Foram encontradas 1.670 questões.
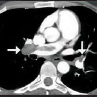
Certa idosa de 70 anos de idade é levada ao consultório médico por familiares, com relato de dor no peito há oito horas. Quanto a comorbidades, ela apresenta hipertensão arterial sistêmica e insuficiência cardíaca. Estava em casa assistindo à televisão quando sentiu uma dor súbita no peito, de moderada intensidade, que piora com a inspiração profunda, irradiando para o dorso, em queimação e associada a palpitações e a falta de ar importante, mesmo em repouso. Nega náuseas e sudorese. Não melhora após tomar dipirona. A dor continua da mesma forma, mas o que levou os familiares a procurarem atendimento foi a piora da falta de ar. Faz uso de losartana, atenolol, espironolactona, AAS e sinvastatina. Nega etilismo e informa que tinha o hábito de tabagismo, mas parou há mais de 10 anos. Tem histórico anterior de cirurgia de artroplastia de quadril há mais de um ano. Tem ficado muito tempo em repouso, assistindo à TV, principalmente depois da pandemia de Covid-19. Ao exame físico, constatam-se PA = 89 mmHg x 59 mmHg, FC = 125 bpm, FR = 27 ipm e SatO2 = 89% em ar ambiente. A paciente está afebril, em estado geral regular, lúcida, orientada e comunicativa. As auscultas pulmonar e cardíaca mostram-se sem alterações. Observam-se abdome inocente, membros inferiores com cacifo + discreto e simétrico, panturrilhas livres e pulsos preservados. A paciente realiza o eletrocardiograma e a tomografia de tórax, conforme representado nas imagens a seguir.

Disponível em: <https://Blogdoecg.blogspot.com>.
Acesso em: 12 nov. 2020.
(Figura ampliada na página 9)

Disponível em: <https://www.researchgate.net/>.
Acesso em: 12 nov. 2020.
Com base nesse caso clínico, nos exames representados nas imagens e nos conhecimentos médicos correlatos, julgue os itens a seguir.
O eletrocardiograma apresenta taquicardia sinusal.
Provas
Certa idosa de 70 anos de idade é levada ao consultório médico por familiares, com relato de dor no peito há oito horas. Quanto a comorbidades, ela apresenta hipertensão arterial sistêmica e insuficiência cardíaca. Estava em casa assistindo à televisão quando sentiu uma dor súbita no peito, de moderada intensidade, que piora com a inspiração profunda, irradiando para o dorso, em queimação e associada a palpitações e a falta de ar importante, mesmo em repouso. Nega náuseas e sudorese. Não melhora após tomar dipirona. A dor continua da mesma forma, mas o que levou os familiares a procurarem atendimento foi a piora da falta de ar. Faz uso de losartana, atenolol, espironolactona, AAS e sinvastatina. Nega etilismo e informa que tinha o hábito de tabagismo, mas parou há mais de 10 anos. Tem histórico anterior de cirurgia de artroplastia de quadril há mais de um ano. Tem ficado muito tempo em repouso, assistindo à TV, principalmente depois da pandemia de Covid-19. Ao exame físico, constatam-se PA = 89 mmHg x 59 mmHg, FC = 125 bpm, FR = 27 ipm e SatO2 = 89% em ar ambiente. A paciente está afebril, em estado geral regular, lúcida, orientada e comunicativa. As auscultas pulmonar e cardíaca mostram-se sem alterações. Observam-se abdome inocente, membros inferiores com cacifo + discreto e simétrico, panturrilhas livres e pulsos preservados. A paciente realiza o eletrocardiograma e a tomografia de tórax, conforme representado nas imagens a seguir.

