Foram encontradas 502 questões.
Menina, 6 anos de idade, com antecedente de Diabetes Mellitus tipo 1, em uso regular de insulina NPH, foi admitida no serviço de emergência há 2 horas, devido a quadro de vômitos e dor abdominal há 3 dias. Os exames coletados e as medidas realizadas na sala de emergência estão descritos na tabela abaixo.

Ao exame, paciente encontra-se em regular estado geral, mucosas secas, FC: 115bpm, frequência respiratória de 35 ipm, PA 90/50 mmHg, tempo de enchimento capilar de 4 segundos. Queixa-se apenas de fraqueza. Dentre as medidas a serem realizadas na terceira hora, inclui-se:
Provas
Recém-nascido de termo, masculino, adequado para a idade gestacional, de 39 1/7 semanas, com peso de 4100g e estatura de 52 cm, nascido de parto vaginal, e mãe primigesta de 22 anos. Ao primeiro exame físico, sem anormalidades significativas, exceto por reflexo de moro assimétrico à direita, com membro superior direito com menos força, voltado medialmente, estendido e pronado. Baseado no diagnóstico principal, a conduta é:
Provas
Recém-nascido masculino, 2º dia de vida, apresenta quadro de tremores de membros superiores, sem outros sintomas associados. Trata-se de recém-nascido de termo, adequado para idade gestacional, filho de mãe tercigesta, realizou pré-natal com 12 consultas, com diagnóstico de diabetes gestacional. Nasceu de parto vaginal, sem intercorrências, pesando 3.120 gramas, boletim de Apgar: 09/10/10. Glicemia capilar neste momento: 52 mg/dL. Está indicado:
Provas
No exame físico inicial de um recém-nascido de termo, masculino, pequeno para idade gestacional, foi notado microcefalia (PC: 31 cm) e presença de petéquias em face. Frente aos achados, foi realizada uma ultrassonografia transfontanela, com achado de calcificações peri-ventriculares, sem outras alterações. Também colhido hemograma, com Hb 16,2, Ht 41%, leucócitos: 11.300, plaquetas: 75.000. Triagem auditiva neonatal: falhou bilateralmente. Nasceu de parto cesárea por iteratividade, filho de mãe de 32 anos, tercigesta, sem comorbidades e com pré-natal inadequado, sem coleta de exames.
Os seguintes exames maternos foram colhidos nesta internação:
HIV: negativo
VDRL: negativo
Hepatite C: negativo
Hepatite B: Anti-HBs positivo, anti-HBc negativo, Hbs Ag negativo
Toxoplasmose: IgM negativo / IgG negativo
Rubéola: IgM negativo / IgG positivo
Citomegalovírus: IgM negativo / IgG positivo
Frente a principal hipótese diagnóstica, a conduta indicada é:
Provas
Recém-nascido masculino, 34 horas de vida, está em alojamento conjunto com boa aceitação do seio materno. Ao exame clínico, apresenta icterícia leve (zona I-II pela classificação de Kramer), sendo optado pela coleta de bilirrubinas, com bilirrubina total de 6,5 mg/dL, bilirrubina indireta de 6,2 mg/dL. Trata-se de criança nascida de termo, adequado para a idade gestacional de 40 semanas, com peso ao nascer de 3650g, sem intercorrências. A tipagem sanguínea materna é O negativo, Coombs indireto negativo e a do recém-nascido A positivo, Coombs direto: negativo e Eluato positivo. A mãe recebeu imunoglobulina profilática na 28° semana de gestação. A conduta neste momento é:
Provas
Recém-nascido feminino, 10 dias de vida, é trazido para a primeira consulta de puericultura. Trata-se de criança nascida de termo, parto vaginal, sem intercorrências, com peso de nascimento de 3.350g, adequado para a idade gestacional, boletim de Apgar 9/10/10. Filho de mãe primigesta, de 22 anos, sem comorbidades e sem intercorrências durante o pré-natal. Tipagem sanguínea materna e do RN: A+. A criança recebeu alta no 3º dia de vida, com peso de 3.100g. Na consulta de hoje, a mãe refere que produz bastante leite e que a criança suga bem, mas está cansada porque a criança quer mamar de hora em hora, eventualmente com intervalos de 30 minutos entre as mamadas. Criança evacua três vezes ao dia, com fezes amareladas. Diurese clara, com 4 trocas de fraldas ao dia. Ao exame clínico, apresenta icterícia zona III, sem outras alterações significativas. Peso atual de 3.205g. A conduta indicada é:
Provas
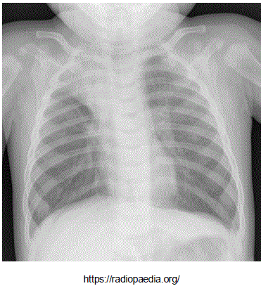
Adolescente masculino, 13 anos de idade, portador de anemia falciforme em seguimento regular com hematologista, apresenta queixa de febre e tosse há dois dias e dor em face anterior do tórax a direta. Ao exame clínico encontra-se em regular estado geral, levemente descorado, FC: 84 bpm, FR: 34 ipm, Saturação de Oxigênio: 95% em ar ambiente, Temp: 38°C, PA: 100/60 mmHg. Realizou radiografia de tórax, que mostrou a imagem abaixo:

Provas
Menino, 8 anos de idade, portador de síndrome nefrótica corticodependente, encontra-se internado há dois dias por quadro atual de descompensação da síndrome, desencadeada por infecção de vias aéreas superiores. Está recebendo albumina humana 20% intravenosa. Após a infusão de cerca de metade da dose, apresenta queixa de desconforto respiratório. Em sua avaliação clínica, notase FR: 32 ipm, FC: 138 bpm, PA: 140/88 mmHg, Saturação de Oxigênio de 89% em ar ambiente, ausculta de estertores crepitantes em ambas as bases pulmonares e fígado palpável a 3 cm do rebordo costal direito.
Qual é o medicamento indicado neste momento?
Provas
Menina, 7 anos de idade, previamente hígida, apresenta quadro de febre há 1 dia de até 39,5°C, mal-estar e hipoatividade. Foi admitida no Pronto-Socorro letárgica, sendo levada à sala de emergência. Na avaliação primaria, estava febril, sonolenta, porém responsiva ao chamado, hidratada. Apresentava extremidades frias, pulsos finos e tempo de enchimento capilar de 6 segundos. Ausculta pulmonar e cardíaca sem alterações, abdome indolor, sem visceromegalias. Abaixo os dados de monitorização do paciente.

Qual é a conduta imediata?
Provas
ATENÇÃO: O caso seguinte se refere às questões 90 e 91:
Lactente masculino, 2 meses de idade, nascido de termo, parto vaginal, sem intercorrências até o momento, está sendo reavaliado na retaguarda de um Pronto-Socorro. Há 4 dias iniciou quadro de coriza hialina e tosse, e há um dia evoluiu com desconforto respiratório. Apresentou febre de até 38,6°C apenas no primeiro dia de história do quadro atual. O paciente deu entrada há cerca de 10 horas e está com a seguinte prescrição: Peso 4,8 kg

No momento da sua reavaliação, o paciente está em regular estado geral, hidratado, pálido, com ausculta pulmonar com sibilos e crepitações difusas, tiragens subdiafragmática, intercostal e de fúrcula, batimento de asas nasais, FR: 88 ipm, saturação de oxigênio 90% com oferta de O2, FC: 180bpm, PA: 78/40mmHg. Sem alterações das propedêuticas cardíaca e abdominal. Tempo de enchimento capilar de 2 segundos, pulsos normais, sem edema.
Radiografia de tórax realizada há 15 minutos:

Com relação ao suporte hídrico prescrito, está correto afirmar que:
Provas
Caderno Container