Foram encontradas 924 questões.
Com relação à avaliação hemodinâmica, assinale a alternativa INCORRETA.
Provas
Considere as afirmações abaixo em relação ao estudo FREEDOM (Strategies for Multivessel Revascularization in Patients with Diabetes).
I - A incidência do desfecho composto de morte por qualquer causa, infarto agudo do miocárdio não fatal e acidente vascular cerebral não fatal foi menor no grupo de pacientes alocado para estratégia de revascularização miocárdica cirúrgica, e o número necessário para tratar (NNT) para prevenção desse desfecho foi de 41.
II - Não houve diferença estatisticamente significativa na taxa de mortalidade em 30 dias entre os grupos de revascularização percutânea e de revascularização cirúrgica.
III - O subgrupo de pacientes com acometimento do tronco da coronária esquerda e escores SYNTAX baixo (\( \le \)22) ou moderado (22-32) apresentou menor incidência de mortalidade após cinco anos de seguimento.
Quais estão corretas?
Provas
Assinale a alternativa correta sobre a emissão de radiação.
Provas
Paciente de 40 anos, com insuficiência cardíaca, FE 35% e que apresenta piora progressiva da dispneia há um mês, procura emergência por dispneia ao repouso. Ao exame, apresenta-se aquecido, com PA 110/70mmHg, FC 140bpm e com congestão pulmonar. A figura abaixo representa o ECG da chegada.

Em relação ao caso descrito, assinale a alternativa correta.
Provas
Em relação ao manejo terapêutico na fase aguda da insuficiência cardíaca e durante a internação, assinale a alternativa correta.
Provas
Homem de 75 anos, com história de insuficiência cardíaca, FE de 30%, chega à emergência com queixa de dispneia intensa e edema. Ao exame, apresenta PA de 80/50, FC 90, SatO2 89%, estertores crepitantes finos difusos na ausculta respiratória, presença de B3, anasarca e extremidades cianóticas. Frente a esse quadro clínico, é correto afirmar que
Provas
Quanto à avaliação de pacientes com insuficiência cardíaca aguda, considere as afirmações abaixo.
I - O aumento do BNP pode ser observado em outras condições clínicas, como em estados hiperdinâmicos, entre as quais, a sepse.
II - A realização de cateterismo cardíaco direito deve ser considerada na avaliação de pacientes hipotensos, dependentes de inotrópicos e refratários à terapêutica otimizada, nos quais informações hemodinâmicas precisas norteiam a tomada de decisão terapêutica.
III - A presença de hiponatremia persistente está fortemente associada ao prognóstico do paciente, bem como ao aumento de permanência hospitalar e risco de óbito; entretanto, a correção nos níveis de sódio não demonstram clara melhora no curso clínico da doença.
Quais estão corretas?
Provas
Paciente com infarto do miocárdio anterior extenso, com 10 horas de evolução, tendo realizado revascularização percutânea da artéria coronária descendente anterior, com fluxo TIMI 3 após procedimento, é admitido em unidade de cuidados coronarianos. Na chegada, apresenta-se ansioso, agitado, com PA 90/60mmHg, FC 110bpm, Sat O2 90%, estertores crepitantes finos na metade inferior do tórax e extremidades frias. Em relação a esse caso, assinale a afirmação INCORRETA.
Provas
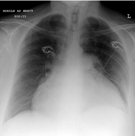
Mulher de 50 anos chega à Emergência com queixa de dispneia e desconforto torácico. Apresenta história de dor torácica intensa, manejada em hospital do interior como infarto do miocárdio sem estratificação invasiva, há uma semana. A paciente apresenta PA 90/40mmHg, FC 120mmHg, turgência venosa central e mínimos estertores crepitantes em bases; está fria e com sensório deprimido. RX de tórax (Fig. 1) e ECG (Fig. 2) da chegada estão representados abaixo.
Fig. 1

Fig. 2

Frente a esse quadro, qual seria a melhor conduta?
Provas
Considere um paciente em parada cardiorrespiratória, recebendo manejo avançado em Emergência, com compressões torácicas e ventilações eficazes. A figura abaixo representa a checagem de ritmo desse paciente, que permanece sem pulso.

No que se refere ao quadro acima, qual ação deve ser realizada em seguida?
Provas
Caderno Container