Foram encontradas 590 questões.
Na cirurgia de aumento mamário, a escolha da prótese é fundamental para o resultado estético e a satisfação do paciente. Analise as alternativas abaixo, considerando uma prótese mamária específica e suas características.
Provas
Um homem de 62 anos, hipertenso e tabagista, chega ao pronto-socorro com dor torácica de forte intensidade irradiada para as costas há 2 horas. O eletrocardiograma inicial não mostra elevação do segmento ST nas derivações padrão, mas apresenta supradesnivelamento do segmento ST em V1 e V2, associado a ondas R proeminentes nessas derivações. Qual é o diagnóstico mais provável?
Provas
Uma mulher de 56 anos relata episódios de tontura e sensação de pré-síncope durante atividades diárias. O exame clínico revela bradicardia moderada, e o eletrocardiograma mostra prolongamento progressivo do intervalo PR até o bloqueio completo de um complexo QRS, seguido de retorno do ciclo. Qual é o diagnóstico mais provável?
Provas
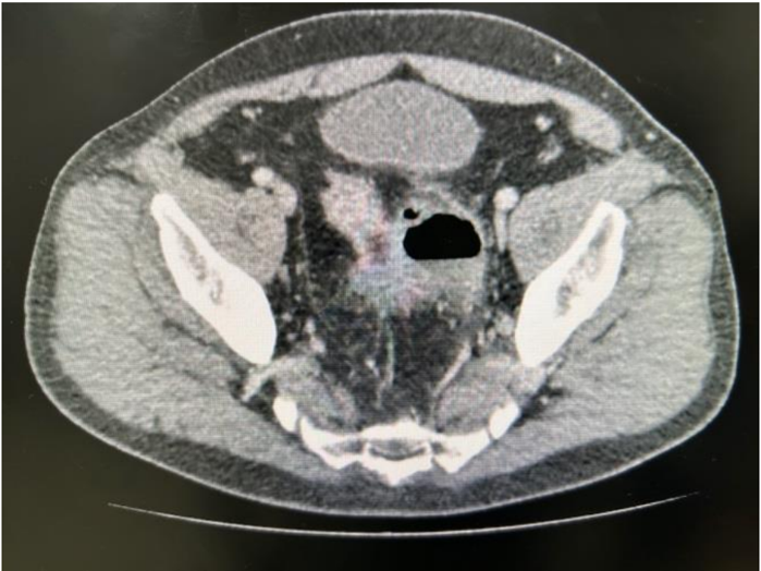
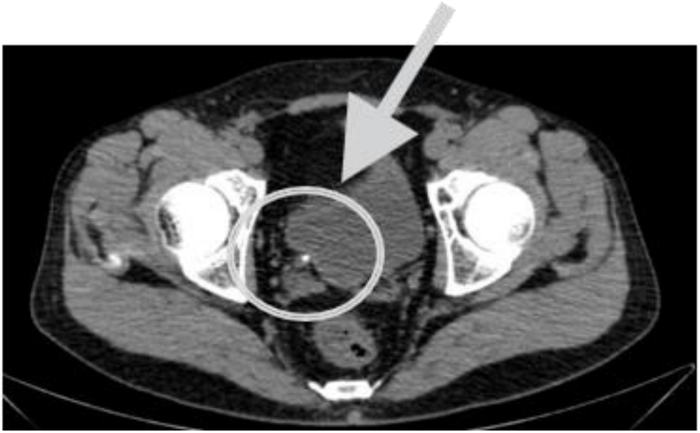
Paciente masculino de 56 anos, sabidamente portador de doença diverticular dos cólons, apresenta dor abdominal tipo cólica há 5 dias, com diminuição do apetite e procurou atendimento para investigação. Ao exame físico apresentava dor à palpação profunda em fossa ilíaca esquerda, sem massas palpáveis, com DB negativo.
Foram realizados exames laboratoriais: Hemoglobina: 12,6 g/dL, Leucócitos: 16.260/mm³, Plaquetas: 260.000/mm³, Creatinina: 1,2 mg/dL, Ureia: 21,8 mg/dL, PCR: 23,9 mg/L (VR: <1,0 mg/L).
Realizada tomografia computadorizada de abdome com contraste, mostrando imagem de coleção de 5,6cm de tamanho justa-cólico, sem pneumoperitônio livre, conforme imagem abaixo:

Qual deve ser a conduta inicial para esse paciente?
Provas
Em relação aos anti-histamínicos de segunda geração:
Provas
Menina de 15 anos, foi ferroada por inseto em passeio com a família. Apresentou dispneia, sibilos, hipotensão, pápulas urticariformes disseminadas, dor e eritema no local da ferroada. Quais informações iniciais são importantes para o tratamento de alergia a veneno de himenópteros na emergência:
Provas
Menino de 4 anos, há 5 dias apresenta petéquias e equimose em membros inferiores. Refere resfriado há cerca de 15 dia, e uso de paracetamol por 3 dias. Nega perda de peso. Exame físico de outros aparelhos e sistemas normais. Identificada plaquetopenia isolada (53.000 plaquetas/μL) sem alterações da série vermelha ou brancas, com morfologias normais. Como deve ser conduzido o caso?
Provas
Em relação ao caso clínico da pergunta anterior, qual medida deve ser prioritária na emergência:
Provas
Em relação ao uso de anti-histamínico de primeira geração, podemos dizer que são:
Provas
Homem, 42 anos, queixa de dor em fossa ilíaca direita de forte intensidade de início súbito associada a náusea sem vômitos há 2 horas, com irradiação para região inguinal ipsilateral, sem fatores de piora ou melhora. Ao exame físico, abdome flácido, leve desconforto à palpação de fossa ilíaca direita, sem plastrão palpável ou tumefações subcutâneas. Sinais de Blumberg e Giordano negativos. Foi medicado e apresentou alívio da dor.
Hemograma com Hb 14,3 g/dL, Leucócitos 9580 s/ desvio. Proteína C Reativa 1,2 g/dL (normal <1,0). Urina I com hemácias 12 mil (normal <10 mil) e leucócitos 11 mil (normal < 10 mil), sem outros achados.

Após ver a tomografia e confirmar a hipótese diagnóstica mais provável para este caso, cite o próximo passo para o tratamento:
Provas
Caderno Container