Foram encontradas 40 questões.
Quanto a hiperplasia prostática benigna podemos afirmar:
Provas
Sérgio, 62 anos, vem a consulta com Urologista com elevação de PSA total nos últimos 3 anos. Último PSA total: 8,0ng/dL. Realizou biópsia de próstata apresentando Adenocarcinoma Usual de próstata Gleason 6 (3+3), em 2/12 fragmentos, com menos de 50% de acometimento nos fragmentos. Toque retal com próstata de aproximadamente 60g, sem retrações ou nodulações.
Assinale a alternativa errada quanto ao caso descrito:
Provas
Joaquim, 55 anos, divorciado, pai de 2 filhos, vem para consulta com Urologista. Queixa-se de perda da libido, ereções enfraquecidas, insônia e irritabilidade nos últimos seis meses. Acompanhado da nova parceira, com planos de ter um filho. História Mórbida Pregressa: hipertenso – uso de captopril. História Mórbida Familiar: Pai com Câncer de próstata. Traz exames laboratoriais: Hemoglobina: 12g/dL, Hematócrito: 40%; Creatinina: 1,01mg/dL, PSA total: 1,2ng/dL, Testosterona Total: 290ng/dL (repetida e confirmada).
De acordo com as queixas e planos do paciente, você como Urologista vê que:
Provas
A Disfunção Erétil é uma condição médica com importante impacto na qualidade de vida do homem, acometendo cerca de 20% da população masculina. A primeira linha de tratamento farmacológico são os Inibidores da 5-fosfodiesterase (I-5PDE).
A contraindicação absoluta para o uso desse fármaco é:
Provas
O tratamento indevido da Bacteriúria Assintomática resulta num aumento dos casos de resistência bacteriana, sendo assim, seu tratamento é determinado pela população de risco de eventos adversos.
Quais são as duas indicações absolutas de tratamento desse achado em exame laboratorial?
Provas
Dona Sônia, 67 anos, marca consulta com urologista pois percebeu na última semana que sua urina está com odor mais forte e mais escura. Nega queixas ginecológicas. Nega sintomas urinários como disúria, polaciúria e hematúria. Fez uso de chás, com melhora parcial de sua queixa, porém continua preocupada com medo que a “infecção suba para o rim”. Ao exame físico: hidratada, corada, afebril. Abdome: sem dor a palpação ou sinais de irritação peritoneal. Giordano negativo. Parcial de urina: Nitrito: negativo. Leucocitúria: 8 céls/por campo, Hematúria: 5 céls/por campo. Urocultura: E. coli (100.000 UFC) – multisensível aos antibióticos.
Considerando os exames que ela trouxe, você como médico (a) assistente da Dona Sônia:
Provas
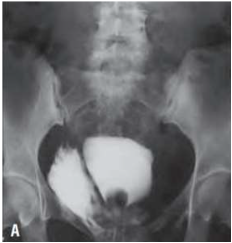
Mariana, 45 anos, é trazida pelo SAMU, vítima de acidente carro-moto. Suspeita de fratura de bacia. Refere dor abdominal intensa. Na admissão, realizado analgesia, coletados exames laboratoriais, avaliação da equipe da Ortopedia e realizado sondagem vesical para controle do débito urinário, com hematúria franca. Na hipótese de trauma de bexiga, foi solicitada pelo médico plantonista, uma cistografia retrógrada (imagem abaixo):

De acordo com o quadro clínico descrito e o exame de imagem solicitado, assinale a alternativa correta:
Provas
Pedro, 65 anos, masculino, branco, procura atendimento médico com queixa de hematúria macroscópica há 1 semana. Apresentou mais de 5 episódios, inclusive com saída de coágulos. Nega demais sintomas urinários como disúria, polaciúria. Nega sintomas obstrutivos. Nega febre. História Mórbida Pregressa: Hipertenso. Tabagista (50 anos/maço). O paciente traz uma Ecografia de Vias Urinárias, a qual evidencia uma lesão vegetante em parede lateral direita da bexiga, medindo aproximadamente 2cm.
De acordo com o caso clínico descrito, assinale a alternativa incorreta:
Provas
São tipos de tratamento para cálculo renal, exceto:
Provas
A prevalência de nefrolitíases na população em geral varia em até 20% e sabe-se também que metade desses pacientes vão apresentar pelo menos um episódio de recorrência ao longo da vida.
Qual das medidas abaixo não está indicada como orientação inicial para todos os pacientes com histórico de litíase urinária?
Provas
Caderno Container