Foram encontradas 531 questões.
Na vigilância da coqueluche, a definição de um
caso suspeito é fundamental. Conforme as
diretrizes, considera-se suspeito o indivíduo que,
independente da idade e estado vacinal,
apresentar tosse há 10 dias ou mais, associada a
um ou mais dos seguintes sintomas:
Provas
Questão presente nas seguintes provas
Em investigação de exantema agudo, um adulto
jovem apresenta febre alta, tosse seca inicial,
coriza, conjuntivite não purulenta e exantema
maculopapular de progressão cefalocaudal.
Assinale a alternativa que melhor caracteriza o
quadro clínico descrito:
Provas
Questão presente nas seguintes provas
Em unidade básica, uma lactente de 4 meses
chega com tosse persistente e episódios de
vômitos pós-tosse. Diante de suspeita clínica e
necessidade de notificação e manejo oportuno,
identifique a definição de caso suspeito de
coqueluche para menores de 6 meses:
Provas
Questão presente nas seguintes provas
Em um domicílio com caso suspeito de doença
meningocócica confirmado no serviço de
urgência, a equipe de vigilância organiza o
bloqueio de contatos ainda no mesmo dia.
Considerando o risco aumentado de casos
secundários nas primeiras horas após o início do
quadro, indique a medida de quimioprofilaxia
prioritária e o momento adequado de
administração para contatos próximos:
Provas
Questão presente nas seguintes provas
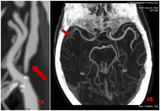
Avalie a imagem para responder à questão.

Em:
Provas
Questão presente nas seguintes provas
Avalie a imagem para responder à questão.

Em:
Provas
Questão presente nas seguintes provas
- Protocolos de Exames de Medicina NuclearBases Físicas e Tecnológicas
- Protocolos de Exames de Medicina NuclearTécnicas Radiográficas em Tomografia Computadorizada
Radiologista recebe solicitação de ressonância magnética de crânio para paciente de 45 anos com
histórico de cirurgia cardíaca há 2 anos para implante de válvula. Antes de autorizar o procedimento,
considerando as características físicas do método e os riscos potenciais, o radiologista deve:
Provas
Questão presente nas seguintes provas
Durante procedimento de cateterismo cardíaco guiado por fluoroscopia, o médico radiologista
intervencionista observa que o cardiologista e os técnicos não estão utilizando aventais plumbíferos
adequadamente. Considerando os princípios fundamentais de proteção radiológica aplicados aos raiosX, a conduta correta do radiologista deve basear-se no conhecimento de que:
Provas
Questão presente nas seguintes provas
Médico radiologista está avaliando uma paciente
de 28 anos, gestante de 12 semanas, com queixa
de dor abdominal aguda em hipocôndrio direito.
A hipótese clínica é colecistite aguda. Para
definir o método de imagem mais adequado nesta
situação, considerando os princípios de proteção
radiológica e as características técnicas dos
métodos disponíveis, o radiologista deve indicar:
Provas
Questão presente nas seguintes provas
Pacientes em uso de betabloqueadores
apresentam considerações específicas ao
receberem meios de contraste (MC) iodados.
Embora o uso concomitante não aumente a
probabilidade inicial de uma reação, ele altera
significativamente o manejo de uma eventual
complicação:
Provas
Questão presente nas seguintes provas
Cadernos
Caderno Container