Magna Concursos

Foram encontradas 1.269 questões.

1942992 Ano: 2020
Disciplina: Medicina
Banca: FUNDATEC
Orgão: GHC
Provas:

A respeito dos agentes voláteis, é correto afirmar que:

 

Provas

Questão presente nas seguintes provas
1942991 Ano: 2020
Disciplina: Medicina
Banca: FUNDATEC
Orgão: GHC

Um paciente com 65 anos, institucionalizado há mais de seis meses em clínica geriátrica, em uma pequena cidade do interior do Rio Grande do Sul, vem fazendo uso de fluoroquinolona durante os últimos 15 dias. Apresenta quadro atual de diarreia intensa, fezes mucoides, febre e dor abdominal. Na forte suspeita clínica de colite pseudomembranosa causada pelo bacilo gram-positivo Clostridium difficile, em situação em que não há disponibilidade para o exame rápido de fezes para diagnóstico ou de testes com reação em cadeia da polimerase (PCR), pode-se recomendar a descontinuidade do uso desse antimicrobiano, isolamento de contato e terapia empírica com:

 

Provas

Questão presente nas seguintes provas
1942990 Ano: 2020
Disciplina: Medicina
Banca: FUNDATEC
Orgão: GHC

A curva representada abaixo se refere a qual modo ventilatório?

Enunciado 3288320-1

 

Provas

Questão presente nas seguintes provas
1942989 Ano: 2020
Disciplina: Medicina
Banca: FUNDATEC
Orgão: GHC

Na curva de capnografia abaixo, as setas sugerem qual alteração?

Enunciado 3288319-1

 

Provas

Questão presente nas seguintes provas
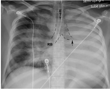
1942988 Ano: 2020
Disciplina: Medicina
Banca: FUNDATEC
Orgão: GHC

Qual o diagnóstico da radiografia de tórax ilustrada abaixo?

Enunciado 3288318-1

 

Provas

Questão presente nas seguintes provas
1942987 Ano: 2020
Disciplina: Medicina
Banca: FUNDATEC
Orgão: GHC

Paciente em ventilação mecânica há 7 dias, com melhora dos sinais de insuficiência respiratória, inicia processo de desmame ventilatório e, após 2 horas de suspensão da sedação, apresenta-se desconfortável e com as curvas ventilatórias demonstradas abaixo:

Enunciado 3288313-1

Sobre esse caso, assinale a alternativa correta.

 

Provas

Questão presente nas seguintes provas
1942986 Ano: 2020
Disciplina: Medicina
Banca: FUNDATEC
Orgão: GHC

Comparando as três curvas pressão-volume abaixo, quais delas representariam um paciente com Síndrome do Desconforto Respiratório Agudo já em fase fibroproliferativa da doença?

Enunciado 3288309-1

 

Provas

Questão presente nas seguintes provas
1942985 Ano: 2020
Disciplina: Psiquiatria
Banca: FUNDATEC
Orgão: GHC

Os antidepressivos são ferramentas importantes no tratamento dos transtornos mentais mais prevalentes da população, entre eles, a depressão. Nesse sentido, analise as seguintes assertivas sobre os inibidores seletivos de recaptação da serotonina:

I. A fluoxetina tem meia-vida curta e não pode ser interrompida mesmo em doses mais altas, além de aumentar o apetite nos primeiros meses de uso.

II. O escitalopram não deve ser prescrito em pessoas usando múltiplos medicamentos, devido à sua ação de elevada interação medicamentosa.

III. A paroxetina tem ação anti-histamínica e anticolinérgica e se constitui em opção para pacientes inapetentes e insones.

Quais estão corretas?

 

Provas

Questão presente nas seguintes provas
1942984 Ano: 2020
Disciplina: Medicina
Banca: FUNDATEC
Orgão: GHC
Provas:

Sobre o método científico, analise as assertivas abaixo e assinale V, se verdadeiras, ou F, se falsas.

( ) O tamanho da amostra de um estudo se baseia em três elementos: os tamanhos admissíveis de erros estatísticos dos tipos I e II e o tamanho de efeito considerado relevante para o estudo.

( ) Variáveis contínuas com distribuição normal são analisadas por métodos não paramétricos.

( ) O erro do tipo II ocorre quando os testes estatísticos demonstram diferença entre os grupos que são inexistentes.

( ) Na amostragem probabilística, cada indivíduo de uma população tem igual chance de pertencer aos grupos do estudo.

A ordem correta de preenchimento dos parênteses, de cima para baixo, é:

 

Provas

Questão presente nas seguintes provas
1942983 Ano: 2020
Disciplina: Medicina
Banca: FUNDATEC
Orgão: GHC

Analise as seguintes assertivas a respeito de Bioética ou do Código de Ética Médica (CEM):

I. O consentimento informado inclui uma discussão sobre a informação que um paciente sensato desejaria saber acerca de sua enfermidade, dos planos de diagnóstico e de tratamento e seus riscos e benefícios, uma avaliação do entendimento do paciente e a aceitação ou rejeição do paciente, por livre e espontânea vontade, para que o consentimento seja válido.

II. O médico deve trabalhar ativamente para eliminar a discriminação na assistência médica, seja aquela relacionada com raça, gênero, condição socioeconômica, etnia, religião ou qualquer outra categoria social, em respeito ao princípio de justiça.

III. Como norma diceológica, o CEM estabelece que, no processo de tomada de decisões profissionais, de acordo com seus ditames de consciência e as previsões legais, o médico aceitará as escolhas de seus pacientes relativas aos procedimentos diagnósticos e terapêuticos por eles expressos, desde que adequadas ao caso e cientificamente reconhecidas.

Quais estão corretas?

 

Provas

Questão presente nas seguintes provas