Foram encontradas 335 questões.
Uma mulher de 35 anos foi socorrida pelo resgate após
incêndio no seu local de trabalho. A paciente trabalhava em um ambiente pequeno e fechado e foi retirada
do local, agitada e confusa, após vinte minutos do início do incêndio. Sinais vitais no local: pressão arterial de
120 x 70 mmHg, frequência cardíaca de 95 bpm, frequência respiratória de 22 ipm, saturação de O2
de 96% em ar
ambiente. Chega ao serviço de emergência em prancha
rígida, com colar cervical e máscara de O2
com fluxo de
12 L/min. Queixa-se de dor em face e tórax. Respiração
sem ruídos. Queimadura de face e região anterior e superior do tórax não circunferencial, saturação de O2
de 98%.
Escala de coma de Glasgow: AO 4 RV 5 RM 6.
Diante desse quadro, assinale a alternativa que descreve corretamente alteração(ões) do exame físico que é(são) indício(s) de gravidade e, respectivamente, a conduta prioritária no atendimento.
Diante desse quadro, assinale a alternativa que descreve corretamente alteração(ões) do exame físico que é(são) indício(s) de gravidade e, respectivamente, a conduta prioritária no atendimento.
Provas
Questão presente nas seguintes provas
Mulher de 42 anos, vítima de capotamento de veículo a
90 km/h seguido de colisão com árvore, há uma hora,
condutora do veículo, com cinto de segurança, é levada pelo resgate em prancha rígida e com colar cervical.
A avaliação, quando a paciente foi admitida na unidade
de saúde, demonstra:
• A: conversa, respiração sem ruídos, saturação de O2 igual a 92% com máscara não reinalante a 15 L/min;
• B: frequência respiratória de 18 ipm, MV+ sem ruídos adventícios, escoriações em tórax anterior e posterior, sem alterações à inspeção e à palpação;
• C: pressão arterial de 100 x 70 mmHg, frequência cardíaca de 110 bpm, tempo de enchimento capilar de 4 segundos, escoriações abdominais e hematoma em flanco direito e dor difusa à palpação abdominal, FAST positivo em quadrante esplenorrenal e hepatorrenal, pelve estável, membro inferiores sem deformidade ou sangramento externo;
• D: pupilas isocóricas e fotorreagentes, escala de coma de Glasgow: AO 4 RV 5 RM 6;
• E: escoriações em dorso, sem dor à palpação da coluna vertebral.
Considerando o quadro, é correto afirmar que, no momento de admissão da paciente, as condutas pertinentes envolvem fazer expansão volêmica com
• A: conversa, respiração sem ruídos, saturação de O2 igual a 92% com máscara não reinalante a 15 L/min;
• B: frequência respiratória de 18 ipm, MV+ sem ruídos adventícios, escoriações em tórax anterior e posterior, sem alterações à inspeção e à palpação;
• C: pressão arterial de 100 x 70 mmHg, frequência cardíaca de 110 bpm, tempo de enchimento capilar de 4 segundos, escoriações abdominais e hematoma em flanco direito e dor difusa à palpação abdominal, FAST positivo em quadrante esplenorrenal e hepatorrenal, pelve estável, membro inferiores sem deformidade ou sangramento externo;
• D: pupilas isocóricas e fotorreagentes, escala de coma de Glasgow: AO 4 RV 5 RM 6;
• E: escoriações em dorso, sem dor à palpação da coluna vertebral.
Considerando o quadro, é correto afirmar que, no momento de admissão da paciente, as condutas pertinentes envolvem fazer expansão volêmica com
Provas
Questão presente nas seguintes provas
Um paciente será submetido a cistectomia radical aberta e reconstrução urinária com conduto ileal à Bricker.
Qual é o momento adequado para realizar a profilaxia antimicrobiana?
Provas
Questão presente nas seguintes provas
Mulher de 65 anos, diabética e obesa, foi submetida
à mastectomia por câncer de mama. No 5º
dia de pós- operatório, apresenta eritema e calor ao redor da incisão,
com exsudato purulento e odor fétido. As glicemias capilares que a paciente fez em casa demonstraram diabetes
fora do controle, com hiperglicemia em todas as medidas.
O exame físico mostra uma área de deiscência parcial
e presença de necrose superficial da ferida operatória.
A paciente refere uso recente de suplementos de cálcio
para osteoporose e está em terapia com insulina para o
controle do diabetes. Adicionalmente, a paciente tem histórico de vasculite e faz uso de corticoides por via oral.
Diante do caso clínico, assinale a alternativa que apresenta a terapêutica indicada.
Diante do caso clínico, assinale a alternativa que apresenta a terapêutica indicada.
Provas
Questão presente nas seguintes provas
Mulher de 38 anos, sem histórico de doenças relevantes, chega ao pronto-socorro com dor súbita e intensa
no flanco esquerdo, associada a hematúria macroscópica. Não apresenta febre. Ao exame físico, apresenta dor
a palpação na região do flanco esquerdo. A tomografia
computadorizada mostra um cálculo de 6 mm no ureter
distal esquerdo e uma leve dilatação do sistema coletor
renal.
Qual é a melhor opção de manejo inicial para essa paciente?
Qual é a melhor opção de manejo inicial para essa paciente?
