Magna Concursos

Foram encontradas 120 questões.

1610187 Ano: 2017
Disciplina: Medicina
Banca: IADES
Orgão: FEPECS

Lactente de 10 meses de idade, previamente hígido, apresentou episódio de convulsão tônico-clônica generalizada, com três minutos de duração e sonolência pósictal. Esse foi o primeiro episódio e a criança estava febril. Os pais ficaram muito preocupados e o levaram à emergência.

Com base nesse caso clínico e em aspectos a ele relacionados, julgue os itens a seguir.

As crises febris simples caracterizam-se por serem do tipo tônico-clônico generalizado, com duração inferior a 15 minutos, podendo ter recorrência em 24 horas ou no mesmo período febril. A faixa etária mais frequente é entre 3 meses e 5 anos de idade.
 

Provas

Questão presente nas seguintes provas
1610186 Ano: 2017
Disciplina: Medicina
Banca: IADES
Orgão: FEPECS

Lactente de 10 meses de idade, previamente hígido, apresentou episódio de convulsão tônico-clônica generalizada, com três minutos de duração e sonolência pósictal. Esse foi o primeiro episódio e a criança estava febril. Os pais ficaram muito preocupados e o levaram à emergência.

Com base nesse caso clínico e em aspectos a ele relacionados, julgue os itens a seguir.

Após examinar a criança, excluindo sinais meníngeos, não há necessidade de solicitar exames (hemograma, LCR, Raios X de tórax, EEG), pois trata-se de uma crise febril. Os pais devem ser tranquilizados e a criança pode ser liberada para casa, recomendando-se que retorne se houver novas crises convulsivas.
 

Provas

Questão presente nas seguintes provas
1610185 Ano: 2017
Disciplina: Medicina
Banca: IADES
Orgão: FEPECS

Paciente de 10 anos de idade é levado à emergência por apresentar febre há quatro dias, prostração, cefaleia e vômitos. Há história prévia de otites médias recorrentes. Ao exame físico, apresenta estado geral regular e rigidez de nuca (manobras de Kernig e de Brudzinski positivas). É realizada punção lombar com o seguinte líquor: pressão de abertura = 250 mmH 2O, 1.000 leucócitos, 65% polimorfonucleares, proteínas = 200 mg/dL, glicose = 30 mg/dL (glicemia capilar = 100 mg/dL).

Em relação a esse caso clínico e a aspectos a ele relacionados, julgue os itens a seguir.

A escolha do tratamento inicial depende da idade do paciente, dos fatores de risco, do agente etiológico e da capacidade do antimicrobiano de penetrar a barreira hematoencefálica. As cefalosporinas de terceira geração têm baixa penetração na barreira hematoencefálica.
 

Provas

Questão presente nas seguintes provas
1610184 Ano: 2017
Disciplina: Medicina
Banca: IADES
Orgão: FEPECS

Paciente de 10 anos de idade é levado à emergência por apresentar febre há quatro dias, prostração, cefaleia e vômitos. Há história prévia de otites médias recorrentes. Ao exame físico, apresenta estado geral regular e rigidez de nuca (manobras de Kernig e de Brudzinski positivas). É realizada punção lombar com o seguinte líquor: pressão de abertura = 250 mmH 2O, 1.000 leucócitos, 65% polimorfonucleares, proteínas = 200 mg/dL, glicose = 30 mg/dL (glicemia capilar = 100 mg/dL).

Em relação a esse caso clínico e a aspectos a ele relacionados, julgue os itens a seguir.

As infecções do SNC por vírus causadores de encefalite ocorrem de diversas maneiras; por exemplo, gotículas respiratórias, transmissão oral fecal e fuidos corporais. Os agentes atingem a corrente sanguínea e localizam-se no SNC.
 

Provas

Questão presente nas seguintes provas
1610183 Ano: 2017
Disciplina: Medicina
Banca: IADES
Orgão: FEPECS

Paciente de 10 anos de idade é levado à emergência por apresentar febre há quatro dias, prostração, cefaleia e vômitos. Há história prévia de otites médias recorrentes. Ao exame físico, apresenta estado geral regular e rigidez de nuca (manobras de Kernig e de Brudzinski positivas). É realizada punção lombar com o seguinte líquor: pressão de abertura = 250 mmH 2O, 1.000 leucócitos, 65% polimorfonucleares, proteínas = 200 mg/dL, glicose = 30 mg/dL (glicemia capilar = 100 mg/dL).

Em relação a esse caso clínico e a aspectos a ele relacionados, julgue os itens a seguir.

Nos casos de meningites por H. Iinfluenzae, devem receber profilaxia os comunicantes domiciliares residentes de instituições fechadas, pessoas que tiveram contato com secreções respiratórias do paciente e comunicantes de creche e pré-escola com menos de 7 anos de idade.
 

Provas

Questão presente nas seguintes provas
1610182 Ano: 2017
Disciplina: Medicina
Banca: IADES
Orgão: FEPECS

Paciente de 10 anos de idade é levado à emergência por apresentar febre há quatro dias, prostração, cefaleia e vômitos. Há história prévia de otites médias recorrentes. Ao exame físico, apresenta estado geral regular e rigidez de nuca (manobras de Kernig e de Brudzinski positivas). É realizada punção lombar com o seguinte líquor: pressão de abertura = 250 mmH 2O, 1.000 leucócitos, 65% polimorfonucleares, proteínas = 200 mg/dL, glicose = 30 mg/dL (glicemia capilar = 100 mg/dL).

