Foram encontradas 1.670 questões.
Um paciente de 75 anos de idade queixa-se de disfagia, perda de peso e rouquidão. É tabagista ativo e refere consumir de três a cinco latas de cerveja diariamente. Nega outras doenças. O exame físico encontra-se sem particularidades, exceto pelo fato de o paciente estar um pouco emagrecido. As tomografias computadorizadas de região cervical e de tórax são normais. Endoscopia digestiva alta evidenciou lesão vegetante em esôfago médio.
Considerando esse caso clínico e os conhecimentos médicos correlatos, julgue os itens a seguir.
O paciente tem indicação de realizar ecoendoscopia, considerado o melhor exame para avaliar invasão tumoral na parede e em linfonodos regionais.
Provas
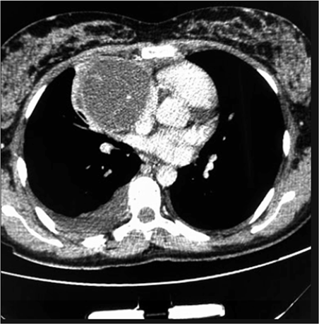
Um paciente de 17 anos de idade revela idas frequentes à emergência por causa de tosse e dispneia. Em exame de imagem investigatório, identificou-se, na tomografia computadorizada de tórax (TCT), uma massa mediastinal anterior bem definida, com densidade de partes moles, medindo cerca de 17 cm x 11 cm x 10 cm, conforme representado na imagem a seguir. A lesão não invadia estruturas adjacentes, e não foram encontradas outras alterações nas tomografias de tórax, de crânio e de abdome. Foi realizada uma biópsia pré-operatória guiada por TCT, cujo diagnóstico foi compatível com teratoma de mediastino.

Acervo Pessoal
Considerando esse caso clínico, a imagem apresentada e os conhecimentos médicos correlatos, julgue os itens a seguir.
As massas do mediastino anterior têm, como principais etiologias, os timomas, os linfomas, os tumores de células germinativas e os tumores da tireoide.
Provas
Um paciente de 17 anos de idade revela idas frequentes à emergência por causa de tosse e dispneia. Em exame de imagem investigatório, identificou-se, na tomografia computadorizada de tórax (TCT), uma massa mediastinal anterior bem definida, com densidade de partes moles, medindo cerca de 17 cm x 11 cm x 10 cm, conforme representado na imagem a seguir. A lesão não invadia estruturas adjacentes, e não foram encontradas outras alterações nas tomografias de tórax, de crânio e de abdome. Foi realizada uma biópsia pré-operatória guiada por TCT, cujo diagnóstico foi compatível com teratoma de mediastino.

Acervo Pessoal
Considerando esse caso clínico, a imagem apresentada e os conhecimentos médicos correlatos, julgue os itens a seguir.
A maioria dos pacientes que se apresentam com tumores mediastinais em parte anterior são assintomáticos.
Provas
Um paciente de 17 anos de idade revela idas frequentes à emergência por causa de tosse e dispneia. Em exame de imagem investigatório, identificou-se, na tomografia computadorizada de tórax (TCT), uma massa mediastinal anterior bem definida, com densidade de partes moles, medindo cerca de 17 cm x 11 cm x 10 cm, conforme representado na imagem a seguir. A lesão não invadia estruturas adjacentes, e não foram encontradas outras alterações nas tomografias de tórax, de crânio e de abdome. Foi realizada uma biópsia pré-operatória guiada por TCT, cujo diagnóstico foi compatível com teratoma de mediastino.

Acervo Pessoal
Considerando esse caso clínico, a imagem apresentada e os conhecimentos médicos correlatos, julgue os itens a seguir.
Cisplatina é o tratamento padrão-ouro para essa condição.
Provas
Um paciente de 17 anos de idade revela idas frequentes à emergência por causa de tosse e dispneia. Em exame de imagem investigatório, identificou-se, na tomografia computadorizada de tórax (TCT), uma massa mediastinal anterior bem definida, com densidade de partes moles, medindo cerca de 17 cm x 11 cm x 10 cm, conforme representado na imagem a seguir. A lesão não invadia estruturas adjacentes, e não foram encontradas outras alterações nas tomografias de tórax, de crânio e de abdome. Foi realizada uma biópsia pré-operatória guiada por TCT, cujo diagnóstico foi compatível com teratoma de mediastino.

