Foram encontradas 1.119 questões.
Analise o caso clínico a seguir para responder à questão abaixo:
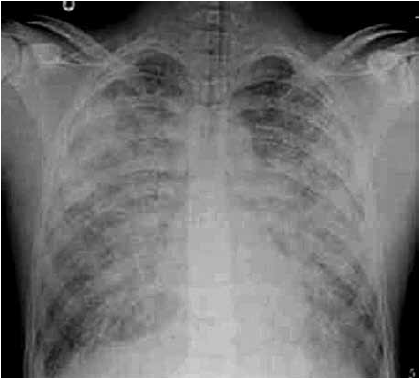
Você é chamado para discutir o caso de um paciente internado na UTI há 3 dias, com diagnóstico de síndrome do desconforto respiratório agudo (SDRA), em ventilação mecânica de difícil manejo. Histórico: Paciente masculino, de 27 anos de idade, hipertenso e dislipidêmico, busca atendimento hospitalar devido a febre, tosse e dispneia há 3 dias. Na admissão, apresentava-se com sinais de choque séptico e franca insuficiência respiratória. Na ausculta pulmonar, estertores creptantes presentes difusamente. O paciente foi encaminhado à UTI e submetido à ventilação mecânica, além de suporte clínico e prescrição farmacológica.
Parâmetros da ventilação mecânica atual: modo: ventilação assistida controlada; ciclagem: volume controlada; volume corrente: 6 mL/Kg; PEEP: 12 cm H2O; FiO2: 70%; FR: 30 ipm;relação. Inspiração: expiração: 1:1; pressão de Platô: 30 cm H2O. Última gasometria: pH 7,22; PaO2 62 mmHg; PaCO2 69 mmHg; BE: –1,4 mmol/L; SaO2 86%; bicarbonato 20 mEq/L.
Exame de imagem:

(Disponível em: https://resources.wfsahq.org/ atotw/sindrome-do-desconforto-respiratorio-agudo/)
Considerando a patogênese da SDRA grave, qual alternativa justifica a dificuldade no manejo ventilatório desse paciente?
Provas
Provas
De acordo com a atualização do GINA (Global Initiative for Asthma) 2024, eosinófilos no escarro induzido (EosEI) e no sangue periférico (EosS), fração exalada de óxido nítrico (FeNO) e IgE sérica específica para aeroalérgenos são os biomarcadores mais utilizados como indicadores de inflamação, possibilitando o diferencial fenotípico entre os pacientes com asma grave, bem como predizendo a resposta aos tratamentos com imunobiológicos.
Assinale a alternativa que contempla o fenótipo inflamatório T2 baixo.
Provas
A hipertensão arterial pulmonar (HAP) é uma condição progressiva, caracterizada pelo aumento da resistência vascular pulmonar, com consequente insuficiência cardíaca direita irreversível. Seu diagnóstico e manejo requerem uma abordagem multidisciplinar, incluindo exames hemodinâmicos, testes funcionais e terapias específicas.
Diante desse contexto, assinale a alternativa correta sobre a avaliação e o manejo da HAP.
Provas
Provas
Paciente idosa encaminhada ao consultório, com queixa de tosse e dispneia há mais de um ano. Sem febre e sem perda de peso. A paciente nega infecção prévia por covid-19 e traz consigo exame de imagem realizado em serviço de urgência. Achados tomográficos: opacidades reticulares de predomínio basal e subpleural; bronquiectasias e bronquiolectasias de tração; faveolamento presente e ausência de vidro fosco.
Classifique o padrão de pneumonia intersticial usual (PIU), de acordo com os achados tomográficos apresentados.
Provas
A pneumonia associada à ventilação mecânica (PAVM) é a infecção nosocomial mais comum no ambiente de cuidados intensivos e a principal causa de morbi/mortalidade entre as infecções hospitalares.
Assinale uma atitude eficaz de prevenção à PAVM.
Provas
Analise a imagem e as informações a seguir:

(Disponível em: https://www.grupomedcof.com.br/ blog/padroes-respiratorios-patologicos-como-diferenciar/)
Respiração de amplitude e frequência variáveis e períodos de apneia.
Assinale a alternativa que identifica o ritmo respiratório e o provável diagnóstico associado, conforme a figura e as informações apresentadas.
Provas
Analise a figura a seguir:

(Disponível em: https://neurosky.med.br/)
Assinale a alternativa que corretamente indica a patologia pulmonar associada à síndrome identificada na figura apresentada.
Provas
As modalidades de reabilitação psiquiátrica são frequentemente combinadas e adaptadas às necessidades individuais de cada paciente, com o objetivo de promover a reintegração social e a autonomia.
Assinale a alternativa correta que descreve uma modalidade de reabilitação para promover a funcionalidade e integração social de pacientes.
Provas
Caderno Container