Em relação a esse caso clínico e a aspectos a ele relacionados, julgue os itens a seguir.

Em caso de meningite meningocócica, é indicada a profilaxia em todos os comunicantes domiciliares, se além do caso índice houver outros com menos de 5 anos, e, em creches e pré-escola, a partir do segundo caso, se houver comunicantes menores de 2 anos de idade.
 

Provas

Questão presente nas seguintes provas
1610181 Ano: 2017
Disciplina: Medicina
Banca: IADES
Orgão: FEPECS

Paciente de 10 anos de idade é levado à emergência por apresentar febre há quatro dias, prostração, cefaleia e vômitos. Há história prévia de otites médias recorrentes. Ao exame físico, apresenta estado geral regular e rigidez de nuca (manobras de Kernig e de Brudzinski positivas). É realizada punção lombar com o seguinte líquor: pressão de abertura = 250 mmH 2O, 1.000 leucócitos, 65% polimorfonucleares, proteínas = 200 mg/dL, glicose = 30 mg/dL (glicemia capilar = 100 mg/dL).

Em relação a esse caso clínico e a aspectos a ele relacionados, julgue os itens a seguir.

Trata-se de uma meningite bacteriana, sendo os agentes etiológicos mais frequentes o Streptococcus pneumoniae e a Neisseria meningitidis. Após a introdução da vacina anti-Hib (Haemophilus influenzae tipo b) e de vacinas conjugadas pneumocócicas ao calendário de imunização infantil, a incidência de meningite por essa bactéria diminuiu.
 

Provas

Questão presente nas seguintes provas
1610180 Ano: 2017
Disciplina: Medicina
Banca: IADES
Orgão: FEPECS

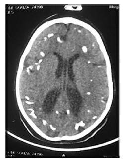
Enunciado 1610180-1

Recém-nascido de 5 dias de vida, do sexo masculino, nasceu de parto vaginal, com as seguintes características: IG = 36 semanas, PN = 2.380 g (AIG), Apgar 7/8, PC = 29 cm. A mãe não realizou pré-natal e apresenta o seguinte perfil: G3P2A1, 28 anos de idade, tabagista de 10 cigarros ao dia, nega consumo de álcool e de drogas ilícitas. O RN ficou internado desde o nascimento por sepse precoce. Após três dias de vida, seu caso evoluiu para crise convulsiva. Realizou tomografia de crânio, apresentada na imagem.

A respeito desse caso clínico e de aspectos a ele relacionados, julgue os itens a seguir.

A sífilis congênita pode causar abortamento, morte fetal e prematuridade. Se a mãe realizar tratamento com penicilina benzatina nos 30 dias que antecedem o parto, é considerada adequadamente tratada, não sendo necessário realizar tratamento para o RN se este for assintomático.
 

Provas

Questão presente nas seguintes provas
1610179 Ano: 2017
Disciplina: Medicina
Banca: IADES
Orgão: FEPECS

Enunciado 1610179-1

Recém-nascido de 5 dias de vida, do sexo masculino, nasceu de parto vaginal, com as seguintes características: IG = 36 semanas, PN = 2.380 g (AIG), Apgar 7/8, PC = 29 cm. A mãe não realizou pré-natal e apresenta o seguinte perfil: G3P2A1, 28 anos de idade, tabagista de 10 cigarros ao dia, nega consumo de álcool e de drogas ilícitas. O RN ficou internado desde o nascimento por sepse precoce. Após três dias de vida, seu caso evoluiu para crise convulsiva. Realizou tomografia de crânio, apresentada na imagem.

A respeito desse caso clínico e de aspectos a ele relacionados, julgue os itens a seguir.

A rubéola congênita é um provável diagnóstico do caso descrito. O RN infectado continua eliminando vírus por muitos meses, sendo fonte de infecção. A síndrome malformativa pela rubéola congênita se caracteriza por catarata, microcefalia e cardiopatia.
 

Provas

Questão presente nas seguintes provas
1610178 Ano: 2017
Disciplina: Medicina
Banca: IADES
Orgão: FEPECS

Enunciado 1610178-1

Recém-nascido de 5 dias de vida, do sexo masculino, nasceu de parto vaginal, com as seguintes características: IG = 36 semanas, PN = 2.380 g (AIG), Apgar 7/8, PC = 29 cm. A mãe não realizou pré-natal e apresenta o seguinte perfil: G3P2A1, 28 anos de idade, tabagista de 10 cigarros ao dia, nega consumo de álcool e de drogas ilícitas. O RN ficou internado desde o nascimento por sepse precoce. Após três dias de vida, seu caso evoluiu para crise convulsiva. Realizou tomografia de crânio, apresentada na imagem.

A respeito desse caso clínico e de aspectos a ele relacionados, julgue os itens a seguir.

O CMV é um importante causador de infecção congênita, um dos prováveis diagnósticos do caso apresentado. É um herpes vírus com tropismo pelo SNC. É excretado no sangue, na urina, no leite, na saliva, no sêmen e na secreção do colo uterino. Os RN podem ser assintomáticos, apresentando alterações tardias (surdez e deficits neurológicos).
 

Provas

Questão presente nas seguintes provas