Acervo Pessoal
Considerando esse caso clínico, a imagem apresentada e os conhecimentos médicos correlatos, julgue os itens a seguir.
EGFR e ALK devem ser investigados no anatomopatológico desse paciente.
Provas
Um paciente de 17 anos de idade revela idas frequentes à emergência por causa de tosse e dispneia. Em exame de imagem investigatório, identificou-se, na tomografia computadorizada de tórax (TCT), uma massa mediastinal anterior bem definida, com densidade de partes moles, medindo cerca de 17 cm x 11 cm x 10 cm, conforme representado na imagem a seguir. A lesão não invadia estruturas adjacentes, e não foram encontradas outras alterações nas tomografias de tórax, de crânio e de abdome. Foi realizada uma biópsia pré-operatória guiada por TCT, cujo diagnóstico foi compatível com teratoma de mediastino.

Acervo Pessoal
Considerando esse caso clínico, a imagem apresentada e os conhecimentos médicos correlatos, julgue os itens a seguir.
Espera-se B-HCG e alfafetoproteína elevados nesse caso.
Provas
Um paciente de 17 anos de idade revela idas frequentes à emergência por causa de tosse e dispneia. Em exame de imagem investigatório, identificou-se, na tomografia computadorizada de tórax (TCT), uma massa mediastinal anterior bem definida, com densidade de partes moles, medindo cerca de 17 cm x 11 cm x 10 cm, conforme representado na imagem a seguir. A lesão não invadia estruturas adjacentes, e não foram encontradas outras alterações nas tomografias de tórax, de crânio e de abdome. Foi realizada uma biópsia pré-operatória guiada por TCT, cujo diagnóstico foi compatível com teratoma de mediastino.

Acervo Pessoal
Considerando esse caso clínico, a imagem apresentada e os conhecimentos médicos correlatos, julgue os itens a seguir.
O quadro clínico apresenta um tumor de mediastino anterior. O teratoma cístico maduro trata-se da neoplasia mais comum das células germinativas do mediastino.
Provas
Um paciente de 75 anos de idade com icterícia progressiva, colúria, acolia fecal, perda de peso e dor abdominal procura atendimento médico. Durante o exame físico, percebem-se icterícia ++/4+, PA = 120 mmHg x 80 mmHg, FC = 100 bpm, FR = 20 irpm e SatO2 = 98% em ar ambiente. O abdome está globoso e o fígado, palpável e aumentado de tamanho, sem sinais de ascite. A ultrassonografia de abdome não demonstrou cálculo na vesícula biliar, e a tomografia computadorizada de tórax (TCT) evidenciou uma massa heterogênea hipoecoica, com dilatação de vias biliares intra e extra-hepáticas. A lesão é hipodensa na fase sem contraste, com margens irregulares, realce periférico na fase arterial e progressiva, e com hiperatenuação nas fases venosa e tardia.
Em relação a esse caso clínico, considerando a hipótese de colangiocarcinoma e os conhecimentos médicos correlatos julgue os itens a seguir.
Gencitabina e cisplatina mantêm-se como tratamento padrão de primeira linha para colangiocarcinoma avançado.
Provas
Todo profissional médico deve ter algum conhecimento a respeito de atendimento ao paciente politraumatizado e medicina de emergência.
No que se refere a essa informação e aos conhecimentos médicos correlatos, julgue os itens a seguir.
Em um atendimento de emergência, pode-se dispensar os princípios da beneficência e da não maleficência.
Provas
Todo profissional médico deve ter algum conhecimento a respeito de atendimento ao paciente politraumatizado e medicina de emergência.
No que se refere a essa informação e aos conhecimentos médicos correlatos, julgue os itens a seguir.
A “hora de ouro” refere-se ao momento após o evento traumático, no qual o atendimento correto e precoce aumenta, de maneira significativa, a sobrevida do paciente.
Provas
Caderno Container