Foram encontradas 485 questões.
Sobre as medidas de prevenção de infecção da corrente sanguínea, assinale alternativa correta:
Provas
Após uma apendicectomia realizada por vídeo, com presença de peritonite generalizada, o paciente vinha com boa evolução, aceitando dieta líquida, caminhando, em uso de ceftriaxona e metronidazol, sem febre ou dor abdominal. Porém, no sétimo dia pós-operatório, teve piora da dor em fossa ilíaca direita, sem sinais de irritação peritoneal, e o dreno passou a apresentar aspecto seroso. Nos exames, teve aumento de leucócitos de 13 mil para 16 mil e de proteína C-reativa de 13 para 18, nas últimas 24 horas.
Com base nesse caso hipotético, assinale a alternativa que apresenta a conduta mais adequada.
Provas
Sobre as infecções de corrente sanguínea, assinale alternativa correta:
Provas
Assinale a alternativa que apresenta a associação correta entre a origem do câncer e seus marcadores.
Provas
De acordo com os critérios da Agência Nacional de Vigilância Sanitária (ANVISA), assinale a alternativa correta sobre a pneumonia associada à ventilação mecânica (PAV) em pacientes adultos clinicamente definida:
Provas
Assinale a alternativa correta sobre o sarampo:
Provas
Sobre a interpretação dos marcadores sorológicos da Hepatite B, assinale a alternativa correta que corresponde à condição de final da fase aguda:
Provas

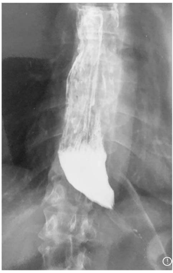
Considerando o exame acima apresentado, assim como seus achados, é correto afirmar que o mais provável sintoma do paciente seria
Provas

Considerando o desenho de um exame proctológico mostrado acima, em que A corresponde ao orifício anal, Anterior corresponde à região pubiana e Posterior corresponde à região sacral, assinale a alternativa correta.
Provas
A infecção osteoarticular pode envolver várias partes ósseas, como medula, córtex e periósteo. Sobre a osteomielite, assinale a alternativa correta:
Provas
Caderno Container