Foram encontradas 350 questões.
Uma paciente de cinquenta anos de idade, obesa, deu entrada no pronto-socorro com dor abdominal em andar superior há quatro dias e vômitos incoercíveis. Apresentava abdome distendido e doloroso, sem descompressão brusca positiva. Exames laboratoriais mostravam amilase 1.250 U/L, leucócitos 15.000, proteína C-reativa 120 mg/dL, ureia 120 mg/dL e creatinina 1,8 mg/dL.
Com base nesse caso hipotético, julgue os itens que se seguem.
I O primeiro exame de imagem que deverá ser realizado é a tomografia computadorizada.
II Jejum oral, hidratação venosa e analgesia são o tripé do tratamento.
III Deve-se introduzir antibioticoterapia para o tratamento da doença.
IV A passagem de sonda nasoenteral para nutrição é mandatória no tratamento.
A quantidade de itens certos é igual a
Provas
No que se refere às complicações pós-operatórias das feridas cirúrgicas, assinale a alternativa correta.
Provas
Os princípios de pré-operatório e avaliação do paciente cirúrgico são essenciais para o sucesso do ato cirúrgico. Sendo assim, assinale a alternativa correta.
Provas
Assinale a alternativa correta.
Provas
Um paciente de 56 anos de idade sofreu trauma por guindaste na região lateral direita do tórax. Foi levado pelos colegas de trabalho ao pronto-socorro e deu entrada no setor de emergência com área de crepitação em costelas (8.ª a , 9.ª a e 10.ª a ) do lado direito, que se movimentava irregularmente durante a respiração (paradoxal). Murmúrio vesicular presente e simétrico, crepitações à palpação de costelas (8.ª a , 9.ª a e 10.ª a ) do lado direito, sem ferimentos locais. Frequência cardíaca de 120 bpm, frequência respiratória de 28 ipm e pressão arterial de 140 x 90 mmHg.
Com base nessa situação hipotética, assinale a alternativa que apresenta, correta e respectivamente, a lesão mais provável e a abordagem inicial.
Provas
Atualmente, a indicação cirúrgica eletiva em pacientes com diverticulite aguda não complicada baseia-se
Provas
Segundo as orientações do guideline de Tokyo de 2018 para colecistite aguda, a principal meta no tratamento da colecistite Tokyo de grau 3 é o(a)
Provas
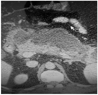
Um paciente de 78 anos de idade queixa-se de dor abdominal aguda em epigástrio e flanco direito há vinte dias. Já procurou dois serviços anteriormente, sendo que, no primeiro, ficou internado por cinco dias e recebeu o diagnóstico de colecistite aguda e, no segundo, foi observado um problema no pâncreas (SIC). Não tem consigo nenhum documento oficial. Chegou ao pronto-socorro com dor em epigástrio (4/10), desidratado, descorado, anictérico e afebril. Apresentava massa palpável em epigástrio,sem sinais de irritação peritoneal. Exames laboratoriais revelaram: hemoglobina de 11 mg/dl; leucócitos de 14.000; glicemia de 108; amilase de 92; e lipase de 72. Realizou, também, a tomografia abdominal com contraste mostrada no corte abaixo.

Com base nesse caso hipotético, assinale a alternativa correta.
Provas
Um paciente no quinto pós-operatório de apendicite aguda fase V, que foi tratado por videolaparoscopia e vinha com evolução adequada, apresenta agora desconforto abdominal, náuseas e febre de 38,2 ⁰C. Realizou exames de sangue, que mostraram elevação dos leucócitos e da proteína C-reativa. Ao exame clínico, o paciente se encontra com frequência cardíaca de 98 bpm, sem instabilidade hemodinâmica, e com discreta dor abdominal. Relata retirada do apêndice (secção do apêndice na base do ceco com bom aspecto), limpeza exaustiva da cavidade e fechamento dos portais sem drenagem. Ele recebeu ceftriaxona e metronidazol no período.
Com base nessa situação hipotética, assinale a alternativa correta.
Provas
Na escolha do tipo de antibioticoterapia empírica frente à infecção intra-abdominal, o fator que tem menor relevância é o(a)
Provas
Caderno Container