Foram encontradas 502 questões.
Homem, 22 anos, vítima de queda de motocicleta a 50
km/h, sem capacete, há 30 minutos. Trazido pelo resgate
em prancha rígida e com colar cervical. Dados do local:
PA 110 x 70 mmHg, FC 90 bpm, FR 16 ipm, escala de
coma de Glasgow AO 4, RV 4, RM 6. Chega ao hospital
com via aérea pérvia, exame torácico sem alterações, PA
110 x 60 mmHg, FC 85 bpm, FR 15 ipm, SatO2
95%,
FAST negativo, sem deformidades em membros inferiores e superiores, ferimento corto-contuso em região
parietal direita, com curativo compressivo, midríase à direita, escala de coma de Glasgow AO 2, RV 2, RM 4. O
hospital não possui especialidades cirúrgicas.
Qual é o diagnóstico e quais condutas devem ser tomadas nesse momento?
Qual é o diagnóstico e quais condutas devem ser tomadas nesse momento?
Provas
Questão presente nas seguintes provas
Homem, 22 anos, vítima de colisão de carro a 70 km/h
contra um caminhão; o condutor estava sem cinto de
segurança. Dados locais: PA 100 x 70 mmHg, FC 110
bpm, FR 18 ipm, SatO2
92%. Tempo de resgaste de 30
minutos. Chega ao serviço de emergência em prancha
rígida, colar cervical e máscara de oxigênio a 10 L/min.
Queixa-se de muita dor no tórax e dificuldade para respirar. Sinais vitais na admissão: PA 90 x 70 mmHg, FC 130
bpm, FR 24 ipm, SatO2
88%. Escoriações e equimoses
em face e tórax bilateral. Crepitações em tórax à direita.
Murmúrios vesiculares reduzidos à direita. Qual é a conduta correta nesse momento?
Provas
Questão presente nas seguintes provas
Mulher, 70 anos, DM tipo 2 e HAS, ambas com controle adequado. Hematoquezia há 3 meses. Refere emagrecimento não intencional de 10 kg, em 6 meses. Exames laboratoriais: Hb 10,9 g/dL, plaquetas 220 mil/uL,
Cr 0,95mg/dL, INR 1,0, R 0,95, PCR 15,2 mg/dL, ferritina 40 ng/mL, saturação de transferrina 12%, albumina
3,5 g/dL. Exames de estadiamento negativo para metástases. Realizados os exames diagnósticos a seguir.
(Arquivo pessoal; imagens usadas com autorização)
Qual é o diagnóstico e como deve ser feita a condução dessa paciente no pré-operatório?
(Arquivo pessoal; imagens usadas com autorização)
Qual é o diagnóstico e como deve ser feita a condução dessa paciente no pré-operatório?
Provas
Questão presente nas seguintes provas
Uma paciente, sexo feminino, 52 anos, realizou ultrassonografia de tireoide por queixa de aumento do volume
cervical. Na ultrassonografia, foram evidenciados quatro
nódulos tireoideanos.
Assinale a alternativa que descreve corretamente o nódulo mais suspeito para malignidade.
Assinale a alternativa que descreve corretamente o nódulo mais suspeito para malignidade.
Provas
Questão presente nas seguintes provas
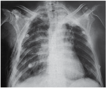
Paciente vítima de trauma moto versus auto foi diagnosticado com pneumotórax direito, e esse paciente foi drenado pelo médico que o atendeu. Ao assumir o plantão,
outro médico reavalia o paciente, que mantém queixa de
dor em hemitórax direito, taquipneia e murmúrio diminuído à direita, com saturação de 93% com 2L de oxigênio.
A radiografia realizada é a seguinte:
(Arquivo pessoal; imagem usada com autorização)
Assinale a alternativa que apresenta a conduta correta a ser empregada nesse momento.
(Arquivo pessoal; imagem usada com autorização)
Assinale a alternativa que apresenta a conduta correta a ser empregada nesse momento.
Provas
Questão presente nas seguintes provas
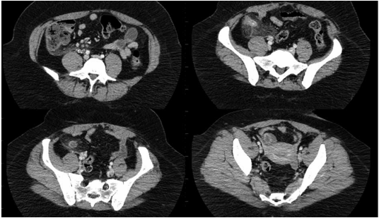
Paciente de 26 anos, sexo feminino, vem com queixa de mal-estar há dois dias, com piora progressiva e, há um dia,
com dor abdominal em hipogastro associada a disúria e polaciúria. Nega febre, nega alterações de hábito intestinal,
refere inapetência, mas nega vômitos. Sexualmente ativa, refere corrimento amarelo claro no período, faz uso de contraceptivo oral; data da última menstruação há 3 semanas. Ao exame físico, está em bom estado geral, FC 89 bpm,
PAM 120 x 87 mmHg, dor à palpação de hipogastro, sem massas palpáveis ou sinal de irritação peritoneal. Urina I com
20000 leucócitos/mL (VR 0 – 10000). Realizou o exame a seguir.
(Arquivo pessoal; imagem usada com autorização)
Assinale a alternativa que contém o diagnóstico correto para esse caso.
(Arquivo pessoal; imagem usada com autorização)
Assinale a alternativa que contém o diagnóstico correto para esse caso.
Provas
Questão presente nas seguintes provas
Paciente de 35 anos, sexo feminino, previamente hígida, admitida no Pronto-Socorro com quadro de dor abdominal em
epigastro e hipocôndrios há 4 dias, associada a episódios de vômito e inapetência.
Na admissão, encontrava-se em regular estado geral, FC 126 bpm, PA 95 x 60 mmHg, FR 22, peso 60 kg.
