Foram encontradas 2.214 questões.
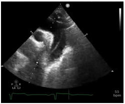
Analise a figura a seguir.

Em relação à figura acima, assinale a opção que indica a condição patológica evidenciada.
Provas
São indicações para intubação endotraqueal precoce em pacientes com queimadura da via aérea superior, exceto:
Provas
A reconstrução palpebral deve respeitar a anatomia local, podendo ser individualizada em relação às lamelas palpebrais. Do ponto de vista anatômico, a pálpebra e o músculo orbicular do olho podem ser divididos em
Provas
Paciente feminina, hipertensa, diabética tipo 2, obesa grau 1, dá entrada no pronto-socorro devido a dor abdominal de forte intensidade, inicialmente em FIE e posteriormente difusa, de início há mais de 72 horas, acompanhada de parada de eliminação de gases e fezes.
Ao exame encontra-se torporosa, desidratada, hipocorada, PA: 98 x 67 mmHg; FC: 122 bpm; FR: 27 ipm; SaTO2 91%. Abdome globoso, distendido, tenso, muito doloroso a palpação e com descompressão dolorosa difusamente.
Após ressuscitação volêmica foi encaminhada à tomografia que evidenciou volumoso pneumo-peritôneo, líquido livre na cavidade peritoneal e massa heterogênea em topografia do sigmoide distal. Diante desses achados foi submetida à laparotomia exploradora que evidenciou ceco muito distendido e com área de perfuração, além de grande quantidade de secreção entérica na pelve, onde também palpava-se tumor de sigmoide obstrutivo, sem critérios de irressecabilidade.
Assinale a opção que indica a melhor conduta para o caso.
Provas
Na cirurgia de Revascularização do Miocárdio, o uso de dois enxertos de artéria torácica interna (ATI) traz, segundo muitos autores, impacto positivo na sobrevida dos pacientes, se comparado ao uso de uma única ATI. Assinale a opção que indica uma possível desvantagem da dissecção e preparo das duas artérias torácicas internas.
Provas
Dentre as opções a seguir, assinale a que não é um fator prognóstico do tumor estromal gastro-intestinal (GIST) gástrico.
Provas
Assinale a opção que indica a secreção salivar oriunda da Glândula Parótida.
Provas
Assinale a afirmativa incorreta.
Provas
Paciente com nódulo endurecido com 4cm de diâmetro localizado em região parotídea esquerda com sinais de paralisia do nervo facial. Assinale a opção que indica o possível diagnóstico e o tratamento, respectivamente.
Provas
O sintoma inicial mais frequente em pacientes portadores de gliomas intrínsecos do tronco cerebral, é
Provas
Caderno Container