Magna Concursos

Foram encontradas 40 questões.

3727982 Ano: 2025
Disciplina: Medicina
Banca: FUNDATEC
Orgão: GHC
Uma paciente de 45 anos, previamente hígida, procura o pronto-socorro com queixa de dor cervical intensa, disfagia, trismo e voz abafada há 3 dias. Ao exame, apresenta abaulamento cervical, rigidez do pescoço e sialorreia. Durante a avaliação, refere piora súbita da dispneia, com início de estridor. A hipótese diagnóstica é de abscesso cervical profundo com risco iminente de obstrução das vias aéreas. Considerando as informações do caso, qual é a conduta inicial mais adequada para o manejo da via aérea?
 

Provas

Questão presente nas seguintes provas
3727981 Ano: 2025
Disciplina: Medicina
Banca: FUNDATEC
Orgão: GHC
Paciente do sexo feminino foi submetida à tireoidectomia total com esvaziamento cervical do nível VI devido a carcinoma papilífero de tireoide. No primeiro dia pós-operatório, queixou-se de parestesia em extremidades e perioral. Sobre o diagnóstico mais provável, assinale a alternativa INCORRETA.
 

Provas

Questão presente nas seguintes provas
3727980 Ano: 2025
Disciplina: Medicina
Banca: FUNDATEC
Orgão: GHC
Mulher, 58 anos, tem antecedentes de hipertensão arterial sistêmica e tratamento por câncer de mama há 12 anos, em acompanhamento oncológico. Queixa-se de abaulamento cervical à direita com aumento progressivo há 8 meses. Nega sintomas além do desconforto local. Ao exame físico, encontrava-se em bom estado geral e a orofaringolaringoscopia não evidenciava lesões aparentemente suspeitas. Ao exame cervical, notava-se um abaulamento de cerca de 3,5 cm no maior eixo em topografia jugulocarotídea alta à direita, consistência firme, pulsátil, indolor, móvel no sentido laterolateral, porém não no sentido craniocaudal, sem sinais flogísticos associados. A tireoide erab tópica, com tamanho normal, fibroelástica, móvel à deglutição, sem nódulos palpáveis. Considerando o caso apresentado, assinale a alternativa que indica a melhor conduta a ser tomada nesse momento.
 

Provas

Questão presente nas seguintes provas
3727979 Ano: 2025
Disciplina: Medicina
Banca: FUNDATEC
Orgão: GHC
Mulher, 49 anos, técnica de enfermagem, com antecedente de doença celíaca, comparece ao ambulatório devido à elevação do hormônio da paratireoide. Negava queixas, história de nefrolitíase ou fraturas patológicas. Negava uso de medicações. Exames laboratoriais: cálcio total 8,8 mg/dL (referência: 8,4-10,2 mg/dL), fósforo 3,0 mg/dL (referência: 2,7-4,5 mg/dL), PTH 97 pg/mL (referência: 15-65 pg/mL), vitamina D 13,2 ng/mL (referência: >20 ng/mL), creatinina 0,6 mg/dL (referência: 0,5-0,9 mg/dL) e ureia 35 mg/dL (referência: 10-50 mg/dL). Em relação ao quadro, assinale a alternativa correta.
 

Provas

Questão presente nas seguintes provas
3727978 Ano: 2025
Disciplina: Medicina
Banca: FUNDATEC
Orgão: GHC
Assinale a alternativa que apresenta corretamente uma situação em que se deve indicar a realização de uma tireoidectomia.
 

Provas

Questão presente nas seguintes provas
3727977 Ano: 2025
Disciplina: Medicina
Banca: FUNDATEC
Orgão: GHC
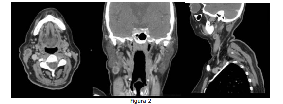
Paciente com diagnóstico de CEC de língua metastático para linfonodo cervical realizou TC de face e pescoço, mostrada na Figura 2 abaixo:


Enunciado 4483720-1


Com base na Figura 2, assinale a alternativa que indica o nível cervical em que se encontra a metástase em questão.
 

