Foram encontradas 2.214 questões.
Recém-nascido de parto normal, com 4 horas de vida, apresenta quadro de dificuldade respiratória progressiva. O Rx de tórax, feito no início do quadro, mostra desvio de mediastino, com hipertransparência de hemitórax direito e vasos pulmonares visíveis até a periferia do pulmão. No acompanhamento prénatal, o ultrassom não mostrou nenhuma alteração fetal digna de nota.
A tomografia de tórax com 8 horas de vida mostrou piora do desvio de mediastino e insuflação do lobo superior direito, que ocupa grande parte do hemitórax, produzindo compressão e atelectasia dos demais lobos. Diante do apresentado e do fato de ter sido observada piora significativa do quadro e da dificuldade progressiva de ventilação, mesmo com elevação da pressão de admissão, o diagnóstico mais provável é
Provas
Assinale a opção que indica as estruturas que podem ser visualizadas, respectivamente, pela angulação medial e pela angulação lateral do corte paraestenal eixo longo.
Provas
Em uma criança de 5 anos, previamente saudável, no qual se identifica atelectasia total de lobo inferior de pulmão direito, na investigação de tosse persistente. Assinale a opção que indica a melhor conduta.
Provas
Assinale a opção que indica os folhetos da valva tricúspide visualizados no corte apical 4C.
Provas
Paciente de 7 anos, diagnosticado com TB pulmonar e HIV por transmissão vertical, simultaneamente. Ele tem Classificação B2, carga viral com 5200 cópias/mL e CD4 22%. A genotipagem não demonstrou resistência. Assinale a opção que indica a conduta mais adequada, nesse momento.
Provas
Sobre o tratamento do quilotórax iatrogênico, após cirurgia de coluna via toracotomia à direita, assinale a afirmativa correta.
Provas
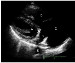
Analise a figura a seguir.

Os pontos A, B, C, D e E, correspondem, respectivamente, à(ao)
Provas
Criança de 4 anos com formação de nódulo malar direita e linfonodomegalia submandibular ipsilateral, além de edema e hiperemia de pálpebra inferior direita, erupções cutâneas na mesma pálpebra e hiperemia de conjuntiva com drenagem de secreção ocular.
O quadro tem 2 meses de evolução e a criança já recebeu tratamento com Cefalexina e Azitromicina, por via oral seguido de um curso de Oxacilina e Azitromicina intravenosas, sem melhora. Relata contato com 3 gatos em casa, sendo um com feridas no corpo. Não há outras alterações no exame físico
Considerando a hipótese mais provável para o caso acima, assinale afirmativa correta.
Provas
Com relação aos tumores cardíacos, analise as afirmativas a seguir.
I. Os sarcomas cardíacos são os tumores primários malignos cardíacos mais comuns
II. Podem se manifestar com obstrução, arritmias ou embolização.
III. Tumores metastáticos são mais comuns que tumores cardíacos primários.
Está correto o que se afirma em
Provas
Considere um paciente de 81 anos, sexo masculino, com quadro de insuficiência cardíaca em unidade terapia intensiva, foi submetido a ecocardiograma transtorácico associado a análise do strain longitudinal global (SLG) pela técnica de speckle tracking.

Assinale a opção que indica a patologia que está associada à imagem do SLG acima.
Provas
Caderno Container