Foram encontradas 1.119 questões.
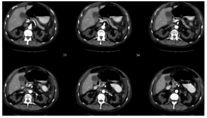
Homem de 72 anos em tratamento dialítico há 8 anos por doença renal crônica de etiologia indeterminada. Refere ter
apresentado um episódio de hematúria macroscópica há 2 dias, associado a dor lombar. Usou analgésico, com melhora
parcial. Tomografia de abdome com imagem a seguir.

(Arquivo pessoal; imagem usada com autorização)
O diagnóstico mais provável nesse caso é

(Arquivo pessoal; imagem usada com autorização)
O diagnóstico mais provável nesse caso é
Provas
Questão presente nas seguintes provas
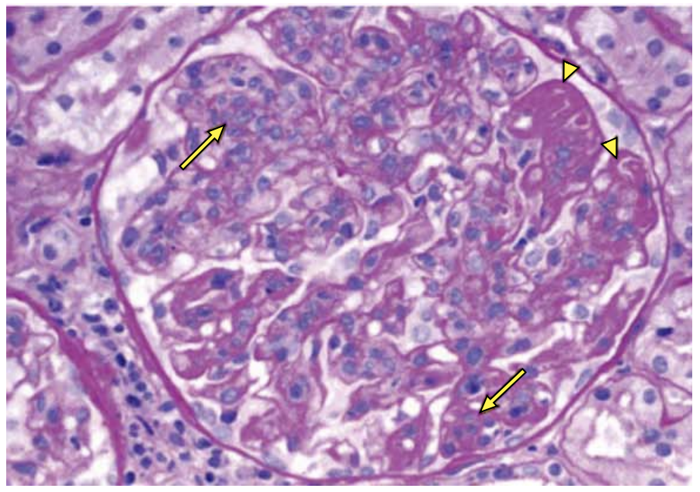
Mulher de 18 anos, com diagnóstico de lúpus eritematoso sistêmico (LES), realizou biópsia renal.
Microscopia ótica: 24 glomérulos, 18 dos quais comprometidos conforme imagem a seguir:

(Arquivo pessoal; imagem usada com autorização)
A classificação da nefrite lúpica é:
Microscopia ótica: 24 glomérulos, 18 dos quais comprometidos conforme imagem a seguir:

(Arquivo pessoal; imagem usada com autorização)
A classificação da nefrite lúpica é:
Provas
Questão presente nas seguintes provas
Considere que o médico nefrologista foi solicitado pelo laboratório de análise clínica para identificar os cristais presentes
na urina, conforme imagem a seguir.

(Arquivo pessoal; imagem usada com autorização)
Assinale a alternativa que contempla o paciente, que apresenta história clínica compatível com esses cristais identificados na urina.

(Arquivo pessoal; imagem usada com autorização)
Assinale a alternativa que contempla o paciente, que apresenta história clínica compatível com esses cristais identificados na urina.
Provas
Questão presente nas seguintes provas
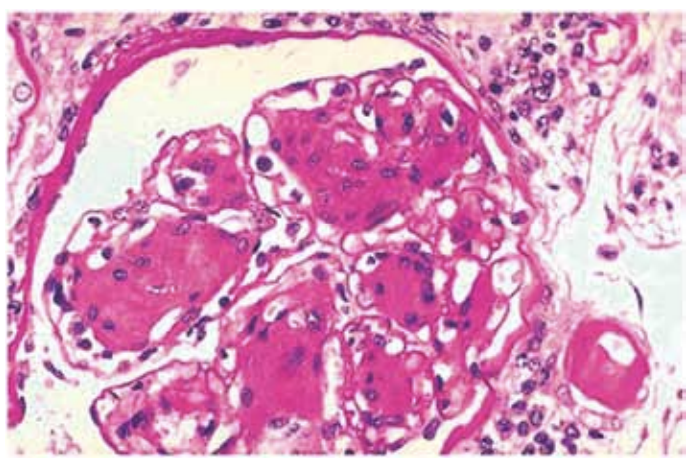
Homem, 54 anos, diagnóstico de diabetes mellitus há
4 anos, desconhecia o valor de sua glicemia antes do
diagnóstico. Na consulta inicial, negou antecedentes patológicos. Exame físico: PA 135 x 80 mmHg e edema de
membros inferiores ++/4. Exame de fundo de olho normal. Exames recentes: creatinina sérica = 1,3 mg/dL;
exame de urina: proteína +++/4, hemácias = 80.000/mL
(VR até 10.000), leucócitos = 8.000/mL (VR até 10.000);
proteinúria 3,8 g/24horas; albumina sérica 3,1 g/dL. Realizada biópsia renal, na qual foi identificada a seguinte
lesão glomerular na microscopia óptica:

(Arquivo pessoal; imagem usada com autorização)
Em face do exposto, assinale a alternativa correta.

