Foram encontradas 1.080 questões.

Considerando dois possíveis arranjos moleculares de um fármaco x no estado sólido, conforme representados de maneira esquemática nas figuras A e B, em que a forma B é mais estável, julgue o item subsecutivo.
O ponto de fusão do fármaco x independe do arranjo molecular, por isso A e B têm o mesmo ponto de fusão.
Provas

Considerando dois possíveis arranjos moleculares de um fármaco x no estado sólido, conforme representados de maneira esquemática nas figuras A e B, em que a forma B é mais estável, julgue o item subsecutivo.
O fármaco x é um sólido amorfo.
Provas

Considerando dois possíveis arranjos moleculares de um fármaco x no estado sólido, conforme representados de maneira esquemática nas figuras A e B, em que a forma B é mais estável, julgue o item subsecutivo.
Caso o fármaco x fosse usado no preparo de uma cápsula de uso oral, o início do efeito terapêutico seria mais rápido com a utilização do sólido representado no arranjo B.
Provas

Considerando dois possíveis arranjos moleculares de um fármaco x no estado sólido, conforme representados de maneira esquemática nas figuras A e B, em que a forma B é mais estável, julgue o item subsecutivo.
As propriedades de moagem e a compactação de A e B provavelmente são distintas.
Provas

Considerando dois possíveis arranjos moleculares de um fármaco x no estado sólido, conforme representados de maneira esquemática nas figuras A e B, em que a forma B é mais estável, julgue o item subsecutivo.
O fármaco x possui, no mínimo, duas formas polimórficas.
Provas

Considerando que o gráfico apresentado mostra a solubilidade de um fármaco — matéria-prima obtida a partir de três fornecedores distintos —, em função da razão fármaco/fase solvente, julgue o item que se segue.
Provas

Considerando que o gráfico apresentado mostra a solubilidade de um fármaco — matéria-prima obtida a partir de três fornecedores distintos —, em função da razão fármaco/fase solvente, julgue o item que se segue.
Provas

Considerando que o gráfico apresentado mostra a solubilidade de um fármaco — matéria-prima obtida a partir de três fornecedores distintos —, em função da razão fármaco/fase solvente, julgue o item que se segue.
Provas

Considerando que o gráfico apresentado mostra a solubilidade de um fármaco — matéria-prima obtida a partir de três fornecedores distintos —, em função da razão fármaco/fase solvente, julgue o item que se segue.
Provas

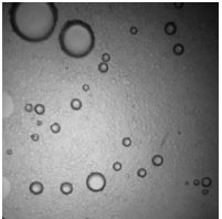
Considerando a figura precedente, que ilustra uma emulsão visualizada em microscópio óptico, julgue o próximo item, relativo aos aspectos farmacotécnicos dessa emulsão.
O tensoativo, que proporciona a estabilização da emulsão, é representado na figura como uma linha grossa que contorna a fase interna.
Provas
Caderno Container