Foram encontradas 780 questões.
Em relação à análise da composição do cálculo urinário e suas particularidades, é correto afirmar que a
Provas
Em relação à implantação ureteral durante o transplante renal em receptores com anatomia urológica normal, assinale a alternativa que apresenta a técnica de anastomose ureteral que tem sido favorecida e as particularidades que são mais aceitas de acordo com uma meta-análise de ensaios clínicos randomizados (RCTs) e estudos observacionais.
Provas
Em relação ao carcinoma de células renais, assinale a alternativa que apresenta corretamente o momento para se indicar a linfadenectomia durante a nefrectomia.
Provas
Paciente do sexo masculino, de trinta anos de idade, notou um nódulo palpável no testículo esquerdo, confirmado com ultrassonografia. Todavia, negava outros sintomas. Realizou orquiectomia esquerda e, no anatomopatológico, foi evidenciado um componente de carcinoma de saco vitelínico + teratoma. Os marcadores pós-orquiectomia são DHL de 500 UI/L, β-HCG zerado, AFP de 700 ng/ml. Na tomografia de estadiamento, foi evidenciada massa linfonodal em retroperitônio de 5 cm em seu maior diâmetro para-aórtica esquerda.
Com base nessa situação hipotética, assinale a alternativa que apresenta corretamente a conduta a ser tomada.
Provas
De acordo com o guideline europeu e os novos estudos clínicos, assinale a alternativa que apresenta a melhor opção terapêutica atualmente recomendada para pacientes com câncer de próstata não metastático resistente à castração (M0 CRPC) e o momento em que se deve intensificar esse tratamento.
Provas
O carcinoma urotelial corresponde a 90% dos tumores de trato urinário superior. Assinale a alternativa correta em relação ao diagnóstico de carcinoma urotelial de trato urinário superior.
Provas
Nas últimas décadas, tem-se observado um aumento nos casos de infertilidade. No entanto, algumas ferramentas têm surgido e servido de guias para o tratamento e para as descobertas das causas desse problema. Um exemplo disso é o teste de fragmentação do DNA espermático. Considerando essas informações, assinale a alternativa que apresenta um paciente que possua indicação de avaliação da fragmentação do DNA espermático.
Provas
Paciente do sexo masculino, trinta anos de idade, sem comorbidades, sorologias virais negativas e com relações sexuais sem uso de preservativo recorrente relata que, há uma semana, tem apresentando quadro de disúria leve, visão turva, algumas ulcerações orais e placas eritematosas em glande. Apresenta, também, artralgia em tornozelos e punhos.
Com base nessa situação hipotética, assinale a alternativa que apresenta o fator de risco mais relacionado ao surgimento dessa patologia.
Provas
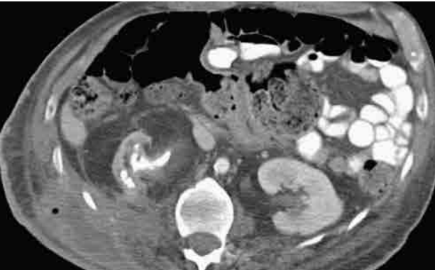
Mulher de setenta anos de idade, obesa, portadora de diabetes mellitus e histórico de nefrolitíase dá entrada no pronto-socorro com dor lombar à direita há três dias, febre aferida, diminuição da diurese e mantendo estabilidade hemodinâmica. Foram realizados exames laboratoriais, que evidenciariam o aumento de provas inflamatórias, escórias nitrogenadas e urina tipo 1 infecciosa. Também foi realizada tomografia de abdome e pelve, com contraste endovenoso.

Com base nesse caso hipotético e considerando a avaliação do corte tomográfico na imagem acima e a hipótese diagnóstica, a conduta correta na urgência será
Provas
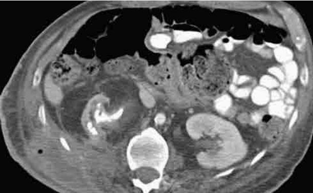
Mulher de setenta anos de idade, obesa, portadora de diabetes mellitus e histórico de nefrolitíase dá entrada no pronto-socorro com dor lombar à direita há três dias, febre aferida, diminuição da diurese e mantendo estabilidade hemodinâmica. Foram realizados exames laboratoriais, que evidenciariam o aumento de provas inflamatórias, escórias nitrogenadas e urina tipo 1 infecciosa. Também foi realizada tomografia de abdome e pelve, com contraste endovenoso.

Com base nesse caso hipotético e considerando a avaliação do corte tomográfico na imagem acima, a principal hipótese diagnóstica é
Provas
Caderno Container