Foram encontradas 40 questões.
A nefrotoxicidade causada pela anfotericina B depende da dose e da duração do tratamento. A partir dessa informação, assinale a alternativa que apresenta as manifestações clínico-laboratoriais comuns dessa nefrotoxicidade.
Provas
A NRS-2002 (Nutrition Risk Screening 2002) foi desenvolvida como um sistema para detectar a presença de subnutrição e o risco de desenvolvimento de desnutrição intra-hospitalar. Ela tem como critérios o(a)
Provas
A sindrome de Wilkie,ou sindrome da artéria mesentérica superior, é condição rara, caracterizada por
Provas
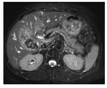
Uma paciente de 69 anos de idade, portadora de diabetes tipo 2, hipertensão arterial e hipotireoidismo, com história de IAM em 2017, apresenta quadro de icterícia progressiva, colúria, acolia, dor abdominal em hipocôndrio direito e perda ponderal de 5 kg no último mês, com inapetência e queda do estado geral. Aos exames, Hb 9 g/dL, leucócitos 12.000/mm3 , amilase 80 U/L, TGO 250, TGP 190, bilirrubina total 11 mg/dL, bilirrubina direta 9,5 mg/dL, fosfatase alcalina 320 mg/dL, gama GT 400 mg/dL e PCR 2,5 mg/dL. Ao exame físico, dor à palpação de epigástrio e hipocôndrio direito, sem DB. Realizou uma ultrassonografia de abdome, que mostrava dilação de vias intra e extra-hepáticas, com espessamento de vesícula biliar. Complementou a investigação com ressonância magnética. Mostrou a imagem a seguir.

Com base nessa situação hipotética, é correto afirmar que a
Provas
Acerca da cirurgia metabólica, julgue os próximos itens.
I A dosagem de peptideo C maior que 1 ng/mL no pré-operatório éconsiderada como critério de exclusão para a cirurgia do diabete.
II O aumento do GLP-1 ocorre de forma precoce, como consequência do BGYR, após o trigésimo dia de pós-operatório, independentemente da perda de peso.
III Diabete de longa duração (mais de dez anos), controle glicêmico inadequado no pré-operatório e uso de insulina reduzem a probabilidade de resolução do diabete após o BGYR.
Assinale a alternativa correta.
Provas
Julgue os itens seguintes.
I A gastrosquise éum defeito da parede abdominal no sítio do anel umbilical, recoberto por âmnio e peritônio.
II Os bebês com gastrosquise apresentam, principalmente, defeitos intestinais associados, enquanto os bebês que têm onfalocele apresentam defeitos estruturais e cromossômicos.
III Na onfalocele, o defeito abdominal é adjacente e lateral a um cordão umbilical de inserção normal, não recoberto por saco membranoso.
IV Um dos principais desafios na conduta da gastrosquise é lidar com um intestino disfuncional.
A quantidade de itens certos é igual a
Provas
Quanto a cirurgias em idosos, assinale a alternativa incorreta.
Provas
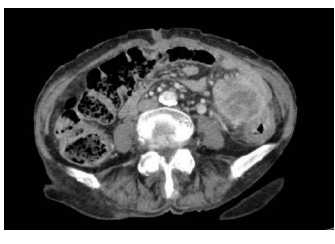
Uma paciente de 81 anos de idade, portadora de demência senil, hipertensão arterial, diabetes tipo 2 e artrite reumatoide, sem antecedentes familiares de neoplasia, deu entrada no pronto-socorro com dor abdominal em hipogastro e fossa ilíaca esquerda, sem irradiação há duas semanas, com piora progressiva. Estava em investigação por constipação intestinal com médico da unidade de saúde próxima à sua casa. Durante a investigação, realizou uma tomografia computadorizada de abdome total com contraste, que evidenciou a imagem abaixo.

Com base nesse caso hipotético, assinale a alternativa correta.
Provas
Um paciente de 63 anos de idade deu entrada no pronto-socorro por dor abdominal e distensão há cinco dias, com parada de eliminação de gases e fezes. Tinha história prévia de apendicectomia laparotômica há quinze anos. Realizou uma radiografia de abdome agudo, que mostrou empilhamento de moeda e níveis hidroaéreos. Foi diagnosticado com abdome agudo obstrutivo e não apresentou resposta ao tratamento clínico, sendo submetido à laparotomia exploradora. No intraoperatório, foram observadas bridas, que foram desfeitas sem necessidade de ressecção de alça. No terceiro dia pós-operatório, sua sonda nasogástrica ainda apontava débito de 900 mL, com abdome distendido.
Com base nessa situação hipotética, assinale a alternativa que apresenta a melhor conduta.
Provas
A síndrome compartimental abdominal é uma complicação do aumento exacerbado da pressão intra-abdominal (PIA). A respeito da PIA, assinale a alternativa incorreta.
Provas
Caderno Container