ele apresenta várias infecções (duas pneumonias, quatro otites e uma infecção intestinal com necessidade de internação para receber hidratação endovenosa). Ao exame, são detectadas amígdalas palatinas hipoplásicas.
A alteração laboratorial que colaboraria com a hipótese diagnóstica é o(a)
Provas
Quanto ao câncer colorretal na urgência, assinale a alternativa correta.
Provas
Caso hipotético para as questões 29 e 30.
Um menino de quatro anos de idade, com febre de 38,8 °C há seis dias, que não cede com antipiréticos, foi levado pelos pais ao pronto-socorro. Ao exame, nota-se eritema na conjuntiva bulbar. Na orofaringe, observa-se língua extremamente vermelha, semelhante à framboesa, e linfoadenopatia cervical. Também apresenta alguns roncos de transmissão, dor abdominal difusa e edema e eritema em mãos e pés.
O tratamento recomendado e que pode prevenir complicações é
Provas
Caderno Container