Disponível em: <https://Blogdoecg.blogspot.com>.
Acesso em: 12 nov. 2020.
(Figura ampliada na página 9)

Disponível em: <https://www.researchgate.net/>.
Acesso em: 12 nov. 2020.
Com base nesse caso clínico, nos exames representados nas imagens e nos conhecimentos médicos correlatos, julgue os itens a seguir.
A tomografia apresenta uma área compatível com infarto miocárdico transmural, que é compatível com infarto agudo do miocárdio silencioso.
Provas
Certa idosa de 70 anos de idade é levada ao consultório médico por familiares, com relato de dor no peito há oito horas. Quanto a comorbidades, ela apresenta hipertensão arterial sistêmica e insuficiência cardíaca. Estava em casa assistindo à televisão quando sentiu uma dor súbita no peito, de moderada intensidade, que piora com a inspiração profunda, irradiando para o dorso, em queimação e associada a palpitações e a falta de ar importante, mesmo em repouso. Nega náuseas e sudorese. Não melhora após tomar dipirona. A dor continua da mesma forma, mas o que levou os familiares a procurarem atendimento foi a piora da falta de ar. Faz uso de losartana, atenolol, espironolactona, AAS e sinvastatina. Nega etilismo e informa que tinha o hábito de tabagismo, mas parou há mais de 10 anos. Tem histórico anterior de cirurgia de artroplastia de quadril há mais de um ano. Tem ficado muito tempo em repouso, assistindo à TV, principalmente depois da pandemia de Covid-19. Ao exame físico, constatam-se PA = 89 mmHg x 59 mmHg, FC = 125 bpm, FR = 27 ipm e SatO2 = 89% em ar ambiente. A paciente está afebril, em estado geral regular, lúcida, orientada e comunicativa. As auscultas pulmonar e cardíaca mostram-se sem alterações. Observam-se abdome inocente, membros inferiores com cacifo + discreto e simétrico, panturrilhas livres e pulsos preservados. A paciente realiza o eletrocardiograma e a tomografia de tórax, conforme representado nas imagens a seguir.

Disponível em: <https://Blogdoecg.blogspot.com>.
Acesso em: 12 nov. 2020.
(Figura ampliada na página 9)

Disponível em: <https://www.researchgate.net/>.
Acesso em: 12 nov. 2020.
Com base nesse caso clínico, nos exames representados nas imagens e nos conhecimentos médicos correlatos, julgue os itens a seguir.
Sabe-se que a maioria dos êmbolos pulmonares têm origem nos membros inferiores. Ao examinar a paciente, não foi observado empastamento nos membros inferiores. Pode-se, então, concluir que a hipótese diagnóstica de TEP seja pouco provável.
Provas
Certa idosa de 70 anos de idade é levada ao consultório médico por familiares, com relato de dor no peito há oito horas. Quanto a comorbidades, ela apresenta hipertensão arterial sistêmica e insuficiência cardíaca. Estava em casa assistindo à televisão quando sentiu uma dor súbita no peito, de moderada intensidade, que piora com a inspiração profunda, irradiando para o dorso, em queimação e associada a palpitações e a falta de ar importante, mesmo em repouso. Nega náuseas e sudorese. Não melhora após tomar dipirona. A dor continua da mesma forma, mas o que levou os familiares a procurarem atendimento foi a piora da falta de ar. Faz uso de losartana, atenolol, espironolactona, AAS e sinvastatina. Nega etilismo e informa que tinha o hábito de tabagismo, mas parou há mais de 10 anos. Tem histórico anterior de cirurgia de artroplastia de quadril há mais de um ano. Tem ficado muito tempo em repouso, assistindo à TV, principalmente depois da pandemia de Covid-19. Ao exame físico, constatam-se PA = 89 mmHg x 59 mmHg, FC = 125 bpm, FR = 27 ipm e SatO2 = 89% em ar ambiente. A paciente está afebril, em estado geral regular, lúcida, orientada e comunicativa. As auscultas pulmonar e cardíaca mostram-se sem alterações. Observam-se abdome inocente, membros inferiores com cacifo + discreto e simétrico, panturrilhas livres e pulsos preservados. A paciente realiza o eletrocardiograma e a tomografia de tórax, conforme representado nas imagens a seguir.

Disponível em: <https://Blogdoecg.blogspot.com>.
Acesso em: 12 nov. 2020.
(Figura ampliada na página 9)

Disponível em: <https://www.researchgate.net/>.
Acesso em: 12 nov. 2020.
Com base nesse caso clínico, nos exames representados nas imagens e nos conhecimentos médicos correlatos, julgue os itens a seguir.
O médico assistente calculou o escore de Wells e o resultado foi de 7. Nesse momento, o próximo passo mais indicado é solicitar dímero d, pois a paciente apresenta alta probabilidade de TEP.
Provas
Certa idosa de 70 anos de idade é levada ao consultório médico por familiares, com relato de dor no peito há oito horas. Quanto a comorbidades, ela apresenta hipertensão arterial sistêmica e insuficiência cardíaca. Estava em casa assistindo à televisão quando sentiu uma dor súbita no peito, de moderada intensidade, que piora com a inspiração profunda, irradiando para o dorso, em queimação e associada a palpitações e a falta de ar importante, mesmo em repouso. Nega náuseas e sudorese. Não melhora após tomar dipirona. A dor continua da mesma forma, mas o que levou os familiares a procurarem atendimento foi a piora da falta de ar. Faz uso de losartana, atenolol, espironolactona, AAS e sinvastatina. Nega etilismo e informa que tinha o hábito de tabagismo, mas parou há mais de 10 anos. Tem histórico anterior de cirurgia de artroplastia de quadril há mais de um ano. Tem ficado muito tempo em repouso, assistindo à TV, principalmente depois da pandemia de Covid-19. Ao exame físico, constatam-se PA = 89 mmHg x 59 mmHg, FC = 125 bpm, FR = 27 ipm e SatO2 = 89% em ar ambiente. A paciente está afebril, em estado geral regular, lúcida, orientada e comunicativa. As auscultas pulmonar e cardíaca mostram-se sem alterações. Observam-se abdome inocente, membros inferiores com cacifo + discreto e simétrico, panturrilhas livres e pulsos preservados. A paciente realiza o eletrocardiograma e a tomografia de tórax, conforme representado nas imagens a seguir.

Disponível em: <https://Blogdoecg.blogspot.com>.
Acesso em: 12 nov. 2020.
(Figura ampliada na página 9)

Disponível em: <https://www.researchgate.net/>.
Acesso em: 12 nov. 2020.
Com base nesse caso clínico, nos exames representados nas imagens e nos conhecimentos médicos correlatos, julgue os itens a seguir.
O eletrocardiograma (ECG) apresenta um achado específico para tromboembolismo pulmonar (TEP).
Provas
Certa idosa de 70 anos de idade é levada ao consultório médico por familiares, com relato de dor no peito há oito horas. Quanto a comorbidades, ela apresenta hipertensão arterial sistêmica e insuficiência cardíaca. Estava em casa assistindo à televisão quando sentiu uma dor súbita no peito, de moderada intensidade, que piora com a inspiração profunda, irradiando para o dorso, em queimação e associada a palpitações e a falta de ar importante, mesmo em repouso. Nega náuseas e sudorese. Não melhora após tomar dipirona. A dor continua da mesma forma, mas o que levou os familiares a procurarem atendimento foi a piora da falta de ar. Faz uso de losartana, atenolol, espironolactona, AAS e sinvastatina. Nega etilismo e informa que tinha o hábito de tabagismo, mas parou há mais de 10 anos. Tem histórico anterior de cirurgia de artroplastia de quadril há mais de um ano. Tem ficado muito tempo em repouso, assistindo à TV, principalmente depois da pandemia de Covid-19. Ao exame físico, constatam-se PA = 89 mmHg x 59 mmHg, FC = 125 bpm, FR = 27 ipm e SatO2 = 89% em ar ambiente. A paciente está afebril, em estado geral regular, lúcida, orientada e comunicativa. As auscultas pulmonar e cardíaca mostram-se sem alterações. Observam-se abdome inocente, membros inferiores com cacifo + discreto e simétrico, panturrilhas livres e pulsos preservados. A paciente realiza o eletrocardiograma e a tomografia de tórax, conforme representado nas imagens a seguir.

Disponível em: <https://Blogdoecg.blogspot.com>.
Acesso em: 12 nov. 2020.
(Figura ampliada na página 9)

Disponível em: <https://www.researchgate.net/>.
Acesso em: 12 nov. 2020.
Com base nesse caso clínico, nos exames representados nas imagens e nos conhecimentos médicos correlatos, julgue os itens a seguir.
Uma hipótese provável para esse caso é a costocondrite que deve ser considerada na investigação inicial dessa paciente.
Provas
Uma paciente de 27 anos de idade, grávida de 9 semanas, procura atendimento médico e é encaminhada pela obstetra para acompanhamento de lúpus eritematoso sistêmico (LES). Ela informa que foi diagnosticada com LES aos 20 anos de idade e relata manchas no corpo e dores articulares, porém, atualmente usando hidroxicloroquina, está muito bem controlada. Realiza-se exame de fator antinúcleo positivo (FAN) com resultado positivo 1/640 (padrão pontilhado fino) e anti-Ro/SS-A positivo. A profissional solicita que o médico clínico geral aconselhe e oriente a paciente a respeito das melhores condutas durante sua gestação.
Considerando esse caso clínico e os conhecimentos médicos correlatos, julgue os itens a seguir.
A gestante, quando interrogada acerca das gestações anteriores, informa histórico de lúpus neonatal e, por essa razão, é dever do médico contraindicar futuras gestações.
Provas
Uma paciente de 27 anos de idade, grávida de 9 semanas, procura atendimento médico e é encaminhada pela obstetra para acompanhamento de lúpus eritematoso sistêmico (LES). Ela informa que foi diagnosticada com LES aos 20 anos de idade e relata manchas no corpo e dores articulares, porém, atualmente usando hidroxicloroquina, está muito bem controlada. Realiza-se exame de fator antinúcleo positivo (FAN) com resultado positivo 1/640 (padrão pontilhado fino) e anti-Ro/SS-A positivo. A profissional solicita que o médico clínico geral aconselhe e oriente a paciente a respeito das melhores condutas durante sua gestação.
Considerando esse caso clínico e os conhecimentos médicos correlatos, julgue os itens a seguir.
O padrão do FAN apresentado pela gestante não causa nenhuma preocupação com relação ao feto.
Provas
Uma paciente de 27 anos de idade, grávida de 9 semanas, procura atendimento médico e é encaminhada pela obstetra para acompanhamento de lúpus eritematoso sistêmico (LES). Ela informa que foi diagnosticada com LES aos 20 anos de idade e relata manchas no corpo e dores articulares, porém, atualmente usando hidroxicloroquina, está muito bem controlada. Realiza-se exame de fator antinúcleo positivo (FAN) com resultado positivo 1/640 (padrão pontilhado fino) e anti-Ro/SS-A positivo. A profissional solicita que o médico clínico geral aconselhe e oriente a paciente a respeito das melhores condutas durante sua gestação.
Considerando esse caso clínico e os conhecimentos médicos correlatos, julgue os itens a seguir.
Na idade gestacional dessa paciente, um exame fundamental é a ecocardiografia fetal para rastrear possível cardiopatia.
Provas
Uma paciente de 27 anos de idade, grávida de 9 semanas, procura atendimento médico e é encaminhada pela obstetra para acompanhamento de lúpus eritematoso sistêmico (LES). Ela informa que foi diagnosticada com LES aos 20 anos de idade e relata manchas no corpo e dores articulares, porém, atualmente usando hidroxicloroquina, está muito bem controlada. Realiza-se exame de fator antinúcleo positivo (FAN) com resultado positivo 1/640 (padrão pontilhado fino) e anti-Ro/SS-A positivo. A profissional solicita que o médico clínico geral aconselhe e oriente a paciente a respeito das melhores condutas durante sua gestação.
Considerando esse caso clínico e os conhecimentos médicos correlatos, julgue os itens a seguir.
A hidroxicloroquina (antimalárico), mesmo em dose baixa, não é segura na gravidez e deve ser suspensa. Poderá ser substituída por ciclosporina, que é um imunossupressor que pode ser usado com segurança na gravidez. Todavia, é bom lembrar que esse medicamento apresenta, como efeito colateral, hipertensão e aumento de creatinina, o que pode causar confusão, com lesão renal, nessa paciente.
Provas
Caderno Container