(Arquivo pessoal; imagem usada com autorização)
Em face do exposto, assinale a alternativa correta.
Provas
Questão presente nas seguintes provas
Homem, pardo, 80 anos, história prévia de diabetes e
hipertensão arterial com acompanhamento regular. Há 1
ano, soube que tem doença renal crônica. Procura o médico da Unidade Básica de Saúde com exames e deseja
saber como está essa doença. Apresenta superfície corporal de 1,73m². Exames: volume urinário 1.440 mL em
24 horas; creatinina urinária 60 mg/dL; creatinina plasmática 3,0 mg/dL; albuminuria 660 mg/g de creatininúria.
De acordo com o KDIGO, qual é a classificação da DRC desse paciente?
De acordo com o KDIGO, qual é a classificação da DRC desse paciente?
Provas
Questão presente nas seguintes provas
Um homem de 82 anos em hemodiálise há 6 anos está
reconsiderando sua qualidade de vida em decorrência do
aumento das complicações relacionadas ao tratamento.
Após consultas com sua esposa, filha e equipe de saúde,
ele expressa o desejo de descontinuar a diálise, preferindo focar em conforto e qualidade de vida restante.
Diante do exposto, quais dos seguintes aspectos devem ser considerados na tomada de decisão sobre a retirada da diálise desse paciente?
Diante do exposto, quais dos seguintes aspectos devem ser considerados na tomada de decisão sobre a retirada da diálise desse paciente?
Provas
Questão presente nas seguintes provas
Homem de 28 anos, trabalhador em canavial, deu entrada na emergência com história de febre, diarreia, calafrios, mialgia intensa e cefaleia há, aproximadamente, 5
dias. Exame físico: afebril; ictérico; dispneico; apresentava hemoptise. PA 100 x 60 mmHg.
Exames laboratoriais: ureia 220 mg/dL; creatinina 3,0 mg/dL; potássio 3,3 mEq/L; hemoglobina 11 g/dL; hematócrito 36%; leucócitos 12.000/mm3; plaquetas 60.000/mm3; TGO 62 UI/L; TGP 56 UI/L; bilirrubina direta 8 mg/dL; CK 800 UI/L; exame de urina: proteína +/4; hemoglobina ++/4; hemácias 10/campo; leucócitos 30/campo.
O provável diagnóstico histológico e a melhor conduta para reduzir a mortalidade são:
Exames laboratoriais: ureia 220 mg/dL; creatinina 3,0 mg/dL; potássio 3,3 mEq/L; hemoglobina 11 g/dL; hematócrito 36%; leucócitos 12.000/mm3; plaquetas 60.000/mm3; TGO 62 UI/L; TGP 56 UI/L; bilirrubina direta 8 mg/dL; CK 800 UI/L; exame de urina: proteína +/4; hemoglobina ++/4; hemácias 10/campo; leucócitos 30/campo.
O provável diagnóstico histológico e a melhor conduta para reduzir a mortalidade são:
Provas
Questão presente nas seguintes provas
Um paciente de 54 anos em diálise peritoneal apresenta
vermelhidão e dor no local de saída do cateter. Exames
microbiológicos identificam Staphylococcus aureus como
o patógeno causador.
Considerando as recomendações para a prevenção e tratamento de infecções do sítio de saída e do túnel em diálise peritoneal, qual das seguintes medidas é mais apropriada para tratar essa infecção e prevenir futuras complicações?
Considerando as recomendações para a prevenção e tratamento de infecções do sítio de saída e do túnel em diálise peritoneal, qual das seguintes medidas é mais apropriada para tratar essa infecção e prevenir futuras complicações?
Provas
Questão presente nas seguintes provas
Menos de 5% dos pacientes em terapia renal substitutiva (TRS) fazem uso de Diálise Peritoneal no Brasil. O
conhecimento sobre membrana peritoneal, estrutura derivada do mesênquima embrional, é fundamental quando
essa opção de diálise é oferecida aos pacientes com
necessidade de TRS.
Assinale a alternativa correta em relação a essa modalidade terapêutica.
Assinale a alternativa correta em relação a essa modalidade terapêutica.
Provas
Questão presente nas seguintes provas
Mulher de 55 anos procura médico nefrologista por quadro de hipertensão de difícil controle. Medicação atual:
clortalidona 25 mg/dia; anlodipina 10 mg/dia; atenolol
50 mg, duas vezes ao dia; e enalapril, que foi recentemente aumentado de 10 mg, uma vez ao dia, para
20 mg, duas vezes ao dia. Creatinina basal de 1,1 mg/dL,
mas foi para 1,8 mg/dL nos últimos dois meses, conforme
exames recentes; potássio de 4,9 mEq/L; e bicarbonato
de 22 mEq/L.
Em face do exposto, qual dos seguintes estudos deve ser feito primeiro?
Em face do exposto, qual dos seguintes estudos deve ser feito primeiro?
Provas
Questão presente nas seguintes provas
Cadernos
Caderno Container