Provas

Questão presente nas seguintes provas
3727976 Ano: 2025
Disciplina: Medicina
Banca: FUNDATEC
Orgão: GHC
Homem, 45 anos, vem à consulta no ambulatório de cirurgia de cabeça e pescoço por queixa de abaulamento cervical em topografia jugulocarotídea alta à direita, assintomático. Refere massa há cerca de 4 anos, com crescimento progressivo, porém lento. Nega episódios inflamatórios prévios. Ao exame, a massa é fibroelástica, indolor, móvel no sentido anteroposterior, porém não no craniocaudal. Nesse sentido, analise a Figura 1 a seguir, em que a TC é mostrada:


Enunciado 4483719-1


Em relação ao caso, assinale a alternativa que indica a hipótese diagnóstica mais provável.
 

Provas

Questão presente nas seguintes provas
3727975 Ano: 2025
Disciplina: Medicina
Banca: FUNDATEC
Orgão: GHC
Paciente do sexo masculino, 10 anos de idade, vem à consulta acompanhado da mãe devido a um nódulo cervical anterior com crescimento progressivo. Relata ter percebido a lesão há cerca de 6 anos. Nunca apresentou episódios prévios de inflamação local ou fistulização. Ao exame físico, o nódulo possui cerca de 2,0 cm, localizado na linha cervical média anterior, levemente supra-hióideo, com consistência amolecida, móvel e indolor. Quando foi solicitado ao paciente para realizar a protrusão da língua, o nódulo permanecia estático. Considerando a principal hipótese diagnóstica, assinale a alternativa correta.
 

Provas

Questão presente nas seguintes provas
3727974 Ano: 2025
Disciplina: Medicina
Banca: FUNDATEC
Orgão: GHC
Homem, 64 anos, história de etilismo e tabagismo, dá entrada no ambulatório de cirurgia de cabeça e pescoço com uma lesão infiltrativa em trígono retromolar direito. Laringoscopia sem outras lesões. Foi realizada uma biópsia incisional da lesão sob anestesia local com o seguinte resultado: carcinoma epidermoide invasivo. Foi solicitada tomografia computadorizada para estadiamento com os seguintes achados: presença de lesão ulceroinfiltrativa de aproximadamente 3 x 3 cm em região de trígono retromolar direito, DOI estimada em 7 mm. Medialmente, invade o palato duro e palato mole, sem ultrapassar a linha média, estendendo-se até loja amigdaliana. Inferiormente, acomete porção de 1,0 cm em borda lateral de língua oral (desce pelo ligamento palatoglosso) e assoalho da boca ipsilateral. Presença de infiltração óssea extensa. Múltiplas linfonodomegalias à esquerda, a maior de 2,6 cm, suspeitas para acometimento neoplásico secundário. Tórax sem evidência de lesões. Considerando o caso exposto, qual é o correto estadiamento clínico desse paciente?
 

Provas

Questão presente nas seguintes provas
3727973 Ano: 2025
Disciplina: Medicina
Banca: FUNDATEC
Orgão: GHC
Paciente do sexo feminino, 59 anos, foi submetida à paratireoidectomia focalizada por hiperparatireoidismo primário. Procedimento transcorreu sem intercorrências. Retorna em consulta ambulatorial no primeiro mês de seguimento pós-operatório. No momento, paciente nega sintomas e está fazendo uso via oral de carbonato de cálcio (2.500 mg ao dia) e calcitriol (0,75 mcg ao dia). Traz consigo os seguintes exames laboratoriais de controle: cálcio total 8,7 mg/dL (referência: 8,6-10,2 mg/dL), PTH 112 pg/mL (referência: 15-65 pg/mL), fósforo 2,7 mg/dL (referência: 2,7-4,5 mg/dL), fosfatase alcalina 125 U/L (referência: 35-104 U/L), vitamina D 31 ng/mL (referência: 30-60 ng/mL), creatinina 0,7 mg/dL (referência: 0,5-0,9 mg/dL). Considerando o caso apresentado, assinale a alternativa que indica a melhor conduta a ser tomada nesse momento.
 

Provas

Questão presente nas seguintes provas