Magna Concursos

Foram encontradas 500 questões.

3810742 Ano: 2024
Disciplina: Medicina
Banca: FUNDATEC
Orgão: GHC
Em relação a doenças sistêmicas e sua inter-relação com alterações otorrinolaringológicas, assinale a alternativa INCORRETA.
 

Provas

Questão presente nas seguintes provas
3810741 Ano: 2024
Disciplina: Medicina
Banca: FUNDATEC
Orgão: GHC
Durante a dissecção do osso temporal, a estrutura representada pelo asterisco na figura abaixo corresponde ao(à):
Enunciado 4713921-1
Legenda: CSCP = canal semicircular posterior e SS = seio sigmoide.
 

Provas

Questão presente nas seguintes provas
3810740 Ano: 2024
Disciplina: Medicina
Banca: FUNDATEC
Orgão: GHC
É um indicador de mau prognóstico na surdez súbita:
 

Provas

Questão presente nas seguintes provas
3810739 Ano: 2024
Disciplina: Medicina
Banca: FUNDATEC
Orgão: GHC
Acerca do Schwannoma de VIII par, o local mais comum de sua origem ao longo desse nervo é o(a):
 

Provas

Questão presente nas seguintes provas
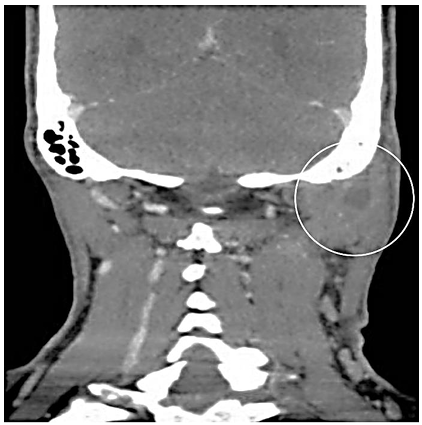
3810738 Ano: 2024
Disciplina: Medicina
Banca: FUNDATEC
Orgão: GHC
Homem, 46 anos, com quadro de otorreia, otalgia, febre e edema cervical ipsilateral às queixas otológicas, é submetido à tomografia computadorizada de mastoides com contraste (imagem abaixo): 
Enunciado 4713918-1
Acerca do caso em questão, o diagnóstico mais provável e a conduta mais adequada é:
 

Provas

Questão presente nas seguintes provas
3810737 Ano: 2024
Disciplina: Medicina
Banca: FUNDATEC
Orgão: GHC
Durante a propedêutica do paciente com suspeita de Schwannoma do VIII par, pode-se encontrar uma hipoestesia na região da concha auricular causada por um comprometimento das fibras sensitivas presentes no tronco do nervo facial. Esse sinal é chamado de sinal de:
 

Provas

Questão presente nas seguintes provas
3810736 Ano: 2024
Disciplina: Medicina
Banca: FUNDATEC
Orgão: GHC
A apresentação clássica do colesteatoma congênito configura-se como a presença de uma pérola atrás de uma membrana timpânica intacta, observada mais comumente no quadrante:
 

Provas

Questão presente nas seguintes provas
3810735 Ano: 2024
Disciplina: Medicina
Banca: FUNDATEC
Orgão: GHC
O reflexo acústico é um importante parâmetro na avaliação audiométrica no paciente com perda auditiva. O nervo que realiza a eferência desse reflexo é o nervo:
 

Provas

Questão presente nas seguintes provas
3810734 Ano: 2024
Disciplina: Medicina
Banca: FUNDATEC
Orgão: GHC
São fatores de risco para a otite média com efusão relacionada ao hospedeiro, EXCETO:
 

Provas

Questão presente nas seguintes provas
3810733 Ano: 2024
Disciplina: Medicina
Banca: FUNDATEC
Orgão: GHC
A terapia medicamentosa com bifosfonatos para a otosclerose, embora não seja comumente prescrita para a maior parte dos pacientes com essa morbidade, pode ser empregada para as seguintes situações, EXCETO:
 

Provas

Questão presente nas seguintes provas