Palpação abdominal com distensão leve, dor em andar superior, pior em epigastro, sem sinais de irritação peritoneal, sem massas palpáveis. Ruídos hidroaéreos presentes, mas diminuídos. Descompressão brusca negativa, sinal de Giordano negativo, sinal de Murphy negativo.
Foram realizados exames laboratoriais na chegada: Hb 14 g/dL, Ht 46%, leucócitos 15500 (sem desvio), ureia 90 mg/dL (Valor de Referência – VR 8 – 20), creatinina 1,9 md/dL (VR 0,7 – 1,3), TGO 125 U/L (VR 10 – 40), TGP 98 U/L (VR 10 – 40), bilirrubinas totais 1,2 mg/dL (VR 0,2 – 1,1), bilirrubina direta 1,0 mg/dL (0 – 0,3), amilase 245 U/L (VR 25 – 125), lipase 1250 U/L (VR 10 – 140), PCR 105 mg/dL.
Assinale a alternativa que apresenta a melhor conduta para essa paciente, nesse momento.
Na admissão, encontrava-se em regular estado geral, FC 126 bpm, PA 95 x 60 mmHg, FR 22, peso 60 kg.
Palpação abdominal com distensão leve, dor em andar superior, pior em epigastro, sem sinais de irritação peritoneal, sem massas palpáveis. Ruídos hidroaéreos presentes, mas diminuídos. Descompressão brusca negativa, sinal de Giordano negativo, sinal de Murphy negativo.
Foram realizados exames laboratoriais na chegada: Hb 14 g/dL, Ht 46%, leucócitos 15500 (sem desvio), ureia 90 mg/dL (Valor de Referência – VR 8 – 20), creatinina 1,9 md/dL (VR 0,7 – 1,3), TGO 125 U/L (VR 10 – 40), TGP 98 U/L (VR 10 – 40), bilirrubinas totais 1,2 mg/dL (VR 0,2 – 1,1), bilirrubina direta 1,0 mg/dL (0 – 0,3), amilase 245 U/L (VR 25 – 125), lipase 1250 U/L (VR 10 – 140), PCR 105 mg/dL.
Assinale a alternativa que apresenta a melhor conduta para essa paciente, nesse momento.
Provas
Questão presente nas seguintes provas
Paciente de 82 anos, sexo feminino, professora aposentada, hipertensa e diabética há 15 anos em uso de
enalapril 10 mg 2 vezes ao dia e metformina 500 mg 2
vezes ao dia e lombalgia crônica, com uso cerca de uma
a duas vezes por semana de diclofenaco 50 mg para
controle de dor. Paciente com seguimento irregular, sem
acompanhamento há cerca de dois anos vem à consulta referindo fadiga, dispneia aos moderados esforços e
perda de peso, de cerca de 5 kg em 12 meses. Refere
episódios intermitentes de diarreia há 2 anos. Ao exame
físico, paciente em bom estado geral, mas com palidez
cutaneomucosa 2+/4+, hidratada, anictérica, eupneica,
queilite angular, PA 130/80 mmHg, ausência de hepato
ou esplenomegalia. Restante do exame físico sem alterações. Exames laboratoriais: hemoglobina 9,0 g/dL; hematócrito 25%; VCM 75 fL; HCM 25 pg; RDW 16%; leucócitos 4.500/mL; plaquetas 400.000/mL; ureia 73 mg/dL;
creatinina 1.38 mg/dL. Com base no caso clínico, qual a
hipótese diagnóstica mais provável?
Provas
Questão presente nas seguintes provas
Paciente, 83 anos, sexo masculino, foi internado com
quadro de queda do estado geral, tosse produtiva e febre com início há 3 dias. Paciente tem antecedentes
de hipertensão arterial, hipotireoidismo e doença de
Parkinson. Previamente com cognição preservada, independente para as atividades básicas de vida diária e
totalmente dependente para as atividades instrumentais
de vida diária, devido a limitação motora pela doença de
Parkinson. Seu filho conta que, nos últimos 3 dias, notou
seu pai mais sonolento, alternando com períodos de confusão e agitação, com piora no dia de hoje. Ao exame clínico, nota-se que o paciente está em regular estado geral, desidratado, alerta e calmo, com atenção prejudicada
e pensamento desorganizado. Além disso, encontra-se
eupneico com estertores crepitantes em base esquerda. Exames complementares na admissão: Hb: 13 g/dL;
leuco: 13.200/mL; plaquetas 180.000/mL. RX de tórax:
opacidade com broncograma aéreo em base esquerda.
Considerando as hipóteses diagnósticas, quais os fatores precipitantes e predisponentes para o caso clínico apresentado?
Considerando as hipóteses diagnósticas, quais os fatores precipitantes e predisponentes para o caso clínico apresentado?
Provas
Questão presente nas seguintes provas
Um paciente de 65 anos, hipertenso e com histórico de
infarto agudo do miocárdio há 3 anos, é admitido no pronto-socorro com palpitações, tontura e sudorese há cerca
de 2 horas. Ao exame físico, encontra-se com pressão
arterial de 90/60 mmHg, frequência cardíaca de 160 bpm,
pulsos finos e irregulares, e frequência respiratória de
20 irpm. A ausculta cardíaca revela ritmo irregular sem
sopros. Um eletrocardiograma (ECG) é realizado e revela uma taquicardia com QRS estreito e ondas P não
visualizadas claramente, variabilidade na amplitude dos
intervalos RR, sem onda F típica em “dente de serra”.
Diante desse quadro, qual a conduta mais adequada?
Provas
Questão presente nas seguintes provas
Cadernos
Caderno Container