Provas
Questão presente nas seguintes provas
Mulher de 48 anos vem com queixa de nódulo cervical de
aparecimento há 2 meses. Nega sintomas localizados,
mas acredita estar havendo crescimento. Nega febre,
sudorese noturna, perda de peso, infecções recentes,
tabagismo ou etilismo. À palpação cervical, apresenta
nódulo palpável em nível II direito de 2 cm, consistência
firme, móvel, indolor e sem sinais flogísticos. Sem outras alterações palpáveis. Traz ultrassonografia solicitada
pelo clínico geral descrevendo linfonodomegalia arredondada, única em nível II direito de 2,1 cm, com hilo central
não caracterizado.
Sobre o caso, assinale a alternativa correta.
Sobre o caso, assinale a alternativa correta.
Provas
Questão presente nas seguintes provas
Homem de 69 anos, natural da Bahia, tabagista
50 anos/maço vem à Unidade Básica de Saúde com
queixa progressiva de dificuldade para se alimentar há
4 meses, tendo perdido 5 kg no período. Refere que, inicialmente, apresentava dificuldade apenas com carnes
e com alimentos mais sólidos, mas atualmente tem dificuldade também com líquidos, associada a episódios
de regurgitação noturna. Nega odinofagia, hematêmese
ou histórico familiar de câncer. Diz também que tem o
hábito de tomar água com as refeições para ajudar a empurrar o alimento e refere ter tido conhecidos com doença de Chagas. Ao exame físico, encontra-se emagrecido,
corado, normotenso, sem outras alterações relevantes
ao exame clínico.
Com base nesse caso, a conduta inicial adequada é
Com base nesse caso, a conduta inicial adequada é
Provas
Questão presente nas seguintes provas
Homem de 28 anos sofreu trauma doméstico com serra elétrica, evoluindo com perda de substância na ponta
do II quirodáctilo direito, com exposição da polpa, porém
sem exposição óssea ou tendínea. O paciente encontra-se estável, sem outras lesões associadas.
Qual é a melhor opção de fechamento para este defeito cutâneo?
Qual é a melhor opção de fechamento para este defeito cutâneo?
Provas
Questão presente nas seguintes provas
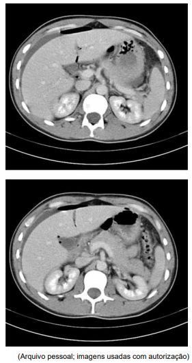
Homem de 32 anos, previamente hígido, com história de
dor abdominal em andar superior de forte intensidade
há 2 dias, associada a dois episódios de vômito, nega
sintomas prévios a esse período, mas refere episódio
de ingestão de bebida alcóolica em grande quantidade
há 3 dias. Apresenta dor constante, graduação 8 em 10,
sem fatores de melhora ou piora, acometendo todo o
andar superior.
Ao exame físico, estava em regular estado geral e com fácies de dor, tendo apresentado vômito na admissão. A frequência cardíaca é de 125 bpm e a pressão arterial de 110 x 85 mmHg. Pouco colaborativo, não permite exame físico abdominal adequado por dor. Realizou o exame de imagem exibido a seguir e, após retornar do exame, evoluiu com rebaixamento do nível de consciência, hipotensão e má perfusão periférica.
Diante do quadro, assinale a alternativa que apresenta a conduta terapêutica adequada nesse momento.
Ao exame físico, estava em regular estado geral e com fácies de dor, tendo apresentado vômito na admissão. A frequência cardíaca é de 125 bpm e a pressão arterial de 110 x 85 mmHg. Pouco colaborativo, não permite exame físico abdominal adequado por dor. Realizou o exame de imagem exibido a seguir e, após retornar do exame, evoluiu com rebaixamento do nível de consciência, hipotensão e má perfusão periférica.
Diante do quadro, assinale a alternativa que apresenta a conduta terapêutica adequada nesse momento.
Provas
Questão presente nas seguintes provas
Mulher de 65 anos, com antecedente de hipertensão arterial sistêmica e câncer de mama, iniciou quadro de dor
abdominal em abdome inferior há 3 dias, associado a febre baixa de 37,9 ºC. Nega alterações de hábito intestinal
no período ou previamente, bem como nega náuseas,
vômitos, perda de peso e sintomas urinários. Refere episódio prévio de dor semelhante há 6 meses, de menor intensidade, com resolução espontânea. Ao exame físico,
encontra-se em bom estado geral, com frequência cardíaca de 82 bpm e pressão arterial de 140 x 90 mmHg.
Abdome globoso, normodistendido, ruídos hidroaéreos
presentes, sem visceromegalias ou massas palpáveis,
doloroso à palpação de hipogastro e fossa ilíaca esquerda, sem sinais de irritação peritoneal. Toque retal sem
alterações. Exames laboratoriais iniciais: hemoglobina:
13,2 g/dL; hematócrito: 40%; leucograma: 12.770 µL;
amilase: 69 µL (0-110); creatinina: 1,0 mg/dL.
Levando em conta a principal hipótese diagnóstica, assinale a alternativa que apresenta a conduta correta nesse momento.
Levando em conta a principal hipótese diagnóstica, assinale a alternativa que apresenta a conduta correta nesse momento.
Provas
Questão presente nas seguintes provas
Cadernos
Caderno Container