Foram encontradas 502 questões.
Atenção: o caso seguinte se refere às questões 97 e 98:
Mulher de 45 anos, obesa, é admitida na unidade de terapia intensiva com diagnóstico de síndrome respiratória aguda grave. Peso predito = 70 Kg. Após 12 horas de ventilação mecânica, está sedada com propofol (RASS - 5) e em uso de cisatracúrio. Recebe noradrenalina 0,1 mcg/Kg/min. Parâmetros ventilatórios: FR = 18 ipm; volume corrente = 420 mL; PEEP = 10 cmH2O; pressão de platô = 25 cmH2O; FiO2 = 80%. Gasometria arterial: pH = 7,18; HCO3- = 22 mEq/L; PCO2 = 62 mmHg; PO2 = 58 mmHg.
Homem de 50 anos apresenta sódio sérico de 119 mEq/L. Está hidratado, sem edemas, a pressão arterial é 130 x 80 mmHg e o pulso 68 bpm. A osmolaridade sérica está diminuída e o sódio urinário é de 50 mEq/L.
A etiologia MENOS provável para esta disnatremia é:
Provas
Atenção: o caso seguinte se refere às questões 97 e 98:
Mulher de 45 anos, obesa, é admitida na unidade de terapia intensiva com diagnóstico de síndrome respiratória aguda grave. Peso predito = 70 Kg. Após 12 horas de ventilação mecânica, está sedada com propofol (RASS - 5) e em uso de cisatracúrio. Recebe noradrenalina 0,1 mcg/Kg/min. Parâmetros ventilatórios: FR = 18 ipm; volume corrente = 420 mL; PEEP = 10 cmH2O; pressão de platô = 25 cmH2O; FiO2 = 80%. Gasometria arterial: pH = 7,18; HCO3- = 22 mEq/L; PCO2 = 62 mmHg; PO2 = 58 mmHg.
Homem de 58 anos vem com quadro de dor torácica de forte intensidade, retroesternal, com irradiação para o dorso, há duas horas. Exame clínico: mau estado geral, pálido, sudorese fria, FC = 96 bpm, PA = 206 x 112 mmHg, bulhas rítmicas e normofonéticas com sopro diastólico aspirativo +1/+6 em foco aórtico, murmúrios vesiculares presentes sem ruídos adventícios. Eletrocardiograma de entrada:

A melhor conduta a partir desse momento é:
Provas
Atenção: o caso seguinte se refere às questões 97 e 98:
Mulher de 45 anos, obesa, é admitida na unidade de terapia intensiva com diagnóstico de síndrome respiratória aguda grave. Peso predito = 70 Kg. Após 12 horas de ventilação mecânica, está sedada com propofol (RASS - 5) e em uso de cisatracúrio. Recebe noradrenalina 0,1 mcg/Kg/min. Parâmetros ventilatórios: FR = 18 ipm; volume corrente = 420 mL; PEEP = 10 cmH2O; pressão de platô = 25 cmH2O; FiO2 = 80%. Gasometria arterial: pH = 7,18; HCO3- = 22 mEq/L; PCO2 = 62 mmHg; PO2 = 58 mmHg.
A conduta mais apropriada em relação à ventilação alveolar é:
Provas
Atenção: o caso seguinte se refere às questões 97 e 98:
Mulher de 45 anos, obesa, é admitida na unidade de terapia intensiva com diagnóstico de síndrome respiratória aguda grave. Peso predito = 70 Kg. Após 12 horas de ventilação mecânica, está sedada com propofol (RASS - 5) e em uso de cisatracúrio. Recebe noradrenalina 0,1 mcg/Kg/min. Parâmetros ventilatórios: FR = 18 ipm; volume corrente = 420 mL; PEEP = 10 cmH2O; pressão de platô = 25 cmH2O; FiO2 = 80%. Gasometria arterial: pH = 7,18; HCO3- = 22 mEq/L; PCO2 = 62 mmHg; PO2 = 58 mmHg.
A conduta mais apropriada neste momento em relação à oxigenação é:
Provas
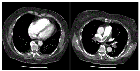
Mulher de 32 anos vem ao Pronto-Socorro com queixa de dispneia súbita há um dia, após viagem aérea de 12 horas. Nega comorbidades. Exame clínico: PA = 80 x 40 mmHg; FC = 140 bpm; FR = 28 ipm; T = 37,8ºC. Lúcida, orientada. Perfusão periférica regular (enchimento capilar = 4 s). Exame clínico sem outras alterações. Foi feita hipótese diagnóstica de tromboembolismo pulmonar e realizado eletrocardiograma (taquicardia sinusal) e angio-tomografia de tórax (abaixo).

A conduta inicial mais apropriada neste momento é:
Provas
Atenção: o texto seguinte se refere às questões 93 a 95:
Um ensaio clínico randomizado avaliou, em pacientes críticos, se o uso de soluções cristaloides balanceadas, em comparação à solução salina 0,9%, reduziria a incidência de eventos adversos renais maiores em 30 dias (morte, necessidade de diálise ou aumento de creatinina maior que duas vezes o basal). O gráfico abaixo traz o resultado da análise de subgrupo do estudo para o desfecho primário.

Para a análise do desfecho primário do estudo, os seguintes testes estatísticos poderiam ser utilizados, EXCETO:
Provas
Atenção: o texto seguinte se refere às questões 93 a 95:
Um ensaio clínico randomizado avaliou, em pacientes críticos, se o uso de soluções cristaloides balanceadas, em comparação à solução salina 0,9%, reduziria a incidência de eventos adversos renais maiores em 30 dias (morte, necessidade de diálise ou aumento de creatinina maior que duas vezes o basal). O gráfico abaixo traz o resultado da análise de subgrupo do estudo para o desfecho primário.

A respeito das análise de subgrupo, assinale a alternativa correta:
Provas
Atenção: o texto seguinte se refere às questões 93 a 95:
Um ensaio clínico randomizado avaliou, em pacientes críticos, se o uso de soluções cristaloides balanceadas, em comparação à solução salina 0,9%, reduziria a incidência de eventos adversos renais maiores em 30 dias (morte, necessidade de diálise ou aumento de creatinina maior que duas vezes o basal). O gráfico abaixo traz o resultado da análise de subgrupo do estudo para o desfecho primário.

Sobre o resultado primário do estudo para toda a amostra, assinale a alternativa correta:
Provas
Homem de 92 anos é trazido ao Pronto-Socorro por dispneia em repouso e tontura há algumas horas. Faz uso irregular de anti-hipertensivos. Na avaliação inicial: regular estado geral, descorado +/4+, taquidispneico, acianótico. Frequência cardíaca = 38 bpm, frequência respiratória = 34 irpm, pressão arterial = 82x62 mmHg, bulhas rítmicas e normofonéticas sem sopros, murmúrios vesiculares presentes com estertores finos até terços médios bilateralmente, saturação de oxigênio = 89% em ar ambiente. O eletrocardiograma é mostrado abaixo:

A conduta sequencial mais adequada é:
Provas
Mulher de 27 anos com diagnostico de asma desde a infância vem em consulta de rotina. está em tratamento regular desde crise mais intensa ocorrida há três anos. Na última consulta, estava estável e a medicação foi reduzida de budesonida + formoterol 200/6 μg duas vezes por dia para budesonida / formoterol 200/6 μg à noite. Desde então, ela permaneceu assintomática. Faz pilates duas vezes por semana. Usou salbutamol spray uma única vez desde a última consulta.
Os medicamentos a serem prescritos agora são:
Provas
Caderno Container