Magna Concursos

Foram encontradas 502 questões.

Doente de 50 anos, sem antecedentes mórbidos tem indicação de videolaparoscopia devido à suspeita de apendicite aguda. Na introdução da ótica pela cicatriz umbilical evidenciou-se material gelatinoso pela cavidade peritoneal.

Qual é a conduta mais adequada a ser seguida com este achado?

 

Provas

Questão presente nas seguintes provas

Mulher, 24 anos, grávida de 20 semanas, vem ao Pronto-Socorro queixando-se de dor em quadrante inferior direito há 4 dias acompanhada de febre (39º C), episódios de diarreia e vômitos após o início do quadro doloroso. Sua urina I mostra 30.000 leucócitos por mm3. Tem leucograma de 12.000 cel/mm3 sem desvio à esquerda. Seu score de Alvarado é de 6 pontos.

A conduta mais indicada a seguir é:

 

Provas

Questão presente nas seguintes provas

Paciente de 45 anos, sexo feminino, foi internada por apresentar dor aguda no hipocôndrio direito associada a vômitos e urina escurecida. Nega febre. O exame físico revelou dor à palpação no epigástrico e Tax 36,7ºC Exames de laboratório realizados: amilase sérica = 140 unidades; Leucócitos = 12.000 mm3; AST = 80; ALT = 95 mg/dL; BT = 3,4 mg/dL; BD = 2,7 mg/dL; BI = 0,7mg/dL; GGT 452 U/l; F.A. = 338 U/l.

Ultrassom de abdome: múltiplos cálculos de até 10 mm em vesícula biliar que apresenta parede de 5 mm de espessura; pequena quantidade de líquido livre na cavidade peritoneal; hepatocolédoco com 8 mm de diâmetro; vias biliares intrahepáticas sem dilatação.

Qual é o próximo passo mais adequado na condução do caso?

 

Provas

Questão presente nas seguintes provas
1543551 Ano: 2019
Disciplina: Medicina
Banca: USP
Orgão: HC-FMUSP

Paciente de 45 anos, no menacme, assintomática, faz acompanhamento regular com seu médico ginecologista. Ao exame ginecológico geral apresentava mucosa vaginal trófica, conteúdo vaginal fluido, pH 4,0, colo sem lesões visíveis, teste de Schiller negativo. Toque vaginal: útero intrapélvico, móvel e indolor. Durante a consulta foi colhida colpocitologia oncótica cervical, com resultado a seguir:

- Alterações celulares benignas (reativas ou reparativas)

- Microbiologia: presença de Lactobacillus sp e Candida sp

Frente a esse quadro, qual a conduta mais adequada?

Questão Anulada

Provas

Questão presente nas seguintes provas
1543277 Ano: 2019
Disciplina: Medicina
Banca: USP
Orgão: HC-FMUSP

Qual é a definição correta para indicador de mortalidade?

Questão Anulada

Provas

Questão presente nas seguintes provas

Mulher de 52 anos é admitida no hospital com abscesso hepático volumoso, em choque séptico. No 4o dia de internação, está extubada, com sonda nasogástrica aberta (débito > 1.000 mL/dia), em uso de noradrenalina (0,08 mcg/Kg/min) e função renal em piora. Exames laboratoriais: creatinina=2,8 mg/dL; ureia=180 mg/dL; pH = 7,3; pCO2 = 39 mmHg; bicarbonato = 18 mEq/L; SBE = - 6 mEq/L; Na+ = 144 mEq/L; K+ = 5 mEq/L; Cl- = 89 mEq/L; lactato = 14 mg/dL; albumina = 2 g/dL.

Assinale a alternativa que contenha todos os distúrbios ácido-básicos apresentados.

Questão Anulada

Provas

Questão presente nas seguintes provas

Homem de 78 anos, com escolaridade de sete anos, com antecedentes de hipertensão, diabetes, hipotireoidismo e infarto prévio com angioplastia. Sua filha conta que ele vinha esquecendo nome de pessoas e onde guardava os objetos do dia-a-dia como chaves e óculos há seis meses. Percebeu perda de interesse para realizar as atividades que costumava fazer antes, como frequentar a igreja e os encontros dos amigos da sua idade. Relata que o pai não tem saído de casa e perdeu quase 6 Kg no último ano. Além da queixa de memória, o paciente apresenta queixas de cansaço, menor apetite e insônia. Nega delírios ou alucinações. Mini-mental = 22 pontos com erros marcantes no sub-item cálculo.

A conduta mais adequada é:

Questão Anulada

Provas

Questão presente nas seguintes provas
1543139 Ano: 2019
Disciplina: Medicina
Banca: USP
Orgão: HC-FMUSP

No dedo mínimo, a posição de artrodese recomendada para a articulação interfalângica proximal é de:

Questão Anulada

Provas

Questão presente nas seguintes provas
1543106 Ano: 2019
Disciplina: Medicina
Banca: USP
Orgão: HC-FMUSP

Na fratura-luxação de Monteggia, o mecanismo de trauma do tipo 1 de Bado é predominantemente em:

Questão Anulada

Provas

Questão presente nas seguintes provas

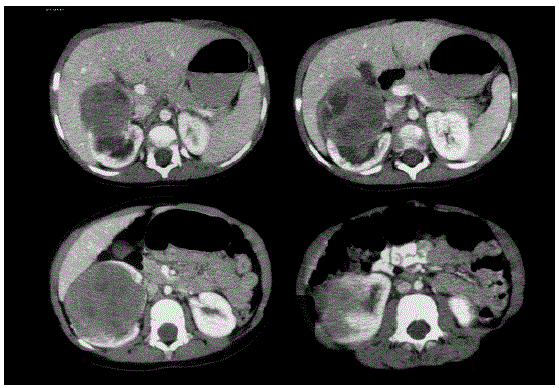
Menino de 3 anos, apresenta episódios de hematúria macroscópica há 2 meses, total, sem coágulos e indolor. Mãe nega alterações do hábito intestinal, febre e perda de peso. A criança não apresenta comorbidades. Nasceu de termo, parto normal, sem intercorrências.

Ao exame físico, apresenta-se em BEG, corado e hidratado. Peso, altura e DNPM normais para a idade

Abdome: globoso, indolor e sem massas palpáveis.

Genitália externa: normal. Testículos tópicos

Durante a investigação, foi submetido, entre outros, ao exame mostrado a seguir.

enunciado 1543024-1

Baseado no exposto, assinale a alternativa correta. O diagnóstico mais provável e a melhor forma de tratamento para este paciente são, respectivamente:

Questão Anulada

Provas

Questão presente nas seguintes provas