Foram encontradas 120 questões.

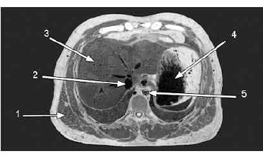
A figura acima mostra a fotografia de um corte anatômico realizado em cadáver. Considerando os dados mostrados na figura, julgue os itens a seguir.
A área mais clara que circunda todas as estruturas indicadas por setas é composta por tecido ósseo.
Provas

A figura acima mostra a fotografia de um corte anatômico realizado em cadáver. Considerando os dados mostrados na figura, julgue os itens a seguir.
A seta 5 indica a aorta descendente.
Provas

A figura acima mostra a fotografia de um corte anatômico realizado em cadáver. Considerando os dados mostrados na figura, julgue os itens a seguir.
A seta 4 indica a cavidade interna de um órgão.
Provas

A figura acima mostra a fotografia de um corte anatômico realizado em cadáver. Considerando os dados mostrados na figura, julgue os itens a seguir.
A seta 3 indica um órgão capaz de realizar trocas gasosas.
Provas

A figura acima mostra a fotografia de um corte anatômico realizado em cadáver. Considerando os dados mostrados na figura, julgue os itens a seguir.
A seta 2 indica a traquéia.
Provas

A figura acima mostra a fotografia de um corte anatômico realizado em cadáver. Considerando os dados mostrados na figura, julgue os itens a seguir.
A seta 1 indica o músculo grande dorsal.
Provas

A figura acima mostra a fotografia de um corte anatômico realizado em cadáver. Considerando os dados mostrados na figura, julgue os itens a seguir.
A figura mostra um corte transversal, aproximadamente no nível da 11.ª vértebra torácica.
Provas
Considerando os conceitos de anatomia humana, julgue os seguintes itens.
Os órgãos abdominais, estruturas constituídas por diversos sistemas, são responsáveis por todo o processo de digestão.
Provas
Considerando os conceitos de anatomia humana, julgue os seguintes itens.
Os ossos ilíacos, apesar de sua saliência anterior, não fazem parte das características topográficas do abdome.
Provas
Considerando os conceitos de anatomia humana, julgue os seguintes itens.
Na maioria dos indivíduos sadios, é possível visualizar uma saliência abdominal durante a expiração, causada pelo fígado.
Provas